Skip to main content

MAD1L1/MAD1 Antibody - BSA Free

Novus Biologicals, part of Bio-Techne | Catalog # NBP1-89664

Novus Biologicals, part of Bio-Techne
Catalog #
Availability
Size / Price
Qty
Loading...
NBP1-89664
NBP1-89664-25ul

Key Product Details

Species Reactivity

Human

Applications

Immunohistochemistry, Immunohistochemistry-Paraffin, Western Blot

Label

Unconjugated

Antibody Source

Polyclonal Rabbit IgG

Format

BSA Free

Concentration

Concentrations vary lot to lot. See vial label for concentration. If unlisted please contact technical services.

Product Specifications

Immunogen

This antibody was developed against Recombinant Protein corresponding to amino acids: TKVLHMSLNPTSVARQRLREDHSQLQAECERLRGLLRAMERGGTVPADLEAAAASLPSSKEVAELKKQVESAELKNQRLKEVFQTKIQEFRKACYTLTGYQIDITTENQYRLTSLYAEHPGDCLIFKATSPSGSKMQLLEIRRAPPLSNN

Clonality

Polyclonal

Host

Rabbit

Isotype

IgG

Scientific Data Images for MAD1L1/MAD1 Antibody - BSA Free

MAD1L1/MAD1 Antibody - BSA Free Immunohistochemistry-Paraffin: MAD1L1/MAD1 Antibody - BSA Free [NBP1-89664]

Immunohistochemistry-Paraffin: MAD1L1/MAD1 Antibody - BSA Free [NBP1-89664]

Staining of human testis shows moderate positivity in nuclear membrane in cells in seminiferous ducts.
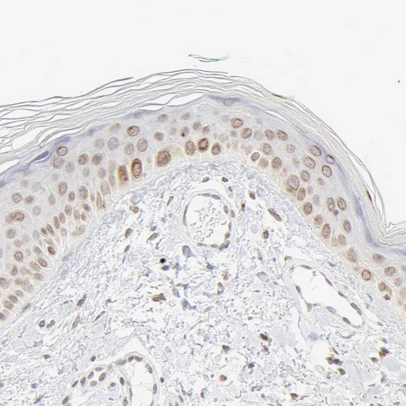
MAD1L1/MAD1 Antibody - BSA Free Immunohistochemistry-Paraffin: MAD1L1/MAD1 Antibody - BSA Free [NBP1-89664]

Immunohistochemistry-Paraffin: MAD1L1/MAD1 Antibody - BSA Free [NBP1-89664]

Staining of human skin shows moderate positivity in nuclear membrane in squamous epithelial cells.
MAD1L1/MAD1 Antibody - BSA Free Immunohistochemistry-Paraffin: MAD1L1/MAD1 Antibody - BSA Free [NBP1-89664]

Immunohistochemistry-Paraffin: MAD1L1/MAD1 Antibody - BSA Free [NBP1-89664]

Staining of human lymph node shows moderate positivity in nuclear membrane in germinal center cells.

Applications for MAD1L1/MAD1 Antibody - BSA Free

Application
Recommended Usage

Immunohistochemistry

1:200 - 1:500

Immunohistochemistry-Paraffin

1:200 - 1:500

Western Blot

0.04-0.4 ug/ml
Application Notes
For IHC-Paraffin, HIER pH 6 retrieval is recommended. Immunocytochemistry/Immunofluorescence Fixation Permeabilization: Use PFA/Triton X-100.

Formulation, Preparation, and Storage

Purification

Affinity purified

Formulation

PBS (pH 7.2) and 40% Glycerol

Format

BSA Free

Preservative

0.02% Sodium Azide

Concentration

Concentrations vary lot to lot. See vial label for concentration. If unlisted please contact technical services.

Shipping

The product is shipped with polar packs. Upon receipt, store it immediately at the temperature recommended below.

Stability & Storage

Store at 4C short term. Aliquot and store at -20C long term. Avoid freeze-thaw cycles.

Background: MAD1L1

MAD1L1 is a component of the mitotic spindle-assembly checkpoint that prevents the onset of anaphase until all chromosome are properly aligned at the metaphase plate. MAD1L1 functions as a homodimer and interacts with MAD2L1. MAD1L1 may play a role in cell cycle control and tumor suppression. Three transcript variants encoding the same protein have been found for this gene.

Long Name

MAD1 Mitotic Arrest Deficient-Like 1

Alternate Names

HsMAD1, MAD1, PIG9, TP53I9, TXBP181

Gene Symbol

MAD1L1

Additional MAD1L1 Products

Product Documents for MAD1L1/MAD1 Antibody - BSA Free

Certificate of Analysis

To download a Certificate of Analysis, please enter a lot number in the search box below.

Product Specific Notices for MAD1L1/MAD1 Antibody - BSA Free

This product is for research use only and is not approved for use in humans or in clinical diagnosis. Primary Antibodies are guaranteed for 1 year from date of receipt.

Loading...
Loading...
Loading...
Loading...