Skip to main content

LONP1 Antibody (9H10) - BSA Free

Novus Biologicals, part of Bio-Techne | Catalog # NBP3-42990

Novus Biologicals, part of Bio-Techne
Catalog #
Availability
Size / Price
Qty
Loading...
NBP3-42990

Key Product Details

Species Reactivity

Human, Mouse, Rat

Applications

ELISA, Immunocytochemistry/ Immunofluorescence, Immunohistochemistry, Western Blot

Label

Unconjugated

Antibody Source

Monoclonal Mouse IgG2A Clone # 9H10

Format

BSA Free

Concentration

Please see the vial label for concentration. If unlisted please contact technical services.

Product Specifications

Immunogen

lon peptidase 1, mitochondrial - (Uniprot# P36776)

Clonality

Monoclonal

Host

Mouse

Isotype

IgG2A

Theoretical MW

100 kDa.
Disclaimer note: The observed molecular weight of the protein may vary from the listed predicted molecular weight due to post translational modifications, post translation cleavages, relative charges, and other experimental factors.

Description

Novus Biologicals Mouse LONP1 Antibody (9H10) - BSA Free (NBP3-42990) is a monoclonal antibody validated for use in IHC, WB, ELISA and ICC/IF. All Novus Biologicals antibodies are covered by our 100% guarantee.

Scientific Data Images for LONP1 Antibody (9H10) - BSA Free

LONP1 Antibody (9H10)

Western Blot: LONP1 Antibody (9H10) [NBP3-42990] -

Western Blot: LONP1 Antibody (9H10) [NBP3-42990] - Jurkat cells were subjected to SDS PAGE followed by western blot with (LONP1 Antibody) at dilution of 1:5000
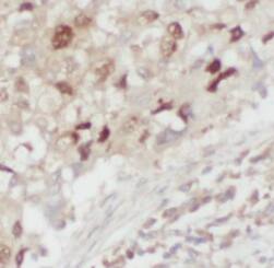
LONP1 Antibody (9H10)

Immunohistochemistry: LONP1 Antibody (9H10) [NBP3-42990] -

Immunohistochemistry: LONP1 Antibody (9H10) [NBP3-42990] - Immunohistochemistry of paraffin-embedded human lung cancer tissue slide using (LONP1 Antibody) at dilution of 1:800 heat mediated antigen retrieved with Tris-EDTA buffer(pH9).

Applications for LONP1 Antibody (9H10) - BSA Free

Application
Recommended Usage

Immunocytochemistry/ Immunofluorescence

1:10 - 1:100

Immunohistochemistry

1:400 - 1:1600

Western Blot

1:500 - 1:10000

Formulation, Preparation, and Storage

Purification

Protein A or G purified

Formulation

PBS (pH 7.3), 50% glycerol

Format

BSA Free

Preservative

0.02% Sodium Azide

Concentration

Please see the vial label for concentration. If unlisted please contact technical services.

Shipping

The product is shipped with polar packs. Upon receipt, store it immediately at the temperature recommended below.

Stability & Storage

Store at -20C. Avoid freeze-thaw cycles.

Background: LONP1

LONP1 encodes a mitochondrial matrix protein in the Lon family of ATP-dependent proteases. A similar E. coli protein regulates gene expression by targeting specific regulatory proteins for degradation. This protein binds a specific sequence in the light and heavy chain promoters of the mitochondrial genome which are involved in regulation of DNA replication and transcription. [provided by RefSeq]

Alternate Names

EC 3.4.21, EC 3.4.21.-, EC 3.4.21.53, hLON, hLON ATP-dependent protease, LON, lon peptidase 1, mitochondrial, lon protease homolog, mitochondrial, Lon protease-like protein, LonHS, LONP, Mitochondrial ATP-dependent protease Lon, mitochondrial lon peptidase 1, mitochondrial lon protease-like protein, PIM1, protease, serine, 15, PRSS15MGC1498, Serine protease 15

Gene Symbol

LONP1

Additional LONP1 Products

Product Documents for LONP1 Antibody (9H10) - BSA Free

Certificate of Analysis

To download a Certificate of Analysis, please enter a lot number in the search box below.

Product Specific Notices for LONP1 Antibody (9H10) - BSA Free

This product is for research use only and is not approved for use in humans or in clinical diagnosis. Primary Antibodies are guaranteed for 1 year from date of receipt.

Loading...
Loading...
Loading...
Loading...