Skip to main content

Lysine (K)-specific Demethylase 4C/KDM4C/JMJD2C Antibody - BSA Free

Novus Biologicals, part of Bio-Techne | Catalog # NBP1-49600

Novus Biologicals, part of Bio-Techne

Key Product Details

Validated by

Knockout/Knockdown

Species Reactivity

Validated:

Human, Mouse

Cited:

Human, Mouse

Applications

Validated:

Immunohistochemistry, Immunohistochemistry-Paraffin, Western Blot, Immunocytochemistry/ Immunofluorescence, Simple Western, Immunoprecipitation, Chromatin Immunoprecipitation, Chromatin Immunoprecipitation (ChIP), Knockdown Validated

Cited:

Immunohistochemistry-Paraffin, Western Blot, Immunocytochemistry/ Immunofluorescence, Immunoprecipitation, Chemotaxis

Label

Unconjugated

Antibody Source

Polyclonal Rabbit IgG

Format

BSA Free

Concentration

1.0 mg/ml

Product Specifications

Immunogen

A partial recombinant protein made to an internal region of the human JMJD2C protein (within residues 450-600). [Swiss-Prot Q9H3R0]

Localization

Nucleus

Clonality

Polyclonal

Host

Rabbit

Isotype

IgG

Description

Novus Biologicals Rabbit Lysine (K)-specific Demethylase 4C/KDM4C/JMJD2C Antibody - BSA Free (NBP1-49600) is a polyclonal antibody validated for use in IHC, WB, ICC/IF, Simple Western, IP and ChIP. Anti-Lysine (K)-specific Demethylase 4C/KDM4C/JMJD2C Antibody: Cited in 11 publications. All Novus Biologicals antibodies are covered by our 100% guarantee.

Scientific Data Images for Lysine (K)-specific Demethylase 4C/KDM4C/JMJD2C Antibody - BSA Free

Western Blot: Lysine (K)-specific Demethylase 4C/KDM4C/JMJD2C AntibodyBSA Free [NBP1-49600]

Western Blot: Lysine (K)-specific Demethylase 4C/KDM4C/JMJD2C AntibodyBSA Free [NBP1-49600]

Western Blot: Lysine (K)-specific Demethylase 4C/KDM4C/JMJD2C Antibody [NBP1-49600] - Analysis of JMJD2C in HeLa nuclear extracts.
Immunocytochemistry/ Immunofluorescence: Lysine (K)-specific Demethylase 4C/KDM4C/JMJD2C Antibody - BSA Free [NBP1-49600]

Immunocytochemistry/ Immunofluorescence: Lysine (K)-specific Demethylase 4C/KDM4C/JMJD2C Antibody - BSA Free [NBP1-49600]

Immunocytochemistry/Immunofluorescence: Lysine (K)-specific Demethylase 4C/KDM4C/JMJD2C Antibody [NBP1-49600] - NIH3T3 cells were fixed in 4% paraformaldehyde for 10 minutes and permeabilized in 0.5% Triton X-100 in PBS for 5 minutes. The cells were incubated with anti-Lysine (K)-specific Demethylase 4C/KDM4C/JMJD2C Antibody NBP1-49600 at 2 ug/ml overnight at 4C and detected with an anti-rabbit Dylight 488 (Green) at a 1:1000 dilution for 60 minutes. Nuclei were counterstained with DAPI (Blue). Cells were imaged using a 100X objective and digitally deconvolved.
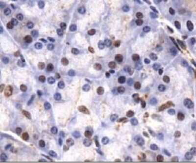
Immunohistochemistry-Paraffin: Lysine (K)-specific Demethylase 4C/KDM4C/JMJD2C Antibody - BSA Free [NBP1-49600]

Immunohistochemistry-Paraffin: Lysine (K)-specific Demethylase 4C/KDM4C/JMJD2C Antibody - BSA Free [NBP1-49600]

Immunohistochemistry-Paraffin: Lysine (K)-specific Demethylase 4C/KDM4C/JMJD2C Antibody [NBP1-49600] - Staining of JMJD2C in paraffin embedded mouse pancreas using DAB with hematoxylin counterstain.

Applications for Lysine (K)-specific Demethylase 4C/KDM4C/JMJD2C Antibody - BSA Free

Application
Recommended Usage

Chromatin Immunoprecipitation

reported in scientific literature (PMID 23884959; 23129632)

Immunocytochemistry/ Immunofluorescence

1:100

Immunohistochemistry

1:100

Immunohistochemistry-Paraffin

1:100

Immunoprecipitation

reported in scientific literature (PMID 23129632)

Knockdown Validated

Validated for Knockdown from a verified customer review.

Simple Western

1:12.5

Western Blot

1:1000
Application Notes
In Western blot, a band is seen ~119 kDa in HeLa cells. In ICC/IF, nuclear staining was observed in HeLa cells. In IHC-P, staining was observed in the nuclei of mouse pancreas. Prior to immunostaining paraffin tissues, antigen retrieval with sodium citrate buffer (pH 6.0) is recommended.

In Simple Western only 10 - 15 uL of the recommended dilution is used per data point.
See Simple Western Antibody Database for Simple Western validation: Tested in HeLa lysate 1.0 mg/mL, separated by Size, antibody dilution of 1:12.5, apparent MW was 158 kDa. Separated by Size-Wes, Sally Sue/Peggy Sue.

Reviewed Applications

Read 2 reviews rated 4.5 using NBP1-49600 in the following applications:

Formulation, Preparation, and Storage

Purification

Immunogen affinity purified

Formulation

PBS

Format

BSA Free

Preservative

0.05% Sodium Azide

Concentration

1.0 mg/ml

Shipping

The product is shipped with polar packs. Upon receipt, store it immediately at the temperature recommended below.

Stability & Storage

Store at 4C short term. Aliquot and store at -20C long term. Avoid freeze-thaw cycles.

Background: Lysine (K)-specific Demethylase 4C/KDM4C

JMJD2C (Jumonji C domain-containing oxygenase D2C; also called GASC1, JHDM3C or KDM4C) belongs to JMJD2 family and is a histone demethylase for di- and trimethylated lysine 9 and 36 on histone H3 (H3K9me3/2 and H3K36me3/2). H3K9me3/2 is generally associated with transcriptional repression and heterochromatin formation, whereas, H3K36me3/2 is linked to transcriptionaly active genes where it plays a key role in suppression of incorrect transcription. JMJD2C regulates the expression of pluripotency genes including NOTCH1, NANOG, Sox2 and Pou5, and because of its dual role in modifying H3 either by removing the repressive H3K9me3/2 or the active H3K36me3/2 factor, JMJD2C has been considered a fine-tuning regulator of gene expression in normal development/differentiation as well as in carcinogenic progression. JMJD2C is overexpressed in aggressive, basal-like breast cancers compared with non basal-like breast cancers, and its overexpression has been shown to cause transformation of immortalized, non-transformed mammary epithelial cells and to regulate expression of genes responsible for stem cell phenotype/self-renewal in breast cancer cells. Moreover oncogenic role of JMJD2C has been documented in prostate cancer where it enhances the transcription of AR-dependent genes and cell proliferation by interaction with ligand-bound AR.

Alternate Names

GASC1, JHDM3C, JMJD2C, KDM4C, Lysine (K)specific Demethylase 4C

Entrez Gene IDs

23081 (Human); 76804 (Mouse)

Gene Symbol

KDM4C

Additional Lysine (K)-specific Demethylase 4C/KDM4C Products

Product Documents for Lysine (K)-specific Demethylase 4C/KDM4C/JMJD2C Antibody - BSA Free

Certificate of Analysis

To download a Certificate of Analysis, please enter a lot number in the search box below.

Product Specific Notices for Lysine (K)-specific Demethylase 4C/KDM4C/JMJD2C Antibody - BSA Free

Manufactured by Genomic Antibody Technology™. GAT FAQs

This product is for research use only and is not approved for use in humans or in clinical diagnosis. Primary Antibodies are guaranteed for 1 year from date of receipt.

Loading...
Loading...
Loading...
Loading...
Loading...