Skip to main content

LAPTM4B Antibody (CL5287) - Azide and BSA Free

Novus Biologicals, part of Bio-Techne | Catalog # NBP3-44245

Novus Biologicals, part of Bio-Techne
Catalog #
Availability
Size / Price
Qty
Loading...
NBP3-44245

Key Product Details

Species Reactivity

Human

Applications

Immunohistochemistry-Paraffin

Label

Unconjugated

Antibody Source

Monoclonal Mouse IgG2B Clone # CL5287

Format

Azide and BSA Free

Concentration

LYOPH mg/ml

Product Specifications

Immunogen

This antibody was generated using a synthetic peptide of Q86VI4, with the exact immunogen sequence remaining proprietary.

Clonality

Monoclonal

Host

Mouse

Isotype

IgG2B

Description

Novus Biologicals Mouse LAPTM4B Antibody (CL5287) - Azide and BSA Free (NBP2-61157) is a monoclonal antibody validated for use in IHC. All Novus Biologicals antibodies are covered by our 100% guarantee.

Scientific Data Images for LAPTM4B Antibody (CL5287) - Azide and BSA Free

LAPTM4B Antibody (CL5287) - Azide and BSA Free Immunohistochemistry-Paraffin: LAPTM4B Antibody [NBP3-44245]

Immunohistochemistry-Paraffin: LAPTM4B Antibody [NBP3-44245]

Staining of human kidney shows moderate granular cytoplasmic positivity in renal tubules.
LAPTM4B Antibody (CL5287) - Azide and BSA Free Immunohistochemistry-Paraffin: LAPTM4B Antibody [NBP3-44245]

Immunohistochemistry-Paraffin: LAPTM4B Antibody [NBP3-44245]

Staining of human heart muscle shows moderate cytoplasmic immunoreactivity in cardiomyocytes.
LAPTM4B Antibody (CL5287) - Azide and BSA Free Immunohistochemistry-Paraffin: LAPTM4B Antibody [NBP3-44245]

Immunohistochemistry-Paraffin: LAPTM4B Antibody [NBP3-44245]

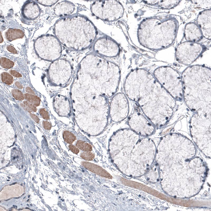
Staining of human salivary gland shows absence of positivity in glandular cells as expected (negative control), while skeletal muscle fibers are positive.

Applications for LAPTM4B Antibody (CL5287) - Azide and BSA Free

Application
Recommended Usage

Immunohistochemistry-Paraffin

1:200 - 1:500
Application Notes
For IHC-Paraffin, HIER pH 6 retrieval is recommended.

Formulation, Preparation, and Storage

Purification

Protein A purified

Reconstitution

Centrifuge the vial of lyophilized antibody at 12,000 x g for 20 seconds. Reconstitute by adding sterile, distilled water to achieve a final antibody concentration of 1mg/ml.

Formulation

Lyophilized from a 0.2 um filtered solution in PBS with Trehalose

Format

Azide and BSA Free

Preservative

No Preservative

Concentration

LYOPH mg/ml

Shipping

The product is shipped at ambient temperature. Upon receipt, store it immediately at the temperature recommended below.

Stability & Storage

Store at 4C short term. Aliquot and store at -20C long term. Avoid freeze-thaw cycles.

Background: LAPTM4B

LAPTM4B( AAH14129, 1 a.a. - 227 a.a.) full-length recombinant protein with GST.

Alternate Names

LAPTM4beta, LC27, lysosomal associated protein transmembrane 4 beta, lysosomal protein transmembrane 4 beta, lysosomal-associated transmembrane protein 4B, Lysosome-associated transmembrane protein 4-beta

Gene Symbol

LAPTM4B

Additional LAPTM4B Products

Product Documents for LAPTM4B Antibody (CL5287) - Azide and BSA Free

Certificate of Analysis

To download a Certificate of Analysis, please enter a lot number in the search box below.

Product Specific Notices for LAPTM4B Antibody (CL5287) - Azide and BSA Free

This product is for research use only and is not approved for use in humans or in clinical diagnosis. Primary Antibodies are guaranteed for 1 year from date of receipt.

Loading...
Loading...
Loading...
Loading...
Loading...