Skip to main content

LC3A Antibody - BSA Free

Novus Biologicals, part of Bio-Techne | Catalog # NB100-2331

Novus Biologicals, part of Bio-Techne

Key Product Details

Validated by

Biological Validation

Species Reactivity

Validated:

Human, Mouse, Rat, Amphibian, Canine, Fish, Plant, Zebrafish

Cited:

Human, Mouse, Rat, Amphibian, Bovine, Canine, Fish, Fish - Danio rerio (Zebrafish), Plant, SARS-CoV

Predicted:

Bovine (100%). Backed by our 100% Guarantee.

Applications

Validated:

Immunohistochemistry, Immunohistochemistry-Paraffin, Immunohistochemistry-Frozen, Immunohistochemistry Whole-Mount, Western Blot, Immunoblotting, ELISA, Flow Cytometry, Immunocytochemistry/ Immunofluorescence, Simple Western, Immunoprecipitation, Chromatin Immunoprecipitation, Chromatin Immunoprecipitation (ChIP), Southern Blot

Cited:

Immunohistochemistry-Paraffin, Immunohistochemistry-Frozen, Immunohistochemistry Whole-Mount, Western Blot, Immunoblotting, ELISA, Flow Cytometry, Immunocytochemistry/ Immunofluorescence, Immunoprecipitation, Chemotaxis, IF/IHC

Label

Unconjugated

Antibody Source

Polyclonal Rabbit IgG

Format

BSA Free

Concentration

1.0 mg/ml

Product Specifications

Immunogen

This LC3A Antibody was prepared from a synthetic peptide made to an internal portion of the human LC3 protein sequence (between residues 25-121). .

Reactivity Notes

Use in Rat reported in scientific literature (PMID:33678798). Use in Amphibian reported in scientific literature (PMID:29777142).

Localization

LC3-I is cytoplasmic. LC3-II binds to the autophagic membranes.

Specificity

This LC3A Antibody detects both LC3A and LC3B.

Marker

Autophagosome Marker

Clonality

Polyclonal

Host

Rabbit

Isotype

IgG

Description

Novus Biologicals Rabbit LC3A Antibody - BSA Free (NB100-2331) is a polyclonal antibody validated for use in IHC, WB, ELISA, Flow, ICC/IF, Simple Western, IP and ChIP. Anti-LC3A Antibody: Cited in 306 publications. All Novus Biologicals antibodies are covered by our 100% guarantee.

Scientific Data Images for LC3A Antibody - BSA Free

Western Blot: LC3A AntibodyBSA Free [NB100-2331]

Western Blot: LC3A AntibodyBSA Free [NB100-2331]

LC3A-Antibody---BSA-Free-Western-Blot-NB100-2331-img0041.jpg
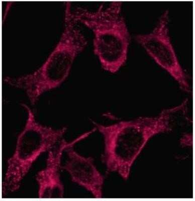
Immunocytochemistry/ Immunofluorescence: LC3A Antibody - BSA Free [NB100-2331]

Immunocytochemistry/ Immunofluorescence: LC3A Antibody - BSA Free [NB100-2331]

Immunocytochemistry/Immunofluorescence: LC3A Antibody - BSA Free [NB100-2331] - LC3A Antibody [NB100-2331] - Analysis in PFA fixed NIH/3T3 cells using anti-LC3A antibody. Image from verified customer review.
Immunohistochemistry: LC3A Antibody - BSA Free [NB100-2331]

Immunohistochemistry: LC3A Antibody - BSA Free [NB100-2331]

Immunohistochemistry: LC3A Antibody - BSA Free [NB100-2331] - LC3A Antibody [NB100-2331] - Staining in mouse meniscus and cartilage. Image from verified customer review.

Applications for LC3A Antibody - BSA Free

Application
Recommended Usage

Chromatin Immunoprecipitation

reported in scientific literature (PMID 33035707)

ELISA

reported in scientific literature (PMID 20930550)

Flow Cytometry

reported in scientific literature (PMID 24419333)

Immunoblotting

reported in scientific literature (PMID 28253371)

Immunocytochemistry/ Immunofluorescence

1:100-1:300. Use reported in scientific literature (PMID 21545732)

Immunohistochemistry

1:200-1:400

Immunohistochemistry Whole-Mount

reported in scientific literature (PMID 31783118)

Immunohistochemistry-Paraffin

1:200-1:400. Use reported in scientific literature (PMID 26571030)

Immunoprecipitation

20 ug / 500 ug of lysate

Simple Western

1:50

Western Blot

2.0 ug/ml
Application Notes
Western blot bands are seen at ~19 kDa, representing LC3-I, and ~17 kDa, representing LC3-II. The observed molecular weight of the protein may vary from the listed predicted molecular weight due to post translational modifications, post translation cleavages, relative charges, and other experimental factors. Use in Southern blot reported in scientific literature (PMID: 21262964). In ICC, cytoplasmic staining was observed in HeLa cells. In Simple Western only 10 - 15 uL of the recommended dilution is used per data point.
See Simple Western Antibody Database for Simple Western validation: Tested in Neuro2A lysate 0.5 mg/mL, separated by Size, antibody dilution of 1:50, apparent MW was 16 kDa

Reviewed Applications

Read 22 reviews rated 4.3 using NB100-2331 in the following applications:

Formulation, Preparation, and Storage

Purification

Immunogen affinity purified

Formulation

PBS

Format

BSA Free

Preservative

0.02% Sodium Azide

Concentration

1.0 mg/ml

Shipping

The product is shipped with polar packs. Upon receipt, store it immediately at the temperature recommended below.

Stability & Storage

Aliquot and store at -20C or -80C. Avoid freeze-thaw cycles.

Background: LC3A

Human Microtubule-associated Protein 1A/1B Light Chain 3A (MAP1LC3A), also called LC3A for short, is a 121 amino acid (aa) protein with a theoretic molecular weight of ~14 kDa. LC3A belongs to the LC3 subfamily of Autophagy-related 8 (Atg8) proteins, which also includes LC3B and LC3C (1). The process of autophagy is the bulk degradation of proteins and organelles. Whether these three proteins have distinct roles in autophagy remains unclear, but they do have unique subcellular expression (2). Specifically, LC3A shows perinuclear and nuclear localization (2). The Atg8 family members share a similar structure of two amino-terminal alpha-helices and a ubiquitin-like core but are unique in aa sequence (1). LC3 utilizes a ubiquitin-like conjugation system to covalently bind to phosphatidylethanolamine (PE), also called lipidation, which is mediated by a series of steps (1, 3). Briefly, unprocessed, cytosolic LC3 (pro-LC3) is cleaved by the cysteine protease Atg4 to expose a c-terminal glycine (Gly) residue (LC3-I); the Gly is activated by E1-like enzyme Atg7, transferred to E2-like enzyme Atg3, and an E3-like complex facilitates the conjugation of LC3 with PE (LC3-II), incorporating it into the phagophore membrane during autophagosome formation (1, 3). The recruitment of LC3 to the phagophore is thought to mediate membrane elongation and closure (1, 3). Additionally, LC3 plays a role in recruiting cargo (protein aggregates, pathogens, and organelles) to autophagosomes and delivery for lysosomal degradation (1).

The process of autophagy is associated with a variety of diseases including neurodegenerative diseases, neuromuscular, tumorigenesis, and viral and bacterial infections (4). LC3 is a useful marker of autophagy in both healthy and diseased cells (4). Interestingly, LC3A has two variants (v1 and v2) which differ in N-terminal sequence due to the varying transcriptional start sites (5). One particular study found that LC3Av1, but not v2 or LC3B, was silenced in various cancer cell lines due to aberrant DNA methylation and re-expression of LC3Av1 in LC3Av1-silenced cells inhibited tumor growth, where overall findings suggest a possible tumor-suppressive role (5).

Alternative names for LC3A include Apg8, APG8a, ATG8E, Autophagy-related protein LC3 A, Autophagy-related ubiquitin-like modifier LC3 A, MAP1A/1B light chain 3 A, microtubule-associated proteins 1A/1B light chain 3, and MLP3A.

References

1. Shpilka, T., Weidberg, H., Pietrokovski, S., & Elazar, Z. (2011). Atg8: an autophagy-related ubiquitin-like protein family. Genome biology. https://doi.org/10.1186/gb-2011-12-7-226

2. Koukourakis, M. I., Kalamida, D., Giatromanolaki, A., Zois, C. E., Sivridis, E., Pouliliou, S., Mitrakas, A., Gatter, K. C., & Harris, A. L. (2015). Autophagosome Proteins LC3A, LC3B and LC3C Have Distinct Subcellular Distribution Kinetics and Expression in Cancer Cell Lines. PloS one. https://doi.org/10.1371/journal.pone.0137675

3. Weidberg, H., Shvets, E., & Elazar, Z. (2011). Biogenesis and cargo selectivity of autophagosomes. Annual review of biochemistry. https://doi.org/10.1146/annurev-biochem-052709-094552

4. Tanida, I., Ueno, T., & Kominami, E. (2004). LC3 conjugation system in mammalian autophagy. The international journal of biochemistry & cell biology. https://doi.org/10.1016/j.biocel.2004.05.009

5. Schaaf, M. B., Keulers, T. G., Vooijs, M. A., & Rouschop, K. M. (2016). LC3/GABARAP family proteins: autophagy-(un)related functions. FASEB journal : official publication of the Federation of American Societies for Experimental Biology. https://doi.org/10.1096/fj.201600698R

Long Name

Microtubule-associated Protein 1 Light Chain 3 alpha

Alternate Names

Apg8, APG8a, Apg8p3, ATG8E, LC3, MAP1ALC3, MAP1LC3A, MLP3A

Gene Symbol

MAP1LC3A

Additional LC3A Products

Product Documents for LC3A Antibody - BSA Free

Certificate of Analysis

To download a Certificate of Analysis, please enter a lot number in the search box below.

Product Specific Notices for LC3A Antibody - BSA Free

This product is for research use only and is not approved for use in humans or in clinical diagnosis. Primary Antibodies are guaranteed for 1 year from date of receipt.

Loading...
Loading...
Loading...
Loading...
Loading...
Loading...