Skip to main content

LYAG/GAA Antibody (5E5) - BSA Free

Novus Biologicals, part of Bio-Techne | Catalog # NBP3-26562

Recombinant monoclonal antibody expressed in HEK293F cells
Novus Biologicals, part of Bio-Techne
Catalog #
Availability
Size / Price
Qty
Loading...
NBP3-26562-100ul
NBP3-26562-50ul

Key Product Details

Species Reactivity

Human

Applications

ELISA, Immunohistochemistry

Label

Unconjugated

Antibody Source

Recombinant Monoclonal Rabbit IgG Clone # 5E5 expressed in HEK293

Format

BSA Free

Concentration

Please see the vial label for concentration. If unlisted please contact technical services.

Product Specifications

Immunogen

A synthesized peptide derived from Human LYAG/GAA [UniProt P10253]

Clonality

Monoclonal

Host

Rabbit

Isotype

IgG

Description

Novus Biologicals Rabbit LYAG/GAA Antibody (5E5) - BSA Free (NBP3-26562) is a recombinant monoclonal antibody validated for use in IHC and ELISA. All Novus Biologicals antibodies are covered by our 100% guarantee.

Scientific Data Images for LYAG/GAA Antibody (5E5) - BSA Free

LYAG/GAA Antibody (5E5)

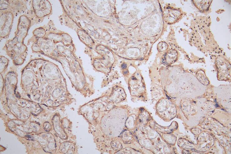
Immunohistochemistry: LYAG/GAA Antibody (5E5) [NBP3-26562] -

Immunohistochemistry: LYAG/GAA Antibody (5E5) [NBP3-26562] - Image of LYAG/GAA Antibody (5E5) diluted at 1:50 and staining in paraffin-embedded human placenta tissue performed. After dewaxing and hydration, antigen retrieval was mediated by high pressure in a citrate buffer (pH 6.0). Section was blocked with 10% normal goat serum 30min at RT. Then primary antibody (1% BSA) was incubated at 4C overnight. The primary is detected by a Goat anti-rabbit polymer IgG labeled by HRP and visualized using 0.15% DAB.
LYAG/GAA Antibody (5E5)

Immunohistochemistry: LYAG/GAA Antibody (5E5) [NBP3-26562] -

Immunohistochemistry: LYAG/GAA Antibody (5E5) [NBP3-26562] - Image of LYAG/GAA Antibody (5E5) diluted at 1:50 and staining in paraffin-embedded human placenta tissue performed. After dewaxing and hydration, antigen retrieval was mediated by high pressure in a citrate buffer (pH 6.0). Section was blocked with 10% normal goat serum 30min at RT. Then primary antibody (1% BSA) was incubated at 4°C overnight. The primary is detected by a Goat anti-rabbit polymer IgG labeled by HRP and visualized using 0.15% DAB.

Applications for LYAG/GAA Antibody (5E5) - BSA Free

Application
Recommended Usage

Immunohistochemistry

1:50-1:200

Formulation, Preparation, and Storage

Purification

Affinity purified

Formulation

PBS, pH 7.4, 150mM NaCl, and 50% glycerol

Format

BSA Free

Preservative

0.02% Sodium Azide

Concentration

Please see the vial label for concentration. If unlisted please contact technical services.

Shipping

The product is shipped with polar packs. Upon receipt, store it immediately at the temperature recommended below.

Stability & Storage

Store at -20 to -70C. Avoid freeze-thaw cycles.

Background: Lysosomal alpha-Glucosidase

GAA encodes acid alpha-glucosidase, which is essential for the degradation of glycogen to glucose in lysosomes. Different forms of acid alpha-glucosidase are obtained by proteolytic processing. Defects in this gene are the cause of glycogen storage disease II, also known as Pompe's disease, which is an autosomal recessive disorder with a broad clinical spectrum. Three transcript variants encoding the same protein have been found for this gene. [provided by RefSeq]

Long Name

Glucosidase, Alpha; Acid

Alternate Names

Acid alpha-Glucosidase, Acid Maltase, GAA, LYAG, Lysosomal alphaGlucosidase

Gene Symbol

GAA

Additional Lysosomal alpha-Glucosidase Products

Product Documents for LYAG/GAA Antibody (5E5) - BSA Free

Certificate of Analysis

To download a Certificate of Analysis, please enter a lot number in the search box below.

Product Specific Notices for LYAG/GAA Antibody (5E5) - BSA Free

This product is for research use only and is not approved for use in humans or in clinical diagnosis. Primary Antibodies are guaranteed for 1 year from date of receipt.

Loading...
Loading...
Loading...
Loading...