Skip to main content

LASP1 Antibody - BSA Free

Novus Biologicals, part of Bio-Techne | Catalog # NBP3-38061

Novus Biologicals, part of Bio-Techne
Catalog #
Availability
Size / Price
Qty
Loading...
NBP3-38061-100ul
NBP3-38061-20ul

Key Product Details

Species Reactivity

Human, Mouse, Rat

Applications

ELISA, Immunocytochemistry/ Immunofluorescence, Immunoprecipitation, Western Blot

Label

Unconjugated

Antibody Source

Polyclonal Rabbit IgG

Format

BSA Free

Concentration

Please see the vial label for concentration. If unlisted please contact technical services.

Product Specifications

Immunogen

Recombinant fusion protein containing a sequence corresponding to amino acids 130-205 of human LASP1 (NP_006139.1).

Sequence:
RMGPSGGEGMEPERRDSQDGSSYRRPLEQQQPHHIPTSAPVYQQPQQQPVAQSYGGYKEPAAPVSIQRSAPGGGGK

Clonality

Polyclonal

Host

Rabbit

Isotype

IgG

Theoretical MW

30 kDa.
Disclaimer note: The observed molecular weight of the protein may vary from the listed predicted molecular weight due to post translational modifications, post translation cleavages, relative charges, and other experimental factors.

Description

Novus Biologicals Rabbit LASP1 Antibody - BSA Free (NBP3-38061) is a polyclonal antibody validated for use in WB, ELISA, ICC/IF and IP. All Novus Biologicals antibodies are covered by our 100% guarantee.

Scientific Data Images for LASP1 Antibody - BSA Free

LASP1 Antibody

Western Blot: LASP1 Antibody [NBP3-38061] -

Western Blot: LASP1 Antibody [NBP3-38061] - Western blot analysis of various lysates using LASP1 Rabbit pAb at 1:1000 dilution.
Secondary antibody: HRP-conjugated Goat anti-Rabbit IgG (H+L) at 1:10000 dilution.
Lysates/proteins: 25ug per lane.
Blocking buffer: 3% nonfat dry milk in TBST.
Detection: ECL Basic Kit.
Exposure time: 1s.
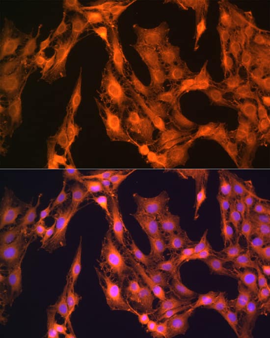
LASP1 Antibody

Immunocytochemistry/ Immunofluorescence: LASP1 Antibody [NBP3-38061] -

Immunocytochemistry/ Immunofluorescence: LASP1 Antibody [NBP3-38061] - Immunofluorescence analysis of U-2 OS cells using LASP1 Rabbit pAb at dilution of 1:100 (40x lens). Secondary antibody: Cy3-conjugated Goat anti-Rabbit IgG (H+L) at 1:500 dilution. Blue: DAPI for nuclear staining.
LASP1 Antibody

Immunoprecipitation: LASP1 Antibody [NBP3-38061] -

Immunoprecipitation: LASP1 Antibody [NBP3-38061] - Immunoprecipitation analysis of 300 ug extracts of A-549 cells using 3 ug LASP1 antibody. Western blot was performed from the immunoprecipitate using LASP1 antibody at a dilution of 1:1000.

Applications for LASP1 Antibody - BSA Free

Application
Recommended Usage

Immunocytochemistry/ Immunofluorescence

1:50 - 1:200

Immunoprecipitation

0.5ug - 4ug antibody for 200ug - 400ug extracts of whole cells

Western Blot

1:1000 - 1:3000

Formulation, Preparation, and Storage

Purification

Affinity purified

Formulation

PBS (pH 7.3), 50% glycerol

Format

BSA Free

Preservative

0.02% Sodium Azide

Concentration

Please see the vial label for concentration. If unlisted please contact technical services.

Shipping

The product is shipped with polar packs. Upon receipt, store it immediately at the temperature recommended below.

Stability & Storage

Store at -20C. Avoid freeze-thaw cycles.

Background: LASP1

LASP1 functions as an actin-binding protein and possibly in cytoskeletal organization.

Alternate Names

LASP-1, LIM and SH3 domain protein 1, LIM and SH3 protein 1, Metastatic lymph node gene 50 protein, MLN 50, MLN50Lasp-1

Gene Symbol

LASP1

Additional LASP1 Products

Product Documents for LASP1 Antibody - BSA Free

Certificate of Analysis

To download a Certificate of Analysis, please enter a lot number in the search box below.

Product Specific Notices for LASP1 Antibody - BSA Free

This product is for research use only and is not approved for use in humans or in clinical diagnosis. Primary Antibodies are guaranteed for 1 year from date of receipt.

Loading...
Loading...
Loading...
Loading...