LATS2 Antibody - BSA Free
Novus Biologicals, part of Bio-Techne | Catalog # NBP2-14184
Key Product Details
Species Reactivity
Human
Applications
Immunohistochemistry, Immunohistochemistry-Paraffin
Label
Unconjugated
Antibody Source
Polyclonal Rabbit IgG
Format
BSA Free
Concentration
Concentrations vary lot to lot. See vial label for concentration. If unlisted please contact technical services.
Product Specifications
Immunogen
This antibody was developed against a recombinant protein corresponding to the amino acids: HLLLRSKSEQYDLDSLCAGMEQSLRAGPNEPEGGDKSRKSAKGDKGGKDKKQIQTSPVPVRKNSRDEEKR
Clonality
Polyclonal
Host
Rabbit
Isotype
IgG
Description
Novus Biologicals Rabbit LATS2 Antibody - BSA Free (NBP2-14184) is a polyclonal antibody validated for use in IHC. All Novus Biologicals antibodies are covered by our 100% guarantee.
Scientific Data Images for LATS2 Antibody - BSA Free
Immunohistochemistry-Paraffin: LATS2 Antibody [NBP2-14184]
Immunohistochemistry-Paraffin: LATS2 Antibody [NBP2-14184] - Staining of human testis shows weak to moderate nuclear and cytoplasmic positivity in cells in seminiferous ducts.Immunohistochemistry-Paraffin: LATS2 Antibody [NBP2-14184]
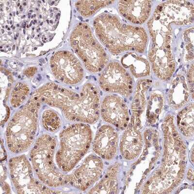
Immunohistochemistry-Paraffin: LATS2 Antibody [NBP2-14184] - Staining of human kidney shows weak to moderate nuclear and cytoplasmic positivity in cells in tubules.Immunohistochemistry-Paraffin: LATS2 Antibody [NBP2-14184]
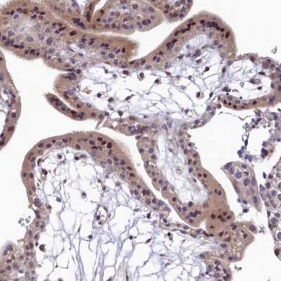
Immunohistochemistry-Paraffin: LATS2 Antibody [NBP2-14184] - Staining of human placenta shows weak to moderate nuclear and cytoplasmic positivity in trophoblastic cells.Applications for LATS2 Antibody - BSA Free
Application
Recommended Usage
Immunohistochemistry
1:20 - 1:50
Immunohistochemistry-Paraffin
1:20 - 1:50
Application Notes
For IHC-Paraffin, HIER pH 6 retrieval is recommended.
Formulation, Preparation, and Storage
Purification
Affinity purified
Formulation
PBS (pH 7.2) and 40% Glycerol
Format
BSA Free
Preservative
0.02% Sodium Azide
Concentration
Concentrations vary lot to lot. See vial label for concentration. If unlisted please contact technical services.
Shipping
The product is shipped with polar packs. Upon receipt, store it immediately at the temperature recommended below.
Stability & Storage
Store at 4C short term. Aliquot and store at -20C long term. Avoid freeze-thaw cycles.
Background: LATS2
Alternate Names
EC 2.7.11, EC 2.7.11.1, FLJ13161, Kinase phosphorylated during mitosis protein, KPM, Large tumor suppressor homolog 2, LATS (large tumor suppressor, Drosophila) homolog 2, LATS, large tumor suppressor, homolog 2 (Drosophila), serine/threonine kinase KPM, Serine/threonine-protein kinase kpm, serine/threonine-protein kinase LATS2, Warts-like kinase
Gene Symbol
LATS2
Additional LATS2 Products
Product Documents for LATS2 Antibody - BSA Free
Product Specific Notices for LATS2 Antibody - BSA Free
This product is for research use only and is not approved for use in humans or in clinical diagnosis. Primary Antibodies are guaranteed for 1 year from date of receipt.
Loading...
Loading...
Loading...
Loading...