Skip to main content

LMF1 Antibody - BSA Free

Novus Biologicals, part of Bio-Techne | Catalog # NBP3-46016

Novus Biologicals, part of Bio-Techne
Catalog #
Availability
Size / Price
Qty
Loading...
NBP3-46016

Key Product Details

Species Reactivity

Human, Mouse, Rat

Applications

Immunohistochemistry, Western Blot, ELISA

Label

Unconjugated

Antibody Source

Polyclonal Rabbit IgG

Format

BSA Free

Concentration

Please see the vial label for concentration. If unlisted please contact technical services.

Product Specifications

Immunogen

lipase maturation factor 1. (Uniprot# Q96S06)

Clonality

Polyclonal

Host

Rabbit

Isotype

IgG

Description

Novus Biologicals Rabbit LMF1 Antibody - BSA Free (NBP3-46016) is a polyclonal antibody validated for use in IHC, WB and ELISA. All Novus Biologicals antibodies are covered by our 100% guarantee.

Scientific Data Images for LMF1 Antibody - BSA Free

LMF1 Antibody - BSA Free

Western Blot: LMF1 Antibody - BSA Free [NBP3-46016] -

Western Blot: LMF1 Antibody - BSA Free [NBP3-46016] - SKOV-3 cells were subjected to SDS PAGE followed by western blot with (LMF1 Antibody) at dilution of 1:600
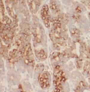
LMF1 Antibody - BSA Free

Immunohistochemistry: LMF1 Antibody - BSA Free [NBP3-46016] -

Immunohistochemistry: LMF1 Antibody - BSA Free [NBP3-46016] - Immunohistochemistry of paraffin-embedded human liver cancer tissue slide using (LMF1 Antibody) at dilution of 1:50

Applications for LMF1 Antibody - BSA Free

Application
Recommended Usage

Immunohistochemistry

1:20-1:200

Western Blot

1:500-1:2000
Application Notes
Theoretical Molecular Weight is 65-70 kDa

Formulation, Preparation, and Storage

Purification

Immunogen affinity purified

Formulation

PBS, 50% Glycerol, pH (7.3)

Format

BSA Free

Preservative

0.02% Sodium Azide

Concentration

Please see the vial label for concentration. If unlisted please contact technical services.

Shipping

The product is shipped with polar packs. Upon receipt, store it immediately at the temperature recommended below.

Stability & Storage

Store at -20C. Avoid freeze-thaw cycles.

Background: LMF1

LMF1 is involved in the maturation of specific proteins in the endoplasmic reticulum. Required for maturation andtransport of active lipoprotein lipase (LPL) through the secretory pathway

Alternate Names

chromosome 16 open reading frame 26, FLJ12681, FLJ22302, HMFN1876, JFP11, lipase maturation factor 1, TMEM112C16orf26, Transmembrane protein 112TMEM112A

Gene Symbol

LMF1

Additional LMF1 Products

Product Documents for LMF1 Antibody - BSA Free

Certificate of Analysis

To download a Certificate of Analysis, please enter a lot number in the search box below.

Product Specific Notices for LMF1 Antibody - BSA Free

This product is for research use only and is not approved for use in humans or in clinical diagnosis. Primary Antibodies are guaranteed for 1 year from date of receipt.

Loading...
Loading...
Loading...
Loading...