Skip to main content

LIM Kinase 1 Antibody (OTI3H6) - Azide and BSA Free

Novus Biologicals, part of Bio-Techne | Catalog # NBP2-71141

Novus Biologicals, part of Bio-Techne

Key Product Details

Species Reactivity

Human, Mouse, Rat, Monkey

Applications

Immunohistochemistry, Immunohistochemistry-Paraffin, Western Blot, Flow Cytometry, Immunocytochemistry/ Immunofluorescence, CyTOF-ready

Label

Unconjugated

Antibody Source

Monoclonal Mouse IgG2B Clone # OTI3H6

Format

Azide and BSA Free

Concentration

LYOPH mg/ml

Product Specifications

Immunogen

Full length human recombinant protein of human LIMK1(NP_002305) produced in HEK293T cell.

Reactivity Notes

Please note that this antibody is reactive to Mouse and derived from the same host, Mouse. Mouse-On-Mouse blocking reagent may be needed for IHC and ICC experiments to reduce high background signal. You can find these reagents under catalog numbers PK-2200-NB and MP-2400-NB. Please contact Technical Support if you have any questions.

Clonality

Monoclonal

Host

Mouse

Isotype

IgG2B

Theoretical MW

72.4 kDa.
Disclaimer note: The observed molecular weight of the protein may vary from the listed predicted molecular weight due to post translational modifications, post translation cleavages, relative charges, and other experimental factors.

Description

Novus Biologicals Mouse LIM Kinase 1 Antibody (OTI3H6) - Azide and BSA Free (NBP2-00748) is a monoclonal antibody validated for use in IHC, WB, Flow and ICC/IF. All Novus Biologicals antibodies are covered by our 100% guarantee.

Scientific Data Images for LIM Kinase 1 Antibody (OTI3H6) - Azide and BSA Free

Western Blot: LIM Kinase 1 Antibody (OTI3H6)Azide and BSA Free [NBP2-71141]

Western Blot: LIM Kinase 1 Antibody (OTI3H6)Azide and BSA Free [NBP2-71141]

Western Blot: LIM Kinase 1 Antibody (OTI3H6) - Azide and BSA Free [NBP2-71141] - HEK293T cells were transfected with the pCMV6-ENTRY control (Left lane) or pCMV6-ENTRY LIM Kinase 1 (Right lane) cDNA for 48 hrs and lysed. Equivalent amounts of cell lysates (5 ug per lane) were separated by SDS-PAGE and immunoblotted with anti-LIM Kinas
Immunocytochemistry/ Immunofluorescence: LIM Kinase 1 Antibody (OTI3H6) - Azide and BSA Free [NBP2-71141]

Immunocytochemistry/ Immunofluorescence: LIM Kinase 1 Antibody (OTI3H6) - Azide and BSA Free [NBP2-71141]

Immunocytochemistry/Immunofluorescence: LIM Kinase 1 Antibody (OTI3H6) - Azide and BSA Free [NBP2-71141] - Staining of COS7 cells transiently transfected by pCMV6-ENTRY LIM Kinase 1.
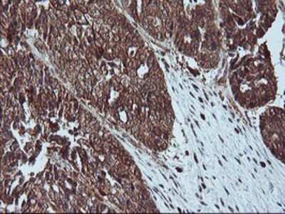
Immunohistochemistry: LIM Kinase 1 Antibody (OTI3H6) - Azide and BSA Free [NBP2-71141]

Immunohistochemistry: LIM Kinase 1 Antibody (OTI3H6) - Azide and BSA Free [NBP2-71141]

Immunohistochemistry: LIM Kinase 1 Antibody (OTI3H6) - Azide and BSA Free [NBP2-71141] - Staining of paraffin-embedded Adenocarcinoma of Human endometrium tissue using anti-LIM Kinase 1 mouse monoclonal antibody.

Applications for LIM Kinase 1 Antibody (OTI3H6) - Azide and BSA Free

Application
Recommended Usage

Flow Cytometry

1:100

Immunocytochemistry/ Immunofluorescence

1:100

Immunohistochemistry

1:150

Western Blot

1:500-2000

Formulation, Preparation, and Storage

Purification

Immunogen affinity purified

Reconstitution

we recommend adding 100uL distilled water to a final antibody concentration of about 1 mg/mL. To use this carrier-free antibody for conjugation experiment, we strongly recommend performing another round of desalting process.

Formulation

Lyophilized from PBS (pH 7.3) with 8% Trehalose

Format

Azide and BSA Free

Preservative

No Preservative

Concentration

LYOPH mg/ml

Shipping

The product is shipped with polar packs. Upon receipt, store it immediately at the temperature recommended below.

Stability & Storage

Store at -20C. Avoid freeze-thaw cycles.

Background: LIM Kinase 1

There are approximately 40 known eukaryotic LIM proteins, so named for the LIM domains they contain. LIM domains are highly conserved cysteine-rich structures containing 2 zinc fingers. Although zinc fingers usually function by binding to DNA or RNA, the LIM motif probably mediates protein-protein interactions. LIM kinase-1 and LIM kinase-2 belong to a small subfamily with a unique combination of 2 N-terminal LIM motifs and a C-terminal protein kinase domain. LIMK1 is likely to be a component of an intracellular signaling pathway and may be involved in brain development. LIMK1 hemizygosity is implicated in the impaired visuospatial constructive cognition of Williams syndrome.

Long Name

LIM domain kinase 1

Alternate Names

LIMK, LIMK-1, LIMK1

Gene Symbol

LIMK1

Additional LIM Kinase 1 Products

Product Documents for LIM Kinase 1 Antibody (OTI3H6) - Azide and BSA Free

Certificate of Analysis

To download a Certificate of Analysis, please enter a lot number in the search box below.

Product Specific Notices for LIM Kinase 1 Antibody (OTI3H6) - Azide and BSA Free

This product is for research use only and is not approved for use in humans or in clinical diagnosis. Primary Antibodies are guaranteed for 1 year from date of receipt.

Loading...
Loading...
Loading...
Loading...
Loading...
Loading...