LAP1B Antibody - BSA Free
Novus Biologicals, part of Bio-Techne | Catalog # NBP2-47403
Key Product Details
Validated by
Independent Antibodies
Species Reactivity
Human
Applications
Immunohistochemistry, Immunohistochemistry-Paraffin, Western Blot, Immunocytochemistry/ Immunofluorescence
Label
Unconjugated
Antibody Source
Polyclonal Rabbit IgG
Format
BSA Free
Concentration
Concentrations vary lot to lot. See vial label for concentration. If unlisted please contact technical services.
Product Specifications
Immunogen
This antibody was developed against a recombinant protein corresponding to amino acids: EATSVQQKVNFSEEGETEEDDQDSSHSSVTTVKARSRDSDESGDKTTRSSSQYIESFWQSSQSQNFTAHDKQRSVLSSGYQKTPQEWAPQTARIRTRMQ
Clonality
Polyclonal
Host
Rabbit
Isotype
IgG
Description
Novus Biologicals Rabbit LAP1B Antibody - BSA Free (NBP2-47403) is a polyclonal antibody validated for use in IHC, WB and ICC/IF. All Novus Biologicals antibodies are covered by our 100% guarantee.
Scientific Data Images for LAP1B Antibody - BSA Free
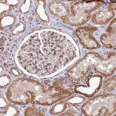
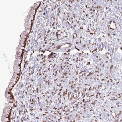
Immunohistochemistry-Paraffin: LAP1B Antibody [NBP2-47403]
Immunohistochemistry-Paraffin: LAP1B Antibody [NBP2-47403] - Staining of human cerebral cortex, kidney, lymph node and testis using Anti-TOR1AIP1 antibody NBP2-47403 (A) shows similar protein distribution across tissues to independent antibody NBP2-47402 (B).Immunocytochemistry/ Immunofluorescence: LAP1B Antibody [NBP2-47403]
Immunocytochemistry/Immunofluorescence: LAP1B Antibody [NBP2-47403] - Staining of human cell line MCF7 shows localization to nuclear membrane. Antibody staining is shown in green.Applications for LAP1B Antibody - BSA Free
Application
Recommended Usage
Immunocytochemistry/ Immunofluorescence
0.25-2 ug/ml
Immunohistochemistry
1:500 - 1:1000
Immunohistochemistry-Paraffin
1:500 - 1:1000
Western Blot
0.04-0.4 ug/ml
Application Notes
For IHC-Paraffin, HIER pH 6 retrieval is recommended. ICC/IF Fixation Permeabilization: Use PFA/Triton X-100.
Formulation, Preparation, and Storage
Purification
Affinity purified
Formulation
PBS (pH 7.2) and 40% Glycerol
Format
BSA Free
Preservative
0.02% Sodium Azide
Concentration
Concentrations vary lot to lot. See vial label for concentration. If unlisted please contact technical services.
Shipping
The product is shipped with polar packs. Upon receipt, store it immediately at the temperature recommended below.
Stability & Storage
Store at 4C short term. Aliquot and store at -20C long term. Avoid freeze-thaw cycles.
Background: LAP1B
Alternate Names
DKFZp586G011, FLJ13142, lamina associated polypeptide 1B, lamina-associated polypeptide 1B, LAP1B, MGC3413, torsin A interacting protein 1, torsin-1A-interacting protein 1
Gene Symbol
TOR1AIP1
Additional LAP1B Products
Product Documents for LAP1B Antibody - BSA Free
Product Specific Notices for LAP1B Antibody - BSA Free
This product is for research use only and is not approved for use in humans or in clinical diagnosis. Primary Antibodies are guaranteed for 1 year from date of receipt.
Loading...
Loading...
Loading...
Loading...