Skip to main content

LSM1 Antibody (OTI5C6) - Azide and BSA Free

Novus Biologicals, part of Bio-Techne | Catalog # NBP2-72547

Novus Biologicals, part of Bio-Techne
Catalog #
Availability
Size / Price
Qty
Loading...
NBP2-72547

Key Product Details

Species Reactivity

Human, Mouse, Rat, Canine

Applications

Immunohistochemistry, Immunohistochemistry-Paraffin, Western Blot, Flow Cytometry, Immunocytochemistry/ Immunofluorescence, CyTOF-ready

Label

Unconjugated

Antibody Source

Monoclonal Mouse IgG2B Clone # OTI5C6

Format

Azide and BSA Free

Concentration

LYOPH mg/ml

Product Specifications

Immunogen

Full length human recombinant protein of human LSM1 (NP_055277) produced in HEK293T cell.

Reactivity Notes

Please note that this antibody is reactive to Mouse and derived from the same host, Mouse. Mouse-On-Mouse blocking reagent may be needed for IHC and ICC experiments to reduce high background signal. You can find these reagents under catalog numbers PK-2200-NB and MP-2400-NB. Please contact Technical Support if you have any questions.

Clonality

Monoclonal

Host

Mouse

Isotype

IgG2B

Theoretical MW

15 kDa.
Disclaimer note: The observed molecular weight of the protein may vary from the listed predicted molecular weight due to post translational modifications, post translation cleavages, relative charges, and other experimental factors.

Description

Novus Biologicals Mouse LSM1 Antibody (OTI5C6) - Azide and BSA Free (NBP2-00918) is a monoclonal antibody validated for use in IHC, WB, Flow and ICC/IF. All Novus Biologicals antibodies are covered by our 100% guarantee.

Scientific Data Images for LSM1 Antibody (OTI5C6) - Azide and BSA Free

Western Blot: LSM1 Antibody (OTI5C6)Azide and BSA Free [NBP2-72547]

Western Blot: LSM1 Antibody (OTI5C6)Azide and BSA Free [NBP2-72547]

Western Blot: LSM1 Antibody (OTI5C6) - Azide and BSA Free [NBP2-72547] - HEK293T cells were transfected with the pCMV6-ENTRY control (Left lane) or pCMV6-ENTRY LSM1 (Right lane) cDNA for 48 hrs and lysed. Equivalent amounts of cell lysates (5 ug per lane) were separated by SDS-PAGE and immunoblotted with anti-LSM1.
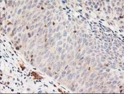
Immunohistochemistry: LSM1 Antibody (OTI5C6) - Azide and BSA Free [NBP2-72547]

Immunohistochemistry: LSM1 Antibody (OTI5C6) - Azide and BSA Free [NBP2-72547]

Immunohistochemistry: LSM1 Antibody (OTI5C6) - Azide and BSA Free [NBP2-72547] - Staining of paraffin-embedded Carcinoma of Human bladder tissue using anti-LSM1 mouse monoclonal antibody.
Flow Cytometry: LSM1 Antibody (OTI5C6) - Azide and BSA Free [NBP2-72547]

Flow Cytometry: LSM1 Antibody (OTI5C6) - Azide and BSA Free [NBP2-72547]

Flow Cytometry: LSM1 Antibody (OTI5C6) - Azide and BSA Free [NBP2-72547] - Staining of COS7 cells transiently transfected by pCMV6-ENTRY LSM1.

Applications for LSM1 Antibody (OTI5C6) - Azide and BSA Free

Application
Recommended Usage

Flow Cytometry

1:100

Immunocytochemistry/ Immunofluorescence

1:100

Immunohistochemistry

1:150

Western Blot

1:500-2000

Formulation, Preparation, and Storage

Purification

Immunogen affinity purified

Reconstitution

we recommend adding 100uL distilled water to a final antibody concentration of about 1 mg/mL. To use this carrier-free antibody for conjugation experiment, we strongly recommend performing another round of desalting process.

Formulation

Lyophilized from PBS (pH 7.3) with 8% Trehalose

Format

Azide and BSA Free

Preservative

No Preservative

Concentration

LYOPH mg/ml

Shipping

The product is shipped with polar packs. Upon receipt, store it immediately at the temperature recommended below.

Stability & Storage

Store at -20C. Avoid freeze-thaw cycles.

Background: LSM1

Sm-like proteins were identified in a variety of organisms based on sequence homology with the Sm protein family (see SNRPD2; MIM 601061). Sm-like proteins contain the Sm sequence motif, which consists of 2 regions separated by a linker of variable length that folds as a loop. The Sm-like proteins are thought to form a stable heteromer present in tri-snRNP particles, which are important for pre-mRNA splicing.[supplied by OMIM]

Alternate Names

Cancer-associated Sm-like, CASMYJL124C, LSM1 homolog, U6 small nuclear RNA associated (S. cerevisiae), Small nuclear ribonuclear CaSm, U6 snRNA-associated Sm-like protein LSm1

Gene Symbol

LSM1

Additional LSM1 Products

Product Documents for LSM1 Antibody (OTI5C6) - Azide and BSA Free

Certificate of Analysis

To download a Certificate of Analysis, please enter a lot number in the search box below.

Product Specific Notices for LSM1 Antibody (OTI5C6) - Azide and BSA Free

This product is for research use only and is not approved for use in humans or in clinical diagnosis. Primary Antibodies are guaranteed for 1 year from date of receipt.

Loading...
Loading...
Loading...
Loading...
Loading...
Loading...