Skip to main content

LEF1 Antibody (LEF1/6764) - Azide and BSA Free

Novus Biologicals, part of Bio-Techne | Catalog # NBP3-20946

Novus Biologicals, part of Bio-Techne

Key Product Details

Species Reactivity

Human

Applications

Immunohistochemistry-Paraffin

Label

Unconjugated

Antibody Source

Monoclonal Mouse IgG1 kappa Clone # LEF1/6764

Format

Azide and BSA Free

Concentration

1 mg/ml

Product Specifications

Immunogen

Recombinant fragment of human LEF1 protein (exact sequence is proprietary)

Localization

Nucleus.

Specificity

Anti-LEF1 may be used as an aid for differentiation of chronic lymphocytic leukemia/small lymphocytic lymphoma from other small B cell lymphomas

Clonality

Monoclonal

Host

Mouse

Isotype

IgG1 kappa

Description

Positive Controls: Human tonsil and thymus.

Antibody with azide store at 2 to 8C. Antibody without azide store at -20 to -80C. Non-hazardous. No MSDS required.

Scientific Data Images for LEF1 Antibody (LEF1/6764) - Azide and BSA Free

LEF1 Antibody (LEF1/6764) - Azide and BSA Free

LEF1 Antibody (LEF1/6764)

Analysis of Protein Array containing more than 19,000 full-length human proteins using LEF1-Monospecific Mouse Monoclonal Antibody (LEF1/6764).
LEF1 Antibody (LEF1/6764) - Azide and BSA Free

LEF1 Antibody (LEF1/6764)

Formalin-fixed, paraffin-embedded human tonsil stained with LEF1 antibody (LEF1/6764). HIER: Tris/EDTA, pH9.0, 45min. Secondary: HRP-polymer, 30min. DAB, 5min.
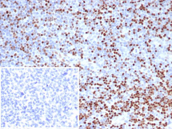
LEF1 Antibody (LEF1/6764) - Azide and BSA Free

LEF1 Antibody (LEF1/6764)

Formalin-fixed, paraffin-embedded human tonsil stained with LEF1 antibody (LEF1/6764). Inset: PBS instead of primary antibody; secondary only negative control.

Applications for LEF1 Antibody (LEF1/6764) - Azide and BSA Free

Application
Recommended Usage

Immunohistochemistry-Paraffin

1-2 ug/ml
Application Notes
Immunohistochemistry (Formalin-fixed): 1-2ug/ml for 30 minutes. at RT. Staining of formalin-fixed tissues requires heating tissue sections in 10mM Tris with 1mM EDTA, pH 9.0, for 45 min at 95C followed by cooling at RT for 20 minutes.

Optimal dilution for a specific application should be determined.

Formulation, Preparation, and Storage

Purification

Protein A or G purified

Formulation

10mM PBS

Format

Azide and BSA Free

Preservative

No Preservative

Concentration

1 mg/ml

Shipping

The product is shipped with polar packs. Upon receipt, store it immediately at the temperature recommended below.

Stability & Storage

Store at -20 to -70C. Avoid freeze-thaw cycles.

Background: LEF1

Lymphoid enhancer-binding factor-1 (LEF1) is a 48-kD nuclear protein that is expressed in pre-B and T cells. It binds to a functionally important site in the T-cell receptor-alpha (TCRA; MIM 186880) enhancer and confers maximal enhancer activity. LEF1 belongs to a family of regulatory proteins that share homology with high mobility group protein-1 (HMG1; MIM 163905).[supplied by OMIM]

Long Name

Lymphoid Enhancer-binding Factor 1

Alternate Names

TCF10, TCF1ALPHA, TCF7L3

Gene Symbol

LEF1

Additional LEF1 Products

Product Documents for LEF1 Antibody (LEF1/6764) - Azide and BSA Free

Certificate of Analysis

To download a Certificate of Analysis, please enter a lot number in the search box below.

Product Specific Notices for LEF1 Antibody (LEF1/6764) - Azide and BSA Free

This product is for research use only and is not approved for use in humans or in clinical diagnosis. Primary Antibodies are guaranteed for 1 year from date of receipt.

Loading...
Loading...
Loading...
Loading...