Skip to main content

MAML2 Antibody

Novus Biologicals, part of Bio-Techne | Catalog # NB100-2127

Novus Biologicals, part of Bio-Techne
Catalog #
Availability
Size / Price
Qty
Loading...
NB100-2127

Key Product Details

Validated by

Independent Antibodies, Biological Validation

Species Reactivity

Validated:

Human, Mouse

Predicted:

Bovine (100%). Backed by our 100% Guarantee.

Applications

Immunohistochemistry, Immunohistochemistry-Paraffin, Western Blot, Immunoprecipitation

Label

Unconjugated

Antibody Source

Polyclonal Rabbit IgG

Concentration

0.2 mg/ml

Product Specifications

Immunogen

The immunogen recognized by this antibody maps to a region between residue 1100 and the C-terminus (residue 1153) of human Mastermind-Like 2 using the numbering given in entry AAK93831.1 (GeneID 84441).

Clonality

Polyclonal

Host

Rabbit

Isotype

IgG

Description

Novus Biologicals Rabbit MAML2 Antibody (NB100-2127) is a polyclonal antibody validated for use in IHC, WB and IP. Anti-MAML2 Antibody: Cited in 1 publication. All Novus Biologicals antibodies are covered by our 100% guarantee.

Scientific Data Images for MAML2 Antibody

Western Blot: MAML2 Antibody [NB100-2127]

Western Blot: MAML2 Antibody [NB100-2127]

Western Blot: MAML2 Antibody [NB100-2127] - Detection of Human and Mouse MAML2 on HeLa whole cell lysate using NB100-2127. MAML2 was also immunoprecipitated by another rabbit anti-MAML2 antibodies and NB100-2126.
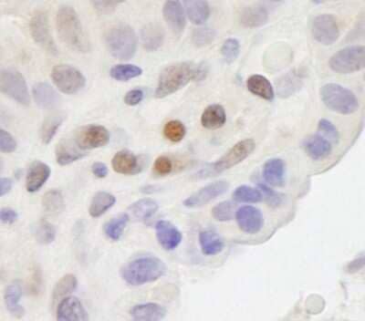
Immunohistochemistry-Paraffin: MAML2 Antibody [NB100-2127]

Immunohistochemistry-Paraffin: MAML2 Antibody [NB100-2127]

Immunohistochemistry-Paraffin: MAML2 Antibody [NB100-2127] - Human breast carcinoma. Antibody: Affinity purified rabbit anti-MAML2 used at a dilution of 1:200 (1ug/ml). Detection: DAB

Applications for MAML2 Antibody

Application
Recommended Usage

Immunohistochemistry

1:200 - 1:1000

Immunohistochemistry-Paraffin

1:200 - 1:1000

Immunoprecipitation

1-4 ug/mg of lysate

Western Blot

1:2000-1:15000
Application Notes
Epitope retrieval with Tris-EDTA pH 9.0 is recommended for FFPE tissue sections.

Formulation, Preparation, and Storage

Purification

Immunogen affinity purified

Formulation

TBS and 0.1% BSA

Preservative

0.09% Sodium Azide

Concentration

0.2 mg/ml

Shipping

The product is shipped with polar packs. Upon receipt, store it immediately at the temperature recommended below.

Stability & Storage

Store at 4C. Do not freeze.

Background: MAML2

There are 3 MAML (mastermind-like) proteins in mammals (MAML1-3). MAML2 is a critical coactivator for NOTCH signaling. MAML2 associates with NOTCH and CSL in a ternary complex and functions to activate transcription of HES and hairy-related basic helix-loop-helix transcription factors. MAML2 has been identified in a chromosomal rearrangement and fusion with MECT1 in mucoepidermoid carcinomas, secondary acute myeloid leukemia, hidradenomas, and myelodysplastic syndrome. MECT1 is a CREB regulator, and when fused with the transactivational domain of MAML2, imparts constitutive activation of CREB-dependent transcription that may promote oncogenesis. Alternate names for MAML2 include Mam-2, MAM2, MAM3, MAM-3, MLL-MAML2, MGC176701, DKFZp686N0150, and KIAA1819.

Alternate Names

DKFZp686N0150, KIAA1819MGC176701, MAM2, Mam-2, MAM-3, MAM3MLL-MAML2, mastermind (Drosophila)-like 2, mastermind-like 2 (Drosophila), mastermind-like protein 2

Entrez Gene IDs

84441 (Human); 270118 (Mouse)

Gene Symbol

MAML2

Additional MAML2 Products

Product Documents for MAML2 Antibody

Certificate of Analysis

To download a Certificate of Analysis, please enter a lot number in the search box below.

Product Specific Notices for MAML2 Antibody

This product is for research use only and is not approved for use in humans or in clinical diagnosis. Primary Antibodies are guaranteed for 1 year from date of receipt.

Loading...
Loading...
Loading...
Loading...