Skip to main content

LMAN1 Antibody - BSA Free

Novus Biologicals, part of Bio-Techne | Catalog # NBP1-84812

Novus Biologicals, part of Bio-Techne
Catalog #
Availability
Size / Price
Qty
Loading...
NBP1-84812
NBP1-84812-25ul

Key Product Details

Species Reactivity

Validated:

Human

Predicted:

Mouse (95%), Rat (91%). Backed by our 100% Guarantee.

Applications

Immunohistochemistry, Immunohistochemistry-Paraffin, Western Blot

Label

Unconjugated

Antibody Source

Polyclonal Rabbit IgG

Format

BSA Free

Concentration

Concentrations vary lot to lot. See vial label for concentration. If unlisted please contact technical services.

Product Specifications

Immunogen

This antibody was developed against Recombinant Protein corresponding to amino acids: IGNNGQIHYDHQNDGASQALASCQRDFRNKPYPVRAKITYYQNTLTVMINNGFTPDKNDYEFCAKVENMIIPAQGHFGISAATGGLADDHDVLSFLTFQLTEPGKEP

Reactivity Notes

Reactivity reported in scientific literature (PMID: 19118014)

Clonality

Polyclonal

Host

Rabbit

Isotype

IgG

Description

Novus Biologicals Rabbit LMAN1 Antibody - BSA Free (NBP1-84812) is a polyclonal antibody validated for use in IHC and WB. Anti-LMAN1 Antibody: Cited in 1 publication. All Novus Biologicals antibodies are covered by our 100% guarantee.

Scientific Data Images for LMAN1 Antibody - BSA Free

LMAN1 Antibody - BSA Free Western Blot: LMAN1 Antibody - BSA Free [NBP1-84812]

Western Blot: LMAN1 Antibody - BSA Free [NBP1-84812]

Analysis in human cell line U-87 MG.
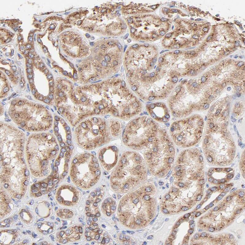
LMAN1 Antibody - BSA Free Immunohistochemistry-Paraffin: LMAN1 Antibody - BSA Free [NBP1-84812]

Immunohistochemistry-Paraffin: LMAN1 Antibody - BSA Free [NBP1-84812]

Staining of human kidney shows moderate granular cytoplasmic positivity in cells in tubules.
LMAN1 Antibody - BSA Free Immunohistochemistry-Paraffin: LMAN1 Antibody - BSA Free [NBP1-84812]

Immunohistochemistry-Paraffin: LMAN1 Antibody - BSA Free [NBP1-84812]

Staining of human pancreas shows moderate granular cytoplasmic positivity in exocrine glandular cells.

Applications for LMAN1 Antibody - BSA Free

Application
Recommended Usage

Immunohistochemistry

1:500 - 1:1000

Immunohistochemistry-Paraffin

1:500 - 1:1000

Western Blot

0.04-0.4 ug/ml
Application Notes
For IHC-Paraffin, HIER pH 6 retrieval is recommended.

Formulation, Preparation, and Storage

Purification

Immunogen affinity purified

Formulation

PBS (pH 7.2) and 40% Glycerol

Format

BSA Free

Preservative

0.02% Sodium Azide

Concentration

Concentrations vary lot to lot. See vial label for concentration. If unlisted please contact technical services.

Shipping

The product is shipped with polar packs. Upon receipt, store it immediately at the temperature recommended below.

Stability & Storage

Store at 4C short term. Aliquot and store at -20C long term. Avoid freeze-thaw cycles.

Background: LMAN1

Protein trafficking along the endoplasmic reticulum (ER) to the Golgi apparatus occurs by vesicular transport between membranous compartments. LMAN1 is a mannose-specific lectin transport receptor protein which cycles between the ER and the Golgi complex. LMAN1 is involved in intracellular transport of many glycoproteins. LMAN1 is useful in studying mechanisms underlying protein trafficking early in the secretory pathway.

Alternate Names

ERGIC-53, ERGIC53ER-Golgi intermediate compartment 53 kDa protein, F5F8Dendoplasmic reticulum-golgi intermediate compartment protein 53, FMFD1, Gp58, intracellular mannose specific lectin, Intracellular mannose-specific lectin MR60, Lectin mannose-binding 1, lectin, mannose-binding, 1, MCFD1coagulation factor V-factor VIII combined deficiency, MR60, protein ERGIC-53

Gene Symbol

LMAN1

Additional LMAN1 Products

Product Documents for LMAN1 Antibody - BSA Free

Certificate of Analysis

To download a Certificate of Analysis, please enter a lot number in the search box below.

Product Specific Notices for LMAN1 Antibody - BSA Free

This product is for research use only and is not approved for use in humans or in clinical diagnosis. Primary Antibodies are guaranteed for 1 year from date of receipt.

Loading...
Loading...
Loading...
Loading...