Skip to main content

LIM1 Antibody (OTI2D5)

Novus Biologicals, part of Bio-Techne | Catalog # NBP2-01926

Novus Biologicals, part of Bio-Techne

Key Product Details

Species Reactivity

Validated:

Human, Mouse, Rat

Cited:

Human

Applications

Validated:

Immunohistochemistry, Immunohistochemistry-Paraffin, Western Blot, Flow Cytometry, Immunocytochemistry/ Immunofluorescence

Cited:

Immunocytochemistry/ Immunofluorescence

Label

Unconjugated

Antibody Source

Monoclonal Mouse IgG1 Clone # OTI2D5

Concentration

0.75 mg/ml

Product Specifications

Immunogen

Human recombinant protein fragment corresponding to amino acids 100-362 of human LHX1(NP_005559) produced in HEK293T cell.

Reactivity Notes

Please note that this antibody is reactive to Mouse and derived from the same host, Mouse. Mouse-On-Mouse blocking reagent may be needed for IHC and ICC experiments to reduce high background signal. You can find these reagents under catalog numbers PK-2200-NB and MP-2400-NB. Please contact Technical Support if you have any questions.

Clonality

Monoclonal

Host

Mouse

Isotype

IgG1

Theoretical MW

44.6 kDa.
Disclaimer note: The observed molecular weight of the protein may vary from the listed predicted molecular weight due to post translational modifications, post translation cleavages, relative charges, and other experimental factors.

Description

Novus Biologicals Mouse LIM1 Antibody (OTI2D5) (NBP2-01926) is a monoclonal antibody validated for use in IHC, WB, Flow and ICC/IF. Anti-LIM1 Antibody: Cited in 4 publications. All Novus Biologicals antibodies are covered by our 100% guarantee.

Scientific Data Images for LIM1 Antibody (OTI2D5)

Western Blot: LIM1 Antibody (OTI2D5) [NBP2-01926]

Western Blot: LIM1 Antibody (OTI2D5) [NBP2-01926]

Western Blot: LIM1 Antibody (OTI2D5) [NBP2-01926] - HEK293T cells were transfected with the pCMV6-ENTRY control (Left lane) or pCMV6-ENTRY LIM1 (Right lane) cDNA for 48 hrs and lysed. Equivalent amounts of cell lysates (5 ug per lane) were separated by SDS-PAGE and immunoblotted with anti-LIM1.
Immunocytochemistry/ Immunofluorescence: LIM1 Antibody (OTI2D5) [NBP2-01926]

Immunocytochemistry/ Immunofluorescence: LIM1 Antibody (OTI2D5) [NBP2-01926]

Immunocytochemistry/Immunofluorescence: LIM1 Antibody (OTI2D5) [NBP2-01926] - Staining of COS7 cells transiently transfected by pCMV6-ENTRY LIM1.
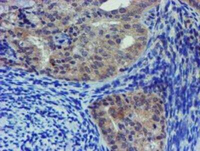
Immunohistochemistry-Paraffin: LIM1 Antibody (OTI2D5) [NBP2-01926]

Immunohistochemistry-Paraffin: LIM1 Antibody (OTI2D5) [NBP2-01926]

Immunohistochemistry-Paraffin: LIM1 Antibody (OTI2D5) [NBP2-01926] - Staining of paraffin-embedded Human prostate tissue using anti-LIM1 mouse monoclonal antibody.

Applications for LIM1 Antibody (OTI2D5)

Application
Recommended Usage

Flow Cytometry

1:100

Immunocytochemistry/ Immunofluorescence

1:100

Immunohistochemistry

1:150

Immunohistochemistry-Paraffin

1:150

Western Blot

1:500-1000

Formulation, Preparation, and Storage

Purification

Immunogen affinity purified

Formulation

PBS (pH 7.3), 1.0% BSA and 50% Glycerol

Preservative

0.02% Sodium Azide

Concentration

0.75 mg/ml

Shipping

The product is shipped with polar packs. Upon receipt, store it immediately at the temperature recommended below.

Stability & Storage

Store at -20C. Avoid freeze-thaw cycles.

Background: LIM1

This gene encodes a member of a large protein family which contains the LIM domain, a unique cysteine-rich zinc-binding domain. The encoded protein is a transcription factor important for the development of the renal and urogenital systems. This gene is a candidate for Mayer-Rokitansky-Kuster-Hauser syndrome, a disorder characterized by anomalies in the female genital tract. [provided by RefSeq].

Long Name

LIM Homeobox 1

Alternate Names

LHX1

Entrez Gene IDs

3975 (Human)

Gene Symbol

LHX1

Additional LIM1 Products

Product Documents for LIM1 Antibody (OTI2D5)

Certificate of Analysis

To download a Certificate of Analysis, please enter a lot number in the search box below.

Product Specific Notices for LIM1 Antibody (OTI2D5)

This product is for research use only and is not approved for use in humans or in clinical diagnosis. Primary Antibodies are guaranteed for 1 year from date of receipt.

Loading...
Loading...
Loading...
Loading...
Loading...