Skip to main content

Lipin 1 Antibody (OTI5B5)

Novus Biologicals, part of Bio-Techne | Catalog # NBP2-45671

Novus Biologicals, part of Bio-Techne
Catalog #
Availability
Size / Price
Qty
Loading...
NBP2-45671

Key Product Details

Species Reactivity

Human, Mouse, Rat

Applications

Immunohistochemistry, Immunohistochemistry-Paraffin, Western Blot

Label

Unconjugated

Antibody Source

Monoclonal Mouse IgG1 Clone # OTI5B5

Concentration

1 mg/ml

Product Specifications

Immunogen

Human recombinant protein fragment corresponding to amino acids 1-274 of human LPIN1(NP_663731) produced in E.coli.

Reactivity Notes

Please note that this antibody is reactive to Mouse and derived from the same host, Mouse. Mouse-On-Mouse blocking reagent may be needed for IHC and ICC experiments to reduce high background signal. You can find these reagents under catalog numbers PK-2200-NB and MP-2400-NB. Please contact Technical Support if you have any questions.

Clonality

Monoclonal

Host

Mouse

Isotype

IgG1

Description

Novus Biologicals Mouse Lipin 1 Antibody (OTI5B5) (NBP2-45671) is a monoclonal antibody validated for use in IHC and WB. All Novus Biologicals antibodies are covered by our 100% guarantee.

Scientific Data Images for Lipin 1 Antibody (OTI5B5)

Western Blot: Lipin 1 Antibody (OTI5B5) [NBP2-45671]

Western Blot: Lipin 1 Antibody (OTI5B5) [NBP2-45671]

Western Blot: Lipin 1 Antibody (5B5) [NBP2-45671] - Analysis of HEK293T cells were transfected with the pCMV6-ENTRY control (Left lane) or pCMV6-ENTRY Lipin 1.
Immunohistochemistry: Lipin 1 Antibody (OTI5B5) [NBP2-45671]

Immunohistochemistry: Lipin 1 Antibody (OTI5B5) [NBP2-45671]

Immunohistochemistry: Lipin 1 Antibody (5B5) [NBP2-45671] - Analysis of Human lung tissue. (Heat-induced epitope retrieval by Tris-EDTA, pH8.0)
Immunohistochemistry: Lipin 1 Antibody (OTI5B5) [NBP2-45671]

Immunohistochemistry: Lipin 1 Antibody (OTI5B5) [NBP2-45671]

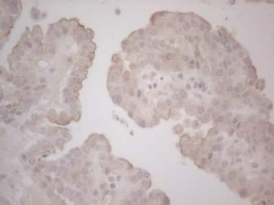
Immunohistochemistry: Lipin 1 Antibody (5B5) [NBP2-45671] - Analysis of Carcinoma of Human lung tissue.(Heat-induced epitope retrieval by Tris-EDTA, pH8.0)

Applications for Lipin 1 Antibody (OTI5B5)

Application
Recommended Usage

Immunohistochemistry

1:150

Western Blot

1:2000

Formulation, Preparation, and Storage

Purification

Immunogen affinity purified

Formulation

PBS (pH 7.3), 1.0% BSA and 50% Glycerol

Preservative

0.02% Sodium Azide

Concentration

1 mg/ml

Shipping

The product is shipped with polar packs. Upon receipt, store it immediately at the temperature recommended below.

Stability & Storage

Store at -20C. Avoid freeze-thaw cycles.

Background: Lipin 1

LPIN1 (Lipin-1) is crucial for normal adipose tissue development and metabolism. LPIN1 selectively activates a subset of PGC-225; target pathways, including fatty acid oxidation and mitochondrial oxidative phosphorylation by inducing expression of the nuclear receptor PPAR 225. LPIN1 also inactivates the lipogenic program and suppresses circulating lipid levels. An abundance of LPIN1 promotes fat accumulation and insulin sensitivity. A deficiency in LPIN1 may deter normal adipose tissue development, resulting in insulin resistance and lipodystrophy, a heterogeneous group of disorders characterized by loss of body fat, fatty liver, hypertriglyceridemia and insulin resistance.

Long Name

Phosphatidate Phosphatase LPIN1

Alternate Names

LPIN1

Gene Symbol

LPIN1

Additional Lipin 1 Products

Product Documents for Lipin 1 Antibody (OTI5B5)

Certificate of Analysis

To download a Certificate of Analysis, please enter a lot number in the search box below.

Product Specific Notices for Lipin 1 Antibody (OTI5B5)

This product is for research use only and is not approved for use in humans or in clinical diagnosis. Primary Antibodies are guaranteed for 1 year from date of receipt.

Loading...
Loading...
Loading...
Loading...