Skip to main content

Lipoprotein Lipase/LPL Antibody (OTI3A10) - Azide and BSA Free

Novus Biologicals, part of Bio-Techne | Catalog # NBP2-71178

Novus Biologicals, part of Bio-Techne

Key Product Details

Species Reactivity

Human, Mouse, Rat

Applications

Immunohistochemistry, Immunohistochemistry-Paraffin, Western Blot, Flow Cytometry, CyTOF-ready

Label

Unconjugated

Antibody Source

Monoclonal Mouse IgG1 Clone # OTI3A10

Format

Azide and BSA Free

Concentration

LYOPH mg/ml

Product Specifications

Immunogen

Human recombinant protein fragment corresponding to amino acids 28-475 of human LPL(NP_000228) produced in HEK293T.

Reactivity Notes

Please note that this antibody is reactive to Mouse and derived from the same host, Mouse. Mouse-On-Mouse blocking reagent may be needed for IHC and ICC experiments to reduce high background signal. You can find these reagents under catalog numbers PK-2200-NB and MP-2400-NB. Please contact Technical Support if you have any questions.

Clonality

Monoclonal

Host

Mouse

Isotype

IgG1

Theoretical MW

50.3 kDa.
Disclaimer note: The observed molecular weight of the protein may vary from the listed predicted molecular weight due to post translational modifications, post translation cleavages, relative charges, and other experimental factors.

Description

Novus Biologicals Mouse Lipoprotein Lipase/LPL Antibody (OTI3A10) - Azide and BSA Free (NBP2-01395) is a monoclonal antibody validated for use in IHC, WB and Flow. All Novus Biologicals antibodies are covered by our 100% guarantee.

Scientific Data Images for Lipoprotein Lipase/LPL Antibody (OTI3A10) - Azide and BSA Free

Western Blot: Lipoprotein Lipase/LPL Antibody (OTI3A10)Azide and BSA Free [NBP2-71178]

Western Blot: Lipoprotein Lipase/LPL Antibody (OTI3A10)Azide and BSA Free [NBP2-71178]

Western Blot: Lipoprotein Lipase/LPL Antibody (OTI3A10) - Azide and BSA Free [NBP2-71178] - HEK293T cells were transfected with the pCMV6-ENTRY control (Left lane) or pCMV6-ENTRY Lipoprotein lipase (Right lane) cDNA for 48 hrs and lysed. Equivalent amounts of cell lysates (5 ug per lane) were separated by SDS-PAGE and immunoblotted with anti-Lip
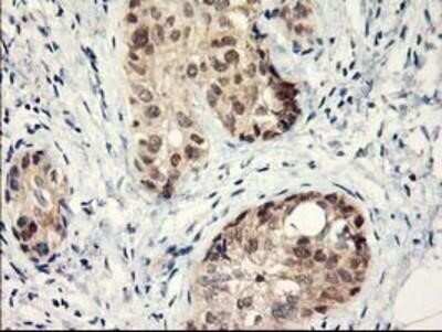
Immunohistochemistry: Lipoprotein Lipase/LPL Antibody (OTI3A10) - Azide and BSA Free [NBP2-71178]

Immunohistochemistry: Lipoprotein Lipase/LPL Antibody (OTI3A10) - Azide and BSA Free [NBP2-71178]

Immunohistochemistry: Lipoprotein Lipase/LPL Antibody (OTI3A10) - Azide and BSA Free [NBP2-71178] - Carcinoma of Human bladder tissue using anti-Lipoprotein lipase mouse monoclonal antibody.
Flow Cytometry: Lipoprotein Lipase/LPL Antibody (OTI3A10) - Azide and BSA Free [NBP2-71178]

Flow Cytometry: Lipoprotein Lipase/LPL Antibody (OTI3A10) - Azide and BSA Free [NBP2-71178]

Flow Cytometry: Lipoprotein Lipase/LPL Antibody (OTI3A10) - Azide and BSA Free [NBP2-71178] - HEK293T cells transfected with either overexpression plasmid (Red) or empty vector control plasmid (Blue) were immunostaining by anti-Lipoprotein lipase antibody, and then analyzed by flow cytometry.

Applications for Lipoprotein Lipase/LPL Antibody (OTI3A10) - Azide and BSA Free

Application
Recommended Usage

Flow Cytometry

1:100

Immunohistochemistry

1:150

Immunohistochemistry-Paraffin

1:150

Western Blot

1:500

Formulation, Preparation, and Storage

Purification

Immunogen affinity purified

Reconstitution

we recommend adding 100uL distilled water to a final antibody concentration of about 1 mg/mL. To use this carrier-free antibody for conjugation experiment, we strongly recommend performing another round of desalting process.

Formulation

Lyophilized from PBS (pH 7.3) with 8% Trehalose

Format

Azide and BSA Free

Preservative

No Preservative

Concentration

LYOPH mg/ml

Shipping

The product is shipped with polar packs. Upon receipt, store it immediately at the temperature recommended below.

Stability & Storage

Store at -20C. Avoid freeze-thaw cycles.

Background: Lipoprotein Lipase/LPL

LPL, also known as Lipoprotein lipase, is a 475 amino acid that is 53 kDa, is a vascular lipase, but not synthesized in endothelial cells. It is anchored to the capillary endothelium by proteoglycans and acts as a catalyzer of triglycerides hydrolysis to release free fatty acids into the circulation and initiates the processing of triglyceride-rich lipoproteins such as chylomicrons and VLDL. It is being studied for its involvement in 150+ diseases and disorders including high density lipoprotein cholesterol level qtl 11, hyperlipoproteinemia, lipoprotein lipase deficiency, familial lipoprotein lipase deficiency, hyperlipoproteinemia type v, lipase deficiency combined, hyperlipoproteinemia type iii, glycogen storage disease, hyperlipidemia, hypertriglyceridemia, glucose intolerance, cetp deficiency, hypertension, fatty liver, nephrotic syndrome, kidney failure, and myocardial infarction. This protein has been shown to interact with 50 proteins including COPS6, PTPN4, RPL18A, ASCC2, KIAA1377 in developmental biology, transcriptional regulation of white adipocyte differentiation, lipid digestion, mobilization, and transport, metabolism, lipoprotein metabolism, glycerolipid metabolism, PPAR signaling pathway, and Alzheimer's disease pathways.

Alternate Names

LIPD, LPL

Gene Symbol

LPL

Additional Lipoprotein Lipase/LPL Products

Product Documents for Lipoprotein Lipase/LPL Antibody (OTI3A10) - Azide and BSA Free

Certificate of Analysis

To download a Certificate of Analysis, please enter a lot number in the search box below.

Product Specific Notices for Lipoprotein Lipase/LPL Antibody (OTI3A10) - Azide and BSA Free

This product is for research use only and is not approved for use in humans or in clinical diagnosis. Primary Antibodies are guaranteed for 1 year from date of receipt.

Loading...
Loading...
Loading...
Loading...
Loading...
Loading...