Skip to main content

LIMCH1 Antibody - BSA Free

Novus Biologicals, part of Bio-Techne | Catalog # NBP2-97832

Novus Biologicals, part of Bio-Techne

Key Product Details

Species Reactivity

Human

Applications

Immunohistochemistry-Paraffin, Western Blot

Label

Unconjugated

Antibody Source

Polyclonal Rabbit IgG

Format

BSA Free

Concentration

Please see the vial label for concentration. If unlisted please contact technical services.

Product Specifications

Immunogen

Produced in rabbits immunized with E. coli-derived Human LIMCH1 fragment.

Clonality

Polyclonal

Host

Rabbit

Isotype

IgG

Description

This antibody can be stored at 2C to 8C for one month without detectable loss of activity. Antibody products are stable for twelve months from date of receipt when stored at -20C to -80C. Avoid repeated freeze-thaw cycles.

Scientific Data Images for LIMCH1 Antibody - BSA Free

Western Blot: LIMCH1 Antibody [NBP2-97832]

Western Blot: LIMCH1 Antibody [NBP2-97832]

Western Blot: LIMCH1 Antibody [NBP2-97832] - Anti-LIMCH1 rabbit polyclonal antibody at 1:500 dilution. Lane A: H1299 Whole Cell Lysate Lysates/proteins at 30 ug per lane. Secondary Goat Anti-Rabbit IgG (H+L)/HRP at 1/10000 dilution. Developed using the ECL technique. Performed under reducing conditions. Predicted band size: 119 kDa
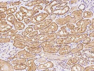
Immunohistochemistry-Paraffin: LIMCH1 Antibody [NBP2-97832]

Immunohistochemistry-Paraffin: LIMCH1 Antibody [NBP2-97832]

Immunohistochemistry-Paraffin: LIMCH1 Antibody [NBP2-97832] - Immunochemical staining of human LIMCH1 in human kidney with rabbit polyclonal antibody at 1:500 dilution, formalin-fixed paraffin embedded sections.

Applications for LIMCH1 Antibody - BSA Free

Application
Recommended Usage

Immunohistochemistry-Paraffin

1:250-1:1000

Western Blot

1:500-1:1000

Formulation, Preparation, and Storage

Purification

Antigen and protein A Affinity-purified

Formulation

PBS

Format

BSA Free

Preservative

0.03% Proclin 300

Concentration

Please see the vial label for concentration. If unlisted please contact technical services.

Shipping

The product is shipped with polar packs. Upon receipt, store it immediately at the temperature recommended below.

Stability & Storage

Store at 4C short term. Aliquot and store at -20C long term. Avoid freeze-thaw cycles.

Background: LIMCH1

Alternate Names

DKFZp434I0312, DKFZP686A01247, DKFZp686B2470, DKFZp686G18243, DKFZp686G2094, DKFZp781C1754, DKFZp781I1455, KIAA1102, LIM and calponin homology domains 1, LIM and calponin homology domains-containing protein 1, LIMCH1A, LMO7B, MGC72127

Gene Symbol

LIMCH1

Additional LIMCH1 Products

Product Documents for LIMCH1 Antibody - BSA Free

Certificate of Analysis

To download a Certificate of Analysis, please enter a lot number in the search box below.

Product Specific Notices for LIMCH1 Antibody - BSA Free

This product is for research use only and is not approved for use in humans or in clinical diagnosis. Primary Antibodies are guaranteed for 1 year from date of receipt.

Loading...
Loading...
Loading...
Loading...