Lyn Antibody
Novus Biologicals, part of Bio-Techne | Catalog # NBP2-17188
Key Product Details
Validated by
Knockout/Knockdown
Species Reactivity
Validated:
Human, Mouse
Predicted:
Bovine (95%), Rat (95%). Backed by our 100% Guarantee.
Applications
Immunohistochemistry, Immunohistochemistry-Paraffin, Western Blot, Immunocytochemistry/ Immunofluorescence, Immunoprecipitation
Label
Unconjugated
Antibody Source
Polyclonal Rabbit IgG
Concentration
Concentrations vary lot to lot. See vial label for concentration. If unlisted please contact technical services.
Product Specifications
Immunogen
Recombinant protein encompassing a sequence within the center region of human Lyn. The exact sequence is proprietary.
Reactivity Notes
Xenopus laevis (83%), Sheep (87%).
Clonality
Polyclonal
Host
Rabbit
Isotype
IgG
Theoretical MW
59 kDa.
Disclaimer note: The observed molecular weight of the protein may vary from the listed predicted molecular weight due to post translational modifications, post translation cleavages, relative charges, and other experimental factors.
Disclaimer note: The observed molecular weight of the protein may vary from the listed predicted molecular weight due to post translational modifications, post translation cleavages, relative charges, and other experimental factors.
Description
Novus Biologicals Rabbit Lyn Antibody (NBP2-17188) is a polyclonal antibody validated for use in IHC, WB, ICC/IF and IP. All Novus Biologicals antibodies are covered by our 100% guarantee.
Scientific Data Images for Lyn Antibody
Western Blot: Lyn Antibody [NBP2-17188]
Western Blot: Lyn Antibody [NBP2-17188] - A. 30 ug Raji whole cell lysate/extract B. 30 ug K562 whole cell lysate/extract C. 30 ug Raji whole cell lysate/extract 7.5 % SDS-PAGE LYN antibody dilution: 1:1000Immunocytochemistry/ Immunofluorescence: Lyn Antibody [NBP2-17188]
Immunocytochemistry/Immunofluorescence: Lyn Antibody [NBP2-17188] - Confocal immunofluorescence analysis of paraformaldehyde-fixed A431, using LYN antibody (Green) at 1:500 dilution. Alpha-tubulin filaments are labeled with Alpha-tubulin antibody (Red) at 1:2000.Immunohistochemistry-Paraffin: Lyn Antibody [NBP2-17188]
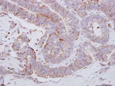
Immunohistochemistry-Paraffin: Lyn Antibody [NBP2-17188] - Human colon carcinoma, using LYN antibody at 1:250 dilution. Antigen Retrieval: Trilogy™ (EDTA based, pH 8.0) buffer, 15minApplications for Lyn Antibody
Application
Recommended Usage
Immunocytochemistry/ Immunofluorescence
1:100-1:1000
Immunohistochemistry
1:100-1:1000
Immunohistochemistry-Paraffin
1:100-1:1000
Immunoprecipitation
1:100-1:500
Western Blot
1:500-1:3000
Formulation, Preparation, and Storage
Purification
Antigen Affinity-purified
Formulation
PBS, 1% BSA, 20% Glycerol
Preservative
0.01% Thimerosal
Concentration
Concentrations vary lot to lot. See vial label for concentration. If unlisted please contact technical services.
Shipping
The product is shipped with polar packs. Upon receipt, store it immediately at the temperature recommended below.
Stability & Storage
Aliquot and store at -20C or -80C. Avoid freeze-thaw cycles.
Background: Lyn
Long Name
V-Yes-1 Yamaguchi Sarcoma Viral Related Oncogene Homolog
Alternate Names
Hck-2, JTK8, v-yes-1
Gene Symbol
LYN
UniProt
Additional Lyn Products
Product Documents for Lyn Antibody
Product Specific Notices for Lyn Antibody
This product is for research use only and is not approved for use in humans or in clinical diagnosis. Primary Antibodies are guaranteed for 1 year from date of receipt.
Loading...
Loading...
Loading...
Loading...
⚠ WARNING: This product can expose you to chemicals including mercury, which is known to the State of California to cause reproductive toxicity with developmental effects. For more information go to www.P65Warnings.ca.gov.