Skip to main content

LRRC72 Antibody - BSA Free

Novus Biologicals, part of Bio-Techne | Catalog # NBP1-91116

Novus Biologicals, part of Bio-Techne
Catalog #
Availability
Size / Price
Qty
Loading...
NBP1-91116-25ul
NBP1-91116

Key Product Details

Species Reactivity

Human

Applications

Immunohistochemistry, Immunohistochemistry-Paraffin

Label

Unconjugated

Antibody Source

Polyclonal Rabbit IgG

Format

BSA Free

Concentration

Concentrations vary lot to lot. See vial label for concentration. If unlisted please contact technical services.

Product Specifications

Immunogen

This antibody was developed against Recombinant Protein corresponding to amino acids: SIAFGGKVDASWDPKSPFKQKPAQRVPSDFAFANNVDKTVLDDPEDAVFVRSMKRSVMTLTSMNWDTVPTREERYLEEEGTETAQMLTVT

Clonality

Polyclonal

Host

Rabbit

Isotype

IgG

Description

Novus Biologicals Rabbit LRRC72 Antibody - BSA Free (NBP1-91116) is a polyclonal antibody validated for use in IHC. All Novus Biologicals antibodies are covered by our 100% guarantee.

Scientific Data Images for LRRC72 Antibody - BSA Free

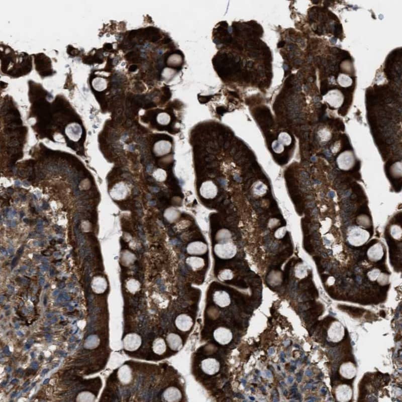
LRRC72 Antibody - BSA Free Immunohistochemistry: LRRC72 Antibody - BSA Free [NBP1-91116]

Immunohistochemistry: LRRC72 Antibody - BSA Free [NBP1-91116]

Staining of human small intestine shows strong cytoplasmic positivity in glandular cells.

Applications for LRRC72 Antibody - BSA Free

Application
Recommended Usage

Immunohistochemistry

1:200 - 1:500

Immunohistochemistry-Paraffin

1:200 - 1:500
Application Notes
For IHC-Paraffin, HIER pH 6 retrieval is recommended.

Formulation, Preparation, and Storage

Purification

Immunogen affinity purified

Formulation

PBS (pH 7.2) and 40% Glycerol

Format

BSA Free

Preservative

0.02% Sodium Azide

Concentration

Concentrations vary lot to lot. See vial label for concentration. If unlisted please contact technical services.

Shipping

The product is shipped with polar packs. Upon receipt, store it immediately at the temperature recommended below.

Stability & Storage

Store at 4C short term. Aliquot and store at -20C long term. Avoid freeze-thaw cycles.

Background: LRRC72

Alternate Names

AC005014.4, leucine rich repeat containing 72

Entrez Gene IDs

100506049 (Human)

Gene Symbol

LRRC72

UniProt

Additional LRRC72 Products

Product Documents for LRRC72 Antibody - BSA Free

Certificate of Analysis

To download a Certificate of Analysis, please enter a lot number in the search box below.

Product Specific Notices for LRRC72 Antibody - BSA Free

This product is for research use only and is not approved for use in humans or in clinical diagnosis. Primary Antibodies are guaranteed for 1 year from date of receipt.

Loading...
Loading...
Loading...
Loading...