Skip to main content

LETMD1 Antibody - BSA Free

Novus Biologicals, part of Bio-Techne | Catalog # NBP3-04759

Novus Biologicals, part of Bio-Techne
Catalog #
Availability
Size / Price
Qty
Loading...
NBP3-04759-100ul
NBP3-04759-20ul

Key Product Details

Species Reactivity

Human, Mouse, Rat

Applications

Immunohistochemistry, Immunohistochemistry-Paraffin, Western Blot, Immunocytochemistry/ Immunofluorescence

Label

Unconjugated

Antibody Source

Polyclonal Rabbit IgG

Format

BSA Free

Concentration

Please see the vial label for concentration. If unlisted please contact technical services.

Product Specifications

Immunogen

Recombinant fusion protein containing a sequence corresponding to amino acids 161-360 of human LETMD1 (NP_056231.3). FPRQLLIRHFWTPKQQTDFLDIYHAFRKQSHPEIISYLEKVIPLISDAGLRWRLTDLCTKIQRGTHPAIHDILALRECFSNHPLGMNQLQALHVKALSRAMLLTSYLPPPLLRHRLKTHTTVIHQLDKALAKLGIGQLTAQEVKSACYLRGLNSTHIGEDRCRTWLGEWLQISCSLKEAELSLLLHNVVLLSTNYLGTRR

Clonality

Polyclonal

Host

Rabbit

Isotype

IgG

Description

Novus Biologicals Rabbit LETMD1 Antibody - BSA Free (NBP3-04759) is a polyclonal antibody validated for use in IHC, WB and ICC/IF. All Novus Biologicals antibodies are covered by our 100% guarantee.

Scientific Data Images for LETMD1 Antibody - BSA Free

Western Blot: LETMD1 AntibodyBSA Free [NBP3-04759]

Western Blot: LETMD1 AntibodyBSA Free [NBP3-04759]

Western Blot: LETMD1 Antibody [NBP3-04759] - Analysis of extracts of various cell lines, using LETMD1 antibody at 1:1000 dilution. Secondary antibody: HRP Goat Anti-Rabbit IgG (H+L) at 1:10000 dilution. Lysates/proteins: 25ug per lane. Blocking buffer: 3% nonfat dry milk in TBST. Detection: ECL Basic Kit
Immunohistochemistry-Paraffin: LETMD1 Antibody - BSA Free [NBP3-04759]

Immunohistochemistry-Paraffin: LETMD1 Antibody - BSA Free [NBP3-04759]

Immunohistochemistry-Paraffin: LETMD1 Antibody [NBP3-04759] - Immunohistochemistry of paraffin-embedded Rat testis using LETMD1 Rabbit pAb (NBP3-04759) at dilution of 1:100 (40x lens). Perform microwave antigen retrieval with 10 mM PBS buffer pH 7.2 before commencing with IHC staining protocol.
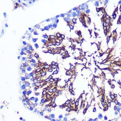
Immunohistochemistry-Paraffin: LETMD1 Antibody - BSA Free [NBP3-04759]

Immunohistochemistry-Paraffin: LETMD1 Antibody - BSA Free [NBP3-04759]

Immunohistochemistry-Paraffin: LETMD1 Antibody [NBP3-04759] - Immunohistochemistry of paraffin-embedded Human colon using LETMD1 Rabbit pAb (NBP3-04759) at dilution of 1:100 (40x lens). Perform microwave antigen retrieval with 10 mM PBS buffer pH 7.2 before commencing with IHC staining protocol.

Applications for LETMD1 Antibody - BSA Free

Application
Recommended Usage

Immunocytochemistry/ Immunofluorescence

1:50-1:200

Immunohistochemistry

1:50-1:200

Western Blot

1:500-1:2000

Formulation, Preparation, and Storage

Purification

Affinity purified

Formulation

PBS (pH 7.3), 50% glycerol

Format

BSA Free

Preservative

0.02% Sodium Azide

Concentration

Please see the vial label for concentration. If unlisted please contact technical services.

Shipping

The product is shipped with polar packs. Upon receipt, store it immediately at the temperature recommended below.

Stability & Storage

Store at -20C. Avoid freeze-thaw cycles.

Background: LETMD1

LETMD1, also known as LETM1 domain-containing protein 1, is a protein with 7 isoforms ranging from 99 amino acid and 11 kDa to 373 amino acid and 43 kDa; localizes in mitochondrion outer membrane; commonly found in kidney, liver, skeletal muscle, heart and brain; has a potential role in tumor genesis, which may result from negative regulation of the p53 tumor suppressor gene. Studies are being performed in relation to this protein and wolf-Hirsch horn syndrome, cervical cancer, cervicitis, breast cancer, leukemia/lymphoma, polyposis, pancreatic cancer, obesity, pancreatitis, leukemia, and carcinoma. This protein has been shown to interact with REEP5 protein.

Alternate Names

1110019O13Rik, cervical cancer 1 protooncogene, Cervical cancer 1 proto-oncogene protein p40, Cervical cancer proto-oncogene 2 protein, DKFZp586A011, HCCR1, HCCR-1, HCCR-2, HCRR-2, LETM1 domain containing 1, LETM1 domain-containing protein 1, regulator of TP53

Gene Symbol

LETMD1

Additional LETMD1 Products

Product Documents for LETMD1 Antibody - BSA Free

Certificate of Analysis

To download a Certificate of Analysis, please enter a lot number in the search box below.

Product Specific Notices for LETMD1 Antibody - BSA Free

This product is for research use only and is not approved for use in humans or in clinical diagnosis. Primary Antibodies are guaranteed for 1 year from date of receipt.

Loading...
Loading...
Loading...
Loading...