Skip to main content

LOXL1 Antibody (C1) - BSA Free

Novus Biologicals, part of Bio-Techne | Catalog # NBP3-41652

Novus Biologicals, part of Bio-Techne
Catalog #
Availability
Size / Price
Qty
Loading...
NBP3-41652

Key Product Details

Species Reactivity

Human

Applications

Immunohistochemistry, Immunohistochemistry-Paraffin, Western Blot

Label

Unconjugated

Antibody Source

Monoclonal Mouse IgG2a Kappa Clone # C1

Format

BSA Free

Concentration

1 mg/ml

Product Specifications

Immunogen

Immunized with recombinant Human LOXL1 (Uniprot#: Q08397; Leu369-Ser574 (Uniprot#: Q08397)

Clonality

Monoclonal

Host

Mouse

Isotype

IgG2a Kappa

Description

Novus Biologicals Mouse LOXL1 Antibody (C1) - BSA Free (NBP3-41652) is a monoclonal antibody validated for use in IHC and WB. All Novus Biologicals antibodies are covered by our 100% guarantee.

Scientific Data Images for LOXL1 Antibody (C1) - BSA Free

LOXL1 Antibody (C1)

Western Blot: LOXL1 Antibody (C1) [NBP3-41652] -

Western Blot: LOXL1 Antibody (C1) [NBP3-41652] - Sample: Recombinant LOXL1, Human.
LOXL1 Antibody (C1)

Western Blot: LOXL1 Antibody (C1) [NBP3-41652] -

Western Blot: LOXL1 Antibody (C1) [NBP3-41652] - Sample: Lane1: Human Serum; Lane2: Human Placenta lysate Primary Ab: 2ug/ml NBP3-41652; Second Ab: 0.2ug/ml HRP-Linked Rabbit Anti-Mouse IgG Polyclonal Antibody
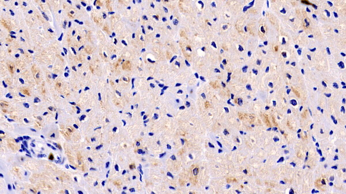
LOXL1 Antibody (C1)

Immunohistochemistry-Paraffin: LOXL1 Antibody (C1) [NBP3-41652] -

Immunohistochemistry-Paraffin: LOXL1 Antibody (C1) [NBP3-41652] - DAB staining on IHC-P; Samples: Human Cardiac Muscle Tissue; Primary Ab: 20ug/ml NBP3-41652; Second Ab: 2ug/mL HRP-Linked Caprine Anti-Mouse IgG Polyclonal Antibody

Applications for LOXL1 Antibody (C1) - BSA Free

Application
Recommended Usage

Immunohistochemistry

5-20ug/mL

Immunohistochemistry-Paraffin

5-20ug/mL

Western Blot

0.01-2ug/mL

Formulation, Preparation, and Storage

Purification

Protein A or G purified

Formulation

0.01M PBS, pH7.4, 50% glycerol

Format

BSA Free

Preservative

0.05% Proclin 300

Concentration

1 mg/ml

Shipping

The product is shipped with polar packs. Upon receipt, store it immediately at the temperature recommended below.

Stability & Storage

Store at 4C short term. Aliquot and store at -20C long term. Avoid freeze-thaw cycles.

Background: LOXL1

The LOXL1 gene encodes a member of the lysyl oxidase gene family. The prototypic member of the family is essential to the biogenesis of connective tissue, encoding an extracellular copper-dependent amine oxidase that catalyses the first step in the formation o

Long Name

Lysyl Oxidase like 1

Alternate Names

LOXL, Lysyl Oxidase Homolog 1, Lysyl Oxidase like 1

Gene Symbol

LOXL1

Additional LOXL1 Products

Product Documents for LOXL1 Antibody (C1) - BSA Free

Certificate of Analysis

To download a Certificate of Analysis, please enter a lot number in the search box below.

Product Specific Notices for LOXL1 Antibody (C1) - BSA Free

This product is for research use only and is not approved for use in humans or in clinical diagnosis. Primary Antibodies are guaranteed for 1 year from date of receipt.

Loading...
Loading...
Loading...
Loading...