Skip to main content

MAD2L2 Antibody - BSA Free

Novus Biologicals, part of Bio-Techne | Catalog # NBP1-02798

Novus Biologicals, part of Bio-Techne
Catalog #
Availability
Size / Price
Qty
Loading...
NBP1-02798

Key Product Details

Species Reactivity

Human

Applications

Immunohistochemistry, Immunohistochemistry-Paraffin, Western Blot, ELISA, Immunocytochemistry/ Immunofluorescence

Label

Unconjugated

Antibody Source

Polyclonal Rabbit IgG

Format

BSA Free

Concentration

0.68 mg/ml

Product Specifications

Immunogen

Synthetic peptide from human MAD2L2 corresponding to an N-terminus region.

Epitope

N-Terminus

Specificity

Aa 3-14 of Human MAD2L2. MAD2L2 is also known as MAD2B, REV7 and mitotic arrest deficient-like 2 protein.

Clonality

Polyclonal

Host

Rabbit

Isotype

IgG

Description

Novus Biologicals Rabbit MAD2L2 Antibody - BSA Free (NBP1-02798) is a polyclonal antibody validated for use in IHC, WB, ELISA and ICC/IF. All Novus Biologicals antibodies are covered by our 100% guarantee.

Scientific Data Images for MAD2L2 Antibody - BSA Free

Western Blot: MAD2L2 AntibodyBSA Free [NBP1-02798]

Western Blot: MAD2L2 AntibodyBSA Free [NBP1-02798]

Western Blot: MAD2L2 Antibody [NBP1-02798] - Affinity Purified Rabbit anti-MAD2L2 was used at a 1:500 dilution to detect human MAD2L2 by western blot. Both HeLa whole cell lysate (lane 1) and nuclear lysate (lane 2) were probed using this antibody. This antibody clearly detects a ~20 kD band corresponding to human MAD2L2 (predicted molecular weight is 24 kD). Approximately 20 ug of each lysate was loaded on a 10% SDS-PAGE. Primary antibody was reacted with the membrane at room temperature for 1 h. After subsequent washing, a 1:2000 dilution of HRP conjugated Gt-a-Rabbit IgG was used for visualization. Exposure time was 30 sec.
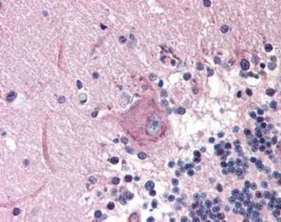
Immunohistochemistry-Paraffin: MAD2L2 Antibody - BSA Free [NBP1-02798]

Immunohistochemistry-Paraffin: MAD2L2 Antibody - BSA Free [NBP1-02798]

Immunohistochemistry-Paraffin: MAD2L2 Antibody [NBP1-02798] - Staining of human brain, cerebellum. Immunohistochemistry of formalin-fixed, paraffin-embedded tissue after heat-induced antigen retrieval. Antibody concentration 10 ug/ml.

Applications for MAD2L2 Antibody - BSA Free

Application
Recommended Usage

ELISA

1:7500 - 1:30000

Immunocytochemistry/ Immunofluorescence

1:500 - 1:2000

Immunohistochemistry

10ug/ml

Immunohistochemistry-Paraffin

10 ug/ml

Western Blot

1:500 - 1:2000
Application Notes
.

Formulation, Preparation, and Storage

Purification

Affinity purified

Formulation

20mM Potassium Phosphate (pH 7.2) and 0.15M NaCl

Format

BSA Free

Preservative

0.01% Sodium Azide

Concentration

0.68 mg/ml

Shipping

The product is shipped with polar packs. Upon receipt, store it immediately at the temperature recommended below.

Stability & Storage

Store at 4C short term. Aliquot and store at -20C long term. Avoid freeze-thaw cycles.

Background: MAD2L2

MAD2L2 is a component of the mitotic spindle assembly checkpoint that prevents the onset of anaphase until all chromosomes are properly aligned at the metaphase plate. MAD2L2 is a homolog of MAD2L1.

Alternate Names

hREV7, MAD2 mitotic arrest deficient-like 2 (yeast), MAD2BREV7 homolog, MAD2-like protein 2, Mitotic arrest deficient 2-like protein 2, mitotic arrest deficient homolog-like 2, mitotic spindle assembly checkpoint protein MAD2B, REV7yeast, homolog)-like 2

Entrez Gene IDs

10459 (Human)

Gene Symbol

MAD2L2

UniProt

Additional MAD2L2 Products

Product Documents for MAD2L2 Antibody - BSA Free

Certificate of Analysis

To download a Certificate of Analysis, please enter a lot number in the search box below.

Product Specific Notices for MAD2L2 Antibody - BSA Free

This product is for research use only and is not approved for use in humans or in clinical diagnosis. Primary Antibodies are guaranteed for 1 year from date of receipt.

Loading...
Loading...
Loading...
Loading...