Skip to main content

LIN7C Antibody - BSA Free

Novus Biologicals, part of Bio-Techne | Catalog # NBP2-14193

Novus Biologicals, part of Bio-Techne
Catalog #
Availability
Size / Price
Qty
Loading...
NBP2-14193
NBP2-14193-25ul

Key Product Details

Species Reactivity

Validated:

Human

Predicted:

Mouse (100%), Rat (100%). Backed by our 100% Guarantee.

Applications

Immunohistochemistry, Immunohistochemistry-Paraffin

Label

Unconjugated

Antibody Source

Polyclonal Rabbit IgG

Format

BSA Free

Concentration

Concentrations vary lot to lot. See vial label for concentration. If unlisted please contact technical services.

Product Specifications

Immunogen

This antibody was developed against Recombinant Protein corresponding to amino acids: NAVREVYEHVYETVDISSSPEVRAN

Clonality

Polyclonal

Host

Rabbit

Isotype

IgG

Description

Novus Biologicals Rabbit LIN7C Antibody - BSA Free (NBP2-14193) is a polyclonal antibody validated for use in IHC. All Novus Biologicals antibodies are covered by our 100% guarantee.

Scientific Data Images for LIN7C Antibody - BSA Free

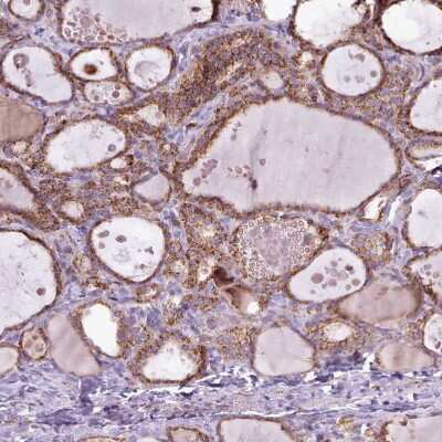
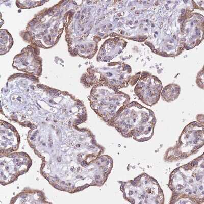
Immunohistochemistry-Paraffin: LIN7C Antibody [NBP2-14193]

Immunohistochemistry-Paraffin: LIN7C Antibody [NBP2-14193]

Immunohistochemistry-Paraffin: LIN7C Antibody [NBP2-14193] - Staining of human tonsil shows moderate granular cytoplasmic positivity in germinal center cells.
Immunohistochemistry-Paraffin: LIN7C Antibody [NBP2-14193]

Immunohistochemistry-Paraffin: LIN7C Antibody [NBP2-14193]

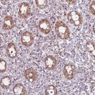
Immunohistochemistry-Paraffin: LIN7C Antibody [NBP2-14193] - Staining of human kidney shows strong cytoplasmic positivity in cells in tubules.
Immunohistochemistry-Paraffin: LIN7C Antibody [NBP2-14193]

Immunohistochemistry-Paraffin: LIN7C Antibody [NBP2-14193]

Immunohistochemistry-Paraffin: LIN7C Antibody [NBP2-14193] - Staining of human kidney shows strong granular cytoplasmic positivity in cells in tubules.

Applications for LIN7C Antibody - BSA Free

Application
Recommended Usage

Immunohistochemistry

1:20 - 1:50

Immunohistochemistry-Paraffin

1:10-1:20
Application Notes
For IHC-Paraffin, HIER pH 6 retrieval is recommended.

Formulation, Preparation, and Storage

Purification

Affinity purified

Formulation

PBS (pH 7.2) and 40% Glycerol

Format

BSA Free

Preservative

0.02% Sodium Azide

Concentration

Concentrations vary lot to lot. See vial label for concentration. If unlisted please contact technical services.

Shipping

The product is shipped with polar packs. Upon receipt, store it immediately at the temperature recommended below.

Stability & Storage

Store at 4C short term. Aliquot and store at -20C long term. Avoid freeze-thaw cycles.

Background: LIN7C

LIN7C plays a role in establishing and maintaining the asymmetric distribution of channels and receptors at the plasma membrane of polarized cells. Forms membrane-associated multiprotein complexes that may regulate delivery and recycling of proteins to the corr

Alternate Names

FLJ11215, lin-7 homolog C (C. elegans), LIN-7C, LIN-7-C, MALS-3LIN-7 protein 3, MALS3protein lin-7 homolog C, Mammalian lin-seven protein 3, veli-3, VELI3Lin7c, Vertebrate lin-7 homolog 3

Gene Symbol

LIN7C

Additional LIN7C Products

Product Documents for LIN7C Antibody - BSA Free

Certificate of Analysis

To download a Certificate of Analysis, please enter a lot number in the search box below.

Product Specific Notices for LIN7C Antibody - BSA Free

This product is for research use only and is not approved for use in humans or in clinical diagnosis. Primary Antibodies are guaranteed for 1 year from date of receipt.

Loading...
Loading...
Loading...
Loading...