Skip to main content

MAGI1 Antibody - BSA Free

Novus Biologicals, part of Bio-Techne | Catalog # NBP1-89182

Novus Biologicals, part of Bio-Techne
Catalog #
Availability
Size / Price
Qty
Loading...
NBP1-89182
NBP1-89182-25ul

Key Product Details

Validated by

Orthogonal Validation

Species Reactivity

Validated:

Human

Predicted:

Mouse (93%), Rat (91%). Backed by our 100% Guarantee.

Applications

Immunohistochemistry, Immunohistochemistry-Paraffin

Label

Unconjugated

Antibody Source

Polyclonal Rabbit IgG

Format

BSA Free

Concentration

Concentrations vary lot to lot. See vial label for concentration. If unlisted please contact technical services.

Product Specifications

Immunogen

This antibody was developed against Recombinant Protein corresponding to amino acids: PSQPVSGKVITTDALHSLQSGSKQSTPKRTKSYNDMQNAGIVHAENEEEDDVPEMNSSFTADSGEQEEHTLQETALPPVNSSIIAAPITDPSQKFPQY

Clonality

Polyclonal

Host

Rabbit

Isotype

IgG

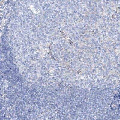
Scientific Data Images for MAGI1 Antibody - BSA Free

Immunohistochemistry-Paraffin: MAGI1 Antibody [NBP1-89182]

Immunohistochemistry-Paraffin: MAGI1 Antibody [NBP1-89182]

Immunohistochemistry-Paraffin: MAGI1 Antibody [NBP1-89182] - Staining in human fallopian tube and tonsil tissues using anti-MAGI1 antibody. Corresponding MAGI1 RNA-seq data are presented for the same tissues.
Immunohistochemistry-Paraffin: MAGI1 Antibody [NBP1-89182]

Immunohistochemistry-Paraffin: MAGI1 Antibody [NBP1-89182]

Immunohistochemistry-Paraffin: MAGI1 Antibody [NBP1-89182] - Staining of human tonsil shows low expression as expected.
Immunohistochemistry-Paraffin: MAGI1 Antibody [NBP1-89182]

Immunohistochemistry-Paraffin: MAGI1 Antibody [NBP1-89182]

Immunohistochemistry-Paraffin: MAGI1 Antibody [NBP1-89182] - Staining of human fallopian tube shows high expression.

Applications for MAGI1 Antibody - BSA Free

Application
Recommended Usage

Immunohistochemistry

1:20 - 1:50

Immunohistochemistry-Paraffin

1:20 - 1:50
Application Notes
For IHC-Paraffin, HIER pH 6 retrieval is recommended.

Formulation, Preparation, and Storage

Purification

Affinity purified

Formulation

PBS (pH 7.2) and 40% Glycerol

Format

BSA Free

Preservative

0.02% Sodium Azide

Concentration

Concentrations vary lot to lot. See vial label for concentration. If unlisted please contact technical services.

Shipping

The product is shipped with polar packs. Upon receipt, store it immediately at the temperature recommended below.

Stability & Storage

Store at 4C short term. Aliquot and store at -20C long term. Avoid freeze-thaw cycles.

Background: MAGI1

MAGI1 is encoded by this gene is a member of the membrane-associated guanylate kinase homologue (MAGUK) family. MAGUK proteins participate in the assembly of multiprotein complexes on the inner surface of the plasma membrane at regions of cell-cell contact. The product of this gene may play a role as scaffolding protein at cell-cell junctions. Alternatively spliced transcript variants encoding different isoforms have been identified.

Alternate Names

AIP-3, AIP3WW and PDZ domain-containing protein 1, membrane associated guanylate kinase, WW and PDZ domain containing 1, TNRC19BAP-1, WWP3WW domain-containing protein 3

Gene Symbol

MAGI1

Additional MAGI1 Products

Product Documents for MAGI1 Antibody - BSA Free

Certificate of Analysis

To download a Certificate of Analysis, please enter a lot number in the search box below.

Product Specific Notices for MAGI1 Antibody - BSA Free

This product is for research use only and is not approved for use in humans or in clinical diagnosis. Primary Antibodies are guaranteed for 1 year from date of receipt.

Loading...
Loading...
Loading...
Loading...