Skip to main content

LIM Kinase 1 [p Thr508] Antibody

Novus Biologicals, part of Bio-Techne | Catalog # NB100-82021

Novus Biologicals, part of Bio-Techne
Catalog #
Availability
Size / Price
Qty
Loading...
NB100-82021-0.025ml
NB100-82021

Key Product Details

Species Reactivity

Validated:

Human, Mouse, Rat

Cited:

Mouse

Applications

Validated:

Immunohistochemistry, Immunohistochemistry-Paraffin, Western Blot

Cited:

Western Blot

Label

Unconjugated

Antibody Source

Polyclonal Rabbit IgG

Concentration

1.0 mg/ml

Product Specifications

Immunogen

The antiserum was produced against synthesized phosphopeptide derived from human LIM Kinase 1 around the phosphorylation site of threonine 508 (R-Y-TP-V-V).

Reactivity Notes

Mouse reactivity reported in scientific literature (PMID: 25721396)

Modification

p Thr508

Specificity

Detects endogenous levels of LIM Kinase 1 only when phosphorylated at threonine 508.

Clonality

Polyclonal

Host

Rabbit

Isotype

IgG

Theoretical MW

72 kDa.
Disclaimer note: The observed molecular weight of the protein may vary from the listed predicted molecular weight due to post translational modifications, post translation cleavages, relative charges, and other experimental factors.

Description

Novus Biologicals Rabbit LIM Kinase 1 [p Thr508] Antibody (NB100-82021) is a polyclonal antibody validated for use in IHC and WB. Anti-LIM Kinase 1 Antibody: Cited in 1 publication. All Novus Biologicals antibodies are covered by our 100% guarantee.

Scientific Data Images for LIM Kinase 1 [p Thr508] Antibody

LIM Kinase 1 [p Thr508] Antibody

Western Blot: LIM Kinase 1 [p Thr508] Antibody [NB100-82021] -

Western Blot: LIM Kinase 1 [p Thr508] Antibody [NB100-82021] - Western blot analysis of lysates from COLO205 cells, using NB100-82021. The lane on the right is blocked with the phospho peptide.
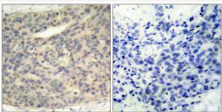
LIM Kinase 1 [p Thr508] Antibody

Immunohistochemistry-Paraffin: LIM Kinase 1 [p Thr508] Antibody [NB100-82021] -

Immunohistochemistry-Paraffin: LIM Kinase 1 [p Thr508] Antibody [NB100-82021] - Immunohistochemical analysis of paraffin- embedded human breast carcinoma tissue, using NB100-82021(left). The picture on the right is blocked with the phospho-peptide.
LIM Kinase 1 [p Thr508] Antibody

Western Blot: LIM Kinase 1 [p Thr508] Antibody [NB100-82021] -

Western Blot: LIM Kinase 1 [p Thr508] Antibody [NB100-82021] - Western Blot analysis of HEPG2 using NB100-82021. Antibody was diluted at 1:1000

Applications for LIM Kinase 1 [p Thr508] Antibody

Application
Recommended Usage

Immunohistochemistry

1:100-1:300

Immunohistochemistry-Paraffin

1:50-1:100

Western Blot

1:500-1:2000

Formulation, Preparation, and Storage

Purification

Immunogen affinity purified

Formulation

PBS, 50% glycerol, 0.5% BSA

Preservative

0.02% Sodium Azide

Concentration

1.0 mg/ml

Shipping

The product is shipped with polar packs. Upon receipt, store it immediately at the temperature recommended below.

Stability & Storage

Store at 4C short term. Aliquot and store at -20C long term. Avoid freeze-thaw cycles.

Background: LIM Kinase 1

There are approximately 40 known eukaryotic LIM proteins, so named for the LIM domains they contain. LIM domains are highly conserved cysteine rich structures containing 2 zinc fingers. Although zinc fingers usually function by binding to DNA or RNA, the LIM motif probably mediates protein-protein interactions. LIM kinase 1 and LIM kinase 2 belong to a small subfamily with a unique combination of 2 N terminal LIM motifs and a C-terminal protein kinase domain. LIMK1 is likely to be a component of an intracellular signaling pathway and may be involved in brain development. LIMK1 hemizygosity is implicated in the impaired visuospatial constructive cognition of Williams syndrome. Two splice variant have been identified.

Long Name

LIM domain kinase 1

Alternate Names

LIMK, LIMK-1, LIMK1

Entrez Gene IDs

3984 (Human)

Gene Symbol

LIMK1

UniProt

Additional LIM Kinase 1 Products

Product Documents for LIM Kinase 1 [p Thr508] Antibody

Certificate of Analysis

To download a Certificate of Analysis, please enter a lot number in the search box below.

Product Specific Notices for LIM Kinase 1 [p Thr508] Antibody

This product is for research use only and is not approved for use in humans or in clinical diagnosis. Primary Antibodies are guaranteed for 1 year from date of receipt.

Loading...
Loading...
Loading...
Loading...