Skip to main content

LSECtin/CLEC4G Antibody - BSA Free

Novus Biologicals, part of Bio-Techne | Catalog # NBP1-82815

Novus Biologicals, part of Bio-Techne
Catalog #
Availability
Size / Price
Qty
Loading...
NBP1-82815
NBP1-82815-25ul

Key Product Details

Validated by

Orthogonal Validation

Species Reactivity

Human

Applications

Immunohistochemistry, Immunohistochemistry-Paraffin

Label

Unconjugated

Antibody Source

Polyclonal Rabbit IgG

Format

BSA Free

Concentration

Concentrations vary lot to lot. See vial label for concentration. If unlisted please contact technical services.

Product Specifications

Immunogen

This antibody was developed against Recombinant Protein corresponding to amino acids: QGFLTRNTRGRGYWLGLRAVRHLGKVQGYQWVDGVSLSFSHWNQGEPNDAWGRENCVMMLHTGLWNDAPCDSEKDGWICEKR

Clonality

Polyclonal

Host

Rabbit

Isotype

IgG

Scientific Data Images for LSECtin/CLEC4G Antibody - BSA Free

Immunohistochemistry-Paraffin: LSECtin/CLEC4G Antibody [NBP1-82815]

Immunohistochemistry-Paraffin: LSECtin/CLEC4G Antibody [NBP1-82815]

Immunohistochemistry-Paraffin: LSECtin/CLEC4G Antibody [NBP1-82815] - Staining in human liver and pancreas tissues using anti-CLEC4G antibody. Corresponding CLEC4G RNA-seq data are presented for the same tissues.
Immunohistochemistry-Paraffin: LSECtin/CLEC4G Antibody [NBP1-82815]

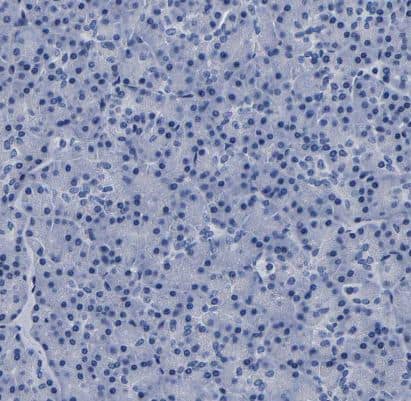
Immunohistochemistry-Paraffin: LSECtin/CLEC4G Antibody [NBP1-82815]

Immunohistochemistry-Paraffin: LSECtin/CLEC4G Antibody [NBP1-82815] - Staining of human pancreas shows low expression as expected.
Immunohistochemistry-Paraffin: LSECtin/CLEC4G Antibody [NBP1-82815]

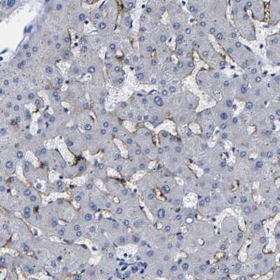
Immunohistochemistry-Paraffin: LSECtin/CLEC4G Antibody [NBP1-82815]

Immunohistochemistry-Paraffin: LSECtin/CLEC4G Antibody [NBP1-82815] - Staining of human liver shows high expression.

Applications for LSECtin/CLEC4G Antibody - BSA Free

Application
Recommended Usage

Immunohistochemistry

1:50 - 1:200

Immunohistochemistry-Paraffin

1:50 - 1:200
Application Notes
For IHC-Paraffin, HIER pH 6 retrieval is recommended.

Reviewed Applications

Read 1 review rated 3 using NBP1-82815 in the following applications:

Formulation, Preparation, and Storage

Purification

Affinity purified

Formulation

PBS (pH 7.2) and 40% Glycerol

Format

BSA Free

Preservative

0.02% Sodium Azide

Concentration

Concentrations vary lot to lot. See vial label for concentration. If unlisted please contact technical services.

Shipping

The product is shipped with polar packs. Upon receipt, store it immediately at the temperature recommended below.

Stability & Storage

Store at 4C short term. Aliquot and store at -20C long term. Avoid freeze-thaw cycles.

Background: LSECtin/CLEC4G

CLEC4G is a gene that codes for a protein that is 293 amino acids in length and has a weight of approximately 33 kDa. Current studies are being done on diseases and disorders linked to this gene including severe acute respiratory syndrome and hepatitis. CLEC4G has also been shown to have interactions with EIF3I, IFI35, ASGR1, CAPN1, and CPN1.

Long Name

Liver And Lymph Node Sinusoidal Endothelial Cell C-type Lectin

Alternate Names

CLEC4G, Q6UXB4

Gene Symbol

CLEC4G

Additional LSECtin/CLEC4G Products

Product Documents for LSECtin/CLEC4G Antibody - BSA Free

Certificate of Analysis

To download a Certificate of Analysis, please enter a lot number in the search box below.

Product Specific Notices for LSECtin/CLEC4G Antibody - BSA Free

This product is for research use only and is not approved for use in humans or in clinical diagnosis. Primary Antibodies are guaranteed for 1 year from date of receipt.

Loading...
Loading...
Loading...
Loading...