Skip to main content

LIM1 Antibody

Novus Biologicals, part of Bio-Techne | Catalog # NBP3-12886

Novus Biologicals, part of Bio-Techne
Catalog #
Availability
Size / Price
Qty
Loading...
NBP3-12886

Key Product Details

Species Reactivity

Validated:

Human, Mouse, Rat

Predicted:

Bovine (99%), Chimpanzee (100%). Backed by our 100% Guarantee.

Applications

Immunohistochemistry, Immunohistochemistry-Paraffin, Immunohistochemistry-Frozen, Western Blot, Immunocytochemistry/ Immunofluorescence

Label

Unconjugated

Antibody Source

Polyclonal Rabbit IgG

Concentration

Concentrations vary lot to lot. See vial label for concentration. If unlisted please contact technical services.

Product Specifications

Immunogen

Recombinant protein encompassing a sequence within the center region of human LIM1. The exact sequence is proprietary.

Reactivity Notes

Xenopus laevis (88%), Chicken (84%)

Clonality

Polyclonal

Host

Rabbit

Isotype

IgG

Description

Centrifuge briefly prior to opening.

Scientific Data Images for LIM1 Antibody

Western Blot: LIM1 Antibody [NBP3-12886]

Western Blot: LIM1 Antibody [NBP3-12886]

Western Blot: LIM1 Antibody [NBP3-12886] - Various tissue extracts (50 ug) were separated by 12% SDS-PAGE, and the membrane was blotted with LIM1 antibody (NBP3-12886) diluted at 1:1000. The HRP-conjugated anti-rabbit IgG antibody (NBP2-19301) was used to detect the primary antibody.
Immunohistochemistry-Paraffin: LIM1 Antibody [NBP3-12886]

Immunohistochemistry-Paraffin: LIM1 Antibody [NBP3-12886]

Immunohistochemistry-Paraffin: LIM1 Antibody [NBP3-12886] - LIM1 antibody detects LIM1 protein at nucleus on mouse hind brain by immunohistochemical analysis. Sample: Paraffin-embedded mouse hind brain. LIM1 antibody (NBP3-12886) dilution: 1:500. Antigen Retrieval: Trilogy(TM) (EDTA based, pH 8.0) buffer, 15min
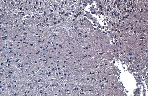
Immunohistochemistry-Frozen: LIM1 Antibody [NBP3-12886]

Immunohistochemistry-Frozen: LIM1 Antibody [NBP3-12886]

Immunohistochemistry-Frozen: LIM1 Antibody [NBP3-12886] - LIM1 antibody detects LIM1 protein by immunohistochemical analysis. Sample: Frozen sectioned adult mouse retina. Green: LIM1 protein stained by LIM1 antibody (NBP3-12886) diluted at 1:250. Red: Protein kinase C alpha staining. Blue: Fluoroshield with DAPI.

Applications for LIM1 Antibody

Application
Recommended Usage

Immunocytochemistry/ Immunofluorescence

Optimal dilutions of this antibody should be experimentally determined.

Immunohistochemistry

Optimal dilutions of this antibody should be experimentally determined.

Immunohistochemistry-Frozen

Optimal dilutions of this antibody should be experimentally determined.

Immunohistochemistry-Paraffin

Optimal dilutions of this antibody should be experimentally determined.

Western Blot

Optimal dilutions of this antibody should be experimentally determined.

Formulation, Preparation, and Storage

Purification

Antigen Affinity-purified

Formulation

PBS, 20% Glycerol

Preservative

0.025% Proclin 300

Concentration

Concentrations vary lot to lot. See vial label for concentration. If unlisted please contact technical services.

Shipping

The product is shipped with polar packs. Upon receipt, store it immediately at the temperature recommended below.

Stability & Storage

Store at 4C short term. Aliquot and store at -20C long term. Avoid freeze-thaw cycles.

Background: LIM1

The LIM1 gene encodes a member of a large protein family which contains the LIM domain, a unique cysteine-rich zinc-binding domain. The encoded protein may function as a transcriptional regulator and be involved in control of differentiation and development o

Long Name

LIM Homeobox 1

Alternate Names

LHX1

Gene Symbol

LHX1

Additional LIM1 Products

Product Documents for LIM1 Antibody

Certificate of Analysis

To download a Certificate of Analysis, please enter a lot number in the search box below.

Product Specific Notices for LIM1 Antibody

This product is for research use only and is not approved for use in humans or in clinical diagnosis. Primary Antibodies are guaranteed for 1 year from date of receipt.

Loading...
Loading...
Loading...
Loading...