Skip to main content

Loricrin Antibody - BSA Free

Novus Biologicals, part of Bio-Techne | Catalog # NBP2-62700

Novus Biologicals, part of Bio-Techne
Catalog #
Availability
Size / Price
Qty
Loading...
NBP2-62700
NBP2-62700-25ul

Key Product Details

Validated by

Orthogonal Validation, Independent Antibodies

Species Reactivity

Human

Applications

Immunohistochemistry, Immunohistochemistry-Paraffin

Label

Unconjugated

Antibody Source

Polyclonal Rabbit IgG

Format

BSA Free

Concentration

Concentrations vary lot to lot. See vial label for concentration. If unlisted please contact technical services.

Product Specifications

Immunogen

This antibody was developed against a recombinant protein corresponding to amino acids: SGSGYVSSQQVTQTSCAPQPSYGGGSS

Clonality

Polyclonal

Host

Rabbit

Isotype

IgG

Description

Novus Biologicals Rabbit Loricrin Antibody - BSA Free (NBP2-62700) is a polyclonal antibody validated for use in IHC. All Novus Biologicals antibodies are covered by our 100% guarantee.

Scientific Data Images for Loricrin Antibody - BSA Free

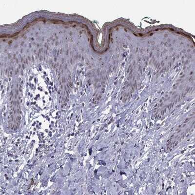
Immunohistochemistry-Paraffin: Loricrin Antibody [NBP2-62700]

Immunohistochemistry-Paraffin: Loricrin Antibody [NBP2-62700]

Immunohistochemistry-Paraffin: Loricrin Antibody [NBP2-62700] - Staining of human kidney shows no positivity in exocrine glandular cells as expected.
Immunohistochemistry-Paraffin: Loricrin Antibody [NBP2-62700]

Immunohistochemistry-Paraffin: Loricrin Antibody [NBP2-62700]

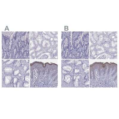
Immunohistochemistry-Paraffin: Loricrin Antibody [NBP2-62700] - Staining of human duodenum, kidney, prostate and skin using Anti-LOR antibody NBP2-62700 (A) shows similar protein distribution across tissues to independent antibody NBP2-62716 (B).
Immunohistochemistry-Paraffin: Loricrin Antibody [NBP2-62700]

Immunohistochemistry-Paraffin: Loricrin Antibody [NBP2-62700]

Immunohistochemistry-Paraffin: Loricrin Antibody [NBP2-62700] - Analysis in human skin and kidney tissues. Corresponding LOR RNA-seq data are presented for the same tissues.

Applications for Loricrin Antibody - BSA Free

Application
Recommended Usage

Immunohistochemistry

1:200 - 1:500

Immunohistochemistry-Paraffin

1:200 - 1:500
Application Notes
For IHC-Paraffin, HIER pH 6 retrieval is recommended.

Formulation, Preparation, and Storage

Purification

Affinity purified

Formulation

PBS (pH 7.2) and 40% Glycerol

Format

BSA Free

Preservative

0.02% Sodium Azide

Concentration

Concentrations vary lot to lot. See vial label for concentration. If unlisted please contact technical services.

Shipping

The product is shipped with polar packs. Upon receipt, store it immediately at the temperature recommended below.

Stability & Storage

Store at 4C short term. Aliquot and store at -20C long term. Avoid freeze-thaw cycles.

Background: Loricrin

Loricrin encodes loricrin, a major protein component of the cornified cell envelope found in terminally differentiated epidermal cells. Mutations in this gene are associated with Vohwinkel's syndrome and progressive symmetric erythrokeratoderma, both inherited skin diseases. [provided by RefSeq]

Alternate Names

loricrin, LRN, MGC111513

Gene Symbol

LORICRIN

Additional Loricrin Products

Product Documents for Loricrin Antibody - BSA Free

Certificate of Analysis

To download a Certificate of Analysis, please enter a lot number in the search box below.

Product Specific Notices for Loricrin Antibody - BSA Free

This product is for research use only and is not approved for use in humans or in clinical diagnosis. Primary Antibodies are guaranteed for 1 year from date of receipt.

Loading...
Loading...
Loading...
Loading...