Skip to main content

LAMTOR1 Antibody

Novus Biologicals, part of Bio-Techne | Catalog # NBP1-71689

Novus Biologicals, part of Bio-Techne
Catalog #
Availability
Size / Price
Qty
Loading...
NBP1-71689

Key Product Details

Species Reactivity

Validated:

Human, Mouse, Rat

Predicted:

Bovine (98%). Backed by our 100% Guarantee.

Applications

Immunohistochemistry, Immunohistochemistry-Paraffin, Western Blot, Immunocytochemistry/ Immunofluorescence

Label

Unconjugated

Antibody Source

Polyclonal Rabbit IgG

Concentration

0.2 mg/ml

Product Specifications

Immunogen

A genomic peptide made to a C-terminal region of the human c11orf59/LAMTOR1 protein (within residues 50-161). [Swiss-Prot Q6IAA8]

Reactivity Notes

Immunogen has 98% identity to bovine.

Localization

Late endosome membrane; Lipid-anchor; Cytoplasmic side. Lysosome membrane; Lipid-anchor; Cytoplasmic side. Cell membrane

Clonality

Polyclonal

Host

Rabbit

Isotype

IgG

Description

Novus Biologicals Rabbit LAMTOR1 Antibody (NBP1-71689) is a polyclonal antibody validated for use in IHC, WB and ICC/IF. All Novus Biologicals antibodies are covered by our 100% guarantee.

Scientific Data Images for LAMTOR1 Antibody

Western Blot: LAMTOR1 Antibody [NBP1-71689]

Western Blot: LAMTOR1 Antibody [NBP1-71689]

Western Blot: c11orf59/LAMTOR1 Antibody [NBP1-71689] - Analysis of c11orf59 in human liver protein.
Immunocytochemistry/ Immunofluorescence: LAMTOR1 Antibody [NBP1-71689]

Immunocytochemistry/ Immunofluorescence: LAMTOR1 Antibody [NBP1-71689]

Immunocytochemistry/Immunofluorescence: c11orf59/LAMTOR1 Antibody [NBP1-71689] - C11orf59 antibody was tested at 1:50 in HepG2 cells with FITC (green). Nuclei (Blue) were counterstained with Dapi (blue).
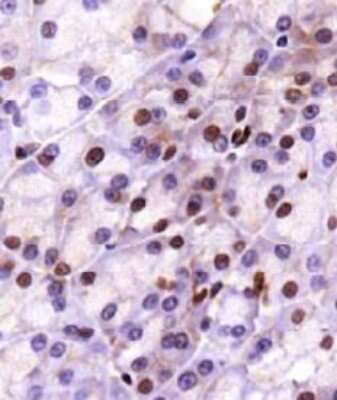
Immunohistochemistry: LAMTOR1 Antibody [NBP1-71689]

Immunohistochemistry: LAMTOR1 Antibody [NBP1-71689]

Immunohistochemistry: c11orf59/LAMTOR1 Antibody [NBP1-71689] - Analysis of C11orf59 in mouse pancreas.

Applications for LAMTOR1 Antibody

Application
Recommended Usage

Immunocytochemistry/ Immunofluorescence

1:25-1:100

Immunohistochemistry

1:25-1:100

Immunohistochemistry-Paraffin

1:25-1:100

Western Blot

1:1000
Application Notes
This c11orf59 antibody is useful for IHC-P, ICC/IF and Western blot, where a band is seen ~22 kDa. Prior to immunostaining paraffin tissues, antigen retrieval with sodium citrate buffer (pH 6.0) is recommended.

Reviewed Applications

Read 1 review rated 5 using NBP1-71689 in the following applications:

Formulation, Preparation, and Storage

Purification

Immunogen affinity purified

Formulation

PBS, 0.1% BSA, and 50% Glycerol

Preservative

0.05% Sodium Azide

Concentration

0.2 mg/ml

Shipping

The product is shipped with polar packs. Upon receipt, store it immediately at the temperature recommended below.

Stability & Storage

Store at 4C short term. Aliquot and store at -20C long term. Avoid freeze-thaw cycles.

Background: LAMTOR1

c11orf59/LAMTOR1 (ragulator complex protein LAMTOR1 or PDRO), a part of Ragulator complex which contains LAMTOR1-5, is a relatively novel lapidated protein adaptor of the lysosomal membrane which senses and integrates a diverse array of cellular signals, with mTOR kinase activity within the complex being influenced by a variety of nutrients e.g. amino acids, glucose etc., oxygen status, cellular energy levels, and many secreted growth factors such as cytokines and hormones, including insulin. Ragulator is activated by amino acids through a mechanism involving lysosomal V-ATPase, and it functions as a guanine nucleotide exchange factor activating the small GTPases Rag. Ragulator (activated) and Rag GTPases function as a scaffold that recruits mTORC1 to lysosomes where it is in turn activated. LAMTOR1 is directly responsible for anchoring the Ragulator complex to membranes and is also required for late endosomes/lysosomes biogenesis. It regulates both the recycling of receptors through endosomes and MAPK signaling pathway through recruitment of some of its components to late endosomes. It implicates in cholesterol homeostasis for regulating LDL uptake and cholesterol release from late endosomes/lysosomes, and may play a role in RHOA activation. LAMTOR1 deregulation is observed in certain pathologies including cancer, diabetes and neurodegenerative diseases.

Alternate Names

c11orf59, chromosome 11 open reading frame 59, FLJ20625, LAMTOR1, Late endosomal/lysosomal adaptor and MAPK and MTOR activator 1, late endosomal/lysosomal adaptor, MAPK and MTOR activator 1, Lipid raft adaptor protein p18, p18, p27kip1 releasing factor from RhoA, p27Kip1-releasing factor from RhoA, p27RF-RhoC11orf59, PDRO, PDROPdro, Protein associated with DRMs and endosomes, ragulator complex protein PDRO, Ragulator1, RhoA activator C11orf59

Entrez Gene IDs

55004 (Human); 66508 (Mouse)

Gene Symbol

LAMTOR1

Additional LAMTOR1 Products

Product Documents for LAMTOR1 Antibody

Certificate of Analysis

To download a Certificate of Analysis, please enter a lot number in the search box below.

Product Specific Notices for LAMTOR1 Antibody

Manufactured by Genomic Antibody Technology™. GAT FAQs

This product is for research use only and is not approved for use in humans or in clinical diagnosis. Primary Antibodies are guaranteed for 1 year from date of receipt.

Loading...
Loading...
Loading...
Loading...