Skip to main content

Livin Antibody (OTI1D12) - Azide and BSA Free

Novus Biologicals, part of Bio-Techne | Catalog # NBP2-72206

Novus Biologicals, part of Bio-Techne
Catalog #
Availability
Size / Price
Qty
Loading...
NBP2-72206

Key Product Details

Species Reactivity

Human

Applications

Immunohistochemistry, Immunohistochemistry-Paraffin, Western Blot, Flow Cytometry, CyTOF-ready

Label

Unconjugated

Antibody Source

Monoclonal Mouse IgG1 Clone # OTI1D12

Format

Azide and BSA Free

Concentration

LYOPH mg/ml

Product Specifications

Immunogen

Full length human recombinant protein of human BIRC7 (NP_071444) produced in HEK293T cell.

Clonality

Monoclonal

Host

Mouse

Isotype

IgG1

Theoretical MW

32.8 kDa.
Disclaimer note: The observed molecular weight of the protein may vary from the listed predicted molecular weight due to post translational modifications, post translation cleavages, relative charges, and other experimental factors.

Description

Novus Biologicals Mouse Livin Antibody (OTI1D12) - Azide and BSA Free (NBP2-02177) is a monoclonal antibody validated for use in IHC, WB and Flow. All Novus Biologicals antibodies are covered by our 100% guarantee.

Scientific Data Images for Livin Antibody (OTI1D12) - Azide and BSA Free

Western Blot: Livin Antibody (OTI1D12)Azide and BSA Free [NBP2-72206]

Western Blot: Livin Antibody (OTI1D12)Azide and BSA Free [NBP2-72206]

Western Blot: Livin Antibody (OTI1D12) - Azide and BSA Free [NBP2-72206] - HEK293T cells were transfected with the pCMV6-ENTRY control (Left lane) or pCMV6-ENTRY Livin (Right lane) cDNA for 48 hrs and lysed. Equivalent amounts of cell lysates (5 ug per lane) were separated by SDS-PAGE and immunoblotted with anti-Livin.
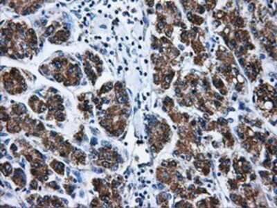
Immunohistochemistry: Livin Antibody (OTI1D12) - Azide and BSA Free [NBP2-72206]

Immunohistochemistry: Livin Antibody (OTI1D12) - Azide and BSA Free [NBP2-72206]

Immunohistochemistry: Livin Antibody (OTI1D12) - Azide and BSA Free [NBP2-72206] - Staining of paraffin-embedded Carcinoma of liver tissue using anti-Livin mouse monoclonal antibody.
Flow Cytometry: Livin Antibody (OTI1D12) - Azide and BSA Free [NBP2-72206]

Flow Cytometry: Livin Antibody (OTI1D12) - Azide and BSA Free [NBP2-72206]

Flow Cytometry: Livin Antibody (OTI1D12) - Azide and BSA Free [NBP2-72206] - Analysis of Jurkat cells, using anti-Livin antibody, (Red) compared to a nonspecific negative control antibody (Blue).

Applications for Livin Antibody (OTI1D12) - Azide and BSA Free

Application
Recommended Usage

Flow Cytometry

1:100

Immunohistochemistry

1:50

Western Blot

1:1000

Formulation, Preparation, and Storage

Purification

Immunogen affinity purified

Reconstitution

we recommend adding 100uL distilled water to a final antibody concentration of about 1 mg/mL. To use this carrier-free antibody for conjugation experiment, we strongly recommend performing another round of desalting process.

Formulation

Lyophilized from PBS (pH 7.3) with 8% Trehalose

Format

Azide and BSA Free

Preservative

No Preservative

Concentration

LYOPH mg/ml

Shipping

The product is shipped with polar packs. Upon receipt, store it immediately at the temperature recommended below.

Stability & Storage

Store at -20C. Avoid freeze-thaw cycles.

Background: Livin

Livin (BIRC7/KIAP) is a member of the family of inhibitor of apoptosis proteins (IAP) and contains a single copy of a baculovirus IAP repeat (BIR) as well as a RING-type zinc finger domain (reviewed in Ma et al 2006 and Crnkovic-Mertens et al 2006). Resistance towards apoptosis is a hallmark of cancer cells, and overexpression of IAPs can contribute to the development of cancer though inhibiting apoptosis (reviewed in Wright et al. 2005). IAP proteins inhibit apoptosis by binding to and inhibiting caspases through their BIR domain(s). Some IAP members, like Liven, also have a RING-type finger motif at their carboxyl-terminal which may enhance anti-apoptotic activity. Many RING finger-containing IAPs possess E3 ubiquitin ligase activity, and it has been shown that Liven acts an E3 ubiquitin ligase for targeting the degradation of Smac/DIABLO. Smac/DIABLO functions by inhibiting IAP-caspase interactions, thereby promoting apoptosis. Thus degradation of Smac/DIABLO is thought to be a mechanism to enhance Livin anti-apoptotic activity, thereby promoting cell survival. Two splicing variants of Livin, alpha and beta, have been identified. The two isoforms are thought to have different anti-apoptotic properties; however, there are conflicting reports are to whether they actually differ in their biological activities. There is accumulating evidence that Liven plays a significant role in a spectrum of tumor types and it is thought that Liven may have potential as a diagnostic and prognostic tumor marker. Liven is expressed at low levels in adult tissues, and relatively higher levels in developmental tissues and in many cancer cells. Certain cancer patients develop autoantibodies against liven and in a number of cancers, Liven is detected only in the tumors but not, or to substantially lower levels, in the corresponding normal adjacent tissue. This antibody recognizes Livin, both isoform alpha and isoform beta. Human Livin isoform alpha is a 298 amino acid (aa) protein, GenBank no. NP_647478. Human Livin isoform beta is a 280 aa protien, GenBank no. NP_071444.1. The antibody will also recognize other isoforms of Livin that contain the peptide immunogen sequence.

Alternate Names

BIRC7, KIAP, ML-IAP

Gene Symbol

BIRC7

Additional Livin Products

Product Documents for Livin Antibody (OTI1D12) - Azide and BSA Free

Certificate of Analysis

To download a Certificate of Analysis, please enter a lot number in the search box below.

Product Specific Notices for Livin Antibody (OTI1D12) - Azide and BSA Free

This product is for research use only and is not approved for use in humans or in clinical diagnosis. Primary Antibodies are guaranteed for 1 year from date of receipt.

Loading...
Loading...
Loading...
Loading...
Loading...
Loading...