Skip to main content

Lano Antibody - BSA Free

Novus Biologicals, part of Bio-Techne | Catalog # NBP1-76678

Novus Biologicals, part of Bio-Techne

Key Product Details

Species Reactivity

Human

Applications

Immunohistochemistry, Immunohistochemistry-Paraffin, Western Blot, ELISA, Immunocytochemistry/ Immunofluorescence

Label

Unconjugated

Antibody Source

Polyclonal Rabbit IgG

Format

BSA Free

Concentration

1 mg/ml

Product Specifications

Immunogen

Antibody was raised against a peptide corresponding to 15 amino acids near the carboxy terminus of human Lano. The immunogen is located within the last 50 amino acids of Lano. Amino Acid Squence: KNEVNHAIDRVTTSV

Reactivity Notes

Immunogen displays the following percentage of sequence identity for non-tested species: Mouse (87%)

Clonality

Polyclonal

Host

Rabbit

Isotype

IgG

Theoretical MW

59 kDa.
Disclaimer note: The observed molecular weight of the protein may vary from the listed predicted molecular weight due to post translational modifications, post translation cleavages, relative charges, and other experimental factors.

Scientific Data Images for Lano Antibody - BSA Free

Western Blot: Lano AntibodyBSA Free [NBP1-76678]

Western Blot: Lano AntibodyBSA Free [NBP1-76678]

Western Blot: Lano Antibody [NBP1-76678] - Analysis of Lano expression in A431 cell lysate with Lano antibody at (A) 1 and (B) 2 ug/ml.
Lano Antibody - BSA Free

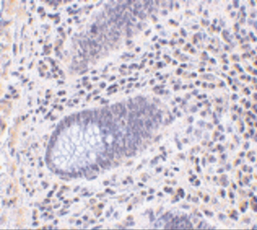
Immunohistochemistry: Lano Antibody - BSA Free [NBP1-76678] -

Immunohistochemistry: Lano Antibody - BSA Free [NBP1-76678] - Immunohistochemistry of Lano in human colon tissue with Lano antibody at 10 ug/mL.
Lano Antibody - BSA Free

Immunocytochemistry/ Immunofluorescence: Lano Antibody - BSA Free [NBP1-76678] -

Immunocytochemistry/ Immunofluorescence: Lano Antibody - BSA Free [NBP1-76678] - Immunofluorescence of Lano in human colon tissue with Lano antibody at 20 ug/mL.

Applications for Lano Antibody - BSA Free

Application
Recommended Usage

ELISA

1:100-1:2000

Immunocytochemistry/ Immunofluorescence

20 ug/ml

Immunohistochemistry

10 ug/ml

Immunohistochemistry-Paraffin

10 ug/ml

Western Blot

1-2 ug/ml

Formulation, Preparation, and Storage

Purification

Peptide affinity purified

Formulation

PBS

Format

BSA Free

Preservative

0.02% Sodium Azide

Concentration

1 mg/ml

Shipping

The product is shipped with polar packs. Upon receipt, store it immediately at the temperature recommended below.

Stability & Storage

Store at 4C short term. Aliquot and store at -20C long term. Avoid freeze-thaw cycles.

Background: LRRC1/LANO

Lano is a member of the LAP (leucine-rich repeats and PDZ) family of proteins that also includes Densin-180, Erbin, and hScribble. The LAP proteins generally contain multiple leucine-rich repeat (LRR) domains which serve to target them to the basolateral membrane of epithelial cells. Lano is unique in that it alone does not possess one or more PDZ (PSD95/DLG/ZO-1) domains as do the other members of the LAP family. However, it can bind to the PDZ domain of Erbin in addition to those of membrane-associated and guanylate kinase (MAGUK) proteins which regulate adhesion and plasticity at cell junctions. It has been suggested that it is through these interaction that these LAP proteins participate in the maintenance of proper embryonic development and integrity of epithelial tissues.

Long Name

Leucine-rich Repeat Containing 1

Alternate Names

LANO

Gene Symbol

LRRC1

Additional LRRC1/LANO Products

Product Documents for Lano Antibody - BSA Free

Certificate of Analysis

To download a Certificate of Analysis, please enter a lot number in the search box below.

Product Specific Notices for Lano Antibody - BSA Free

This product is for research use only and is not approved for use in humans or in clinical diagnosis. Primary Antibodies are guaranteed for 1 year from date of receipt.

Loading...
Loading...
Loading...
Loading...