Skip to main content

LAMP-2/CD107b Antibody (H4B4) - Azide and BSA Free

Novus Biologicals, part of Bio-Techne | Catalog # NBP2-80825

Clone H4B4 was used by HLDA to establish CD designation.
Novus Biologicals, part of Bio-Techne
Catalog #
Availability
Size / Price
Qty
Loading...
NBP2-80825
Forumulation
Catalog #

Key Product Details

Validated by

Knockout/Knockdown, Biological Validation

Species Reactivity

Human, Mouse, Chicken, Rat (Negative)

Applications

Knockout Validated, Immunohistochemistry, Immunohistochemistry-Paraffin, Immunohistochemistry-Frozen, Western Blot, ELISA, Flow Cytometry, Immunocytochemistry/ Immunofluorescence, Simple Western, CyTOF-ready

Label

Unconjugated

Antibody Source

Monoclonal Mouse IgG1 kappa Clone # H4B4

Format

Azide and BSA Free

Concentration

1 mg/ml

Product Specifications

Immunogen

LAMP-2/CD107b Antibody (H4B4) was made using a human adherent spleen cells.

Reactivity Notes

Mouse reactivity reported in scientific literature (PMID: 27863209). Chicken reactivity reported in scientific literature (PMID: 30298003).

Localization

Cell membrane; Single-pass type I membrane protein. Endosome membrane; Single-pass type I membrane protein. Lysosome membrane; Single-pass type I membrane protein. Note: This protein shuttles between lysosomes, endosomes, and the plasma membrane.

Clonality

Monoclonal

Host

Mouse

Isotype

IgG1 kappa

Theoretical MW

45 kDa.
Disclaimer note: The observed molecular weight of the protein may vary from the listed predicted molecular weight due to post translational modifications, post translation cleavages, relative charges, and other experimental factors.

Description

Novus Biologicals Knockout (KO) Validated Mouse LAMP-2/CD107b Antibody (H4B4) - Azide and BSA Free (NBP2-22217) is a monoclonal antibody validated for use in IHC, WB, ELISA, Flow, ICC/IF and Simple Western. All Novus Biologicals antibodies are covered by our 100% guarantee.

Scientific Data Images for LAMP-2/CD107b Antibody (H4B4) - Azide and BSA Free

Western Blot: LAMP-2/CD107b Antibody (H4B4)Azide and BSA Free [NBP2-80825]

Western Blot: LAMP-2/CD107b Antibody (H4B4)Azide and BSA Free [NBP2-80825]

Western Blot: LAMP-2/CD107b Antibody (H4B4) - Azide and BSA Free [NBP2-80825] - Representative pictures of effect of I/R on DNA damage, cell survival, and inflammation. Western blot analysis expression level of Cathepsin B (*P < 0.05) in total protein extract from RVA of I/R treated vs. control group. Image collected and cropped by CiteAb from the following publication (https://www.frontiersin.org/article/10.3389/fphar.2018.01034/full), licensed under a CC-BY license. Image from the standard format of this antibody.
Immunocytochemistry/ Immunofluorescence: LAMP-2/CD107b Antibody (H4B4) - Azide and BSA Free [NBP2-80825]

Immunocytochemistry/ Immunofluorescence: LAMP-2/CD107b Antibody (H4B4) - Azide and BSA Free [NBP2-80825]

Immunocytochemistry/Immunofluorescence: LAMP-2/CD107b Antibody (H4B4) - Azide and BSA Free [NBP2-80825] - T98G glioblastoma cells grown on #1.5 coverglass stained with a conjugated LAMP-2/CD107b (H4B4)AF647 antibody, counterstained with DAPI. Cathepsin D (green) staining also visible. This image was submitted via customer Review. Image using the Alexa Fluor 647 form of this antibody.
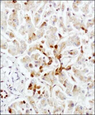
Immunohistochemistry: LAMP-2/CD107b Antibody (H4B4) - Azide and BSA Free [NBP2-80825]

Immunohistochemistry: LAMP-2/CD107b Antibody (H4B4) - Azide and BSA Free [NBP2-80825]

Immunohistochemistry: LAMP-2/CD107b Antibody (H4B4) - Azide and BSA Free [NBP2-80825] - Staining of LAMP-2/CD107b in human liver using DAB with hematoxylin counterstain. Image from the standard format of this antibody.

Applications for LAMP-2/CD107b Antibody (H4B4) - Azide and BSA Free

Application
Recommended Usage

Flow Cytometry

1 ug per million cells

Immunocytochemistry/ Immunofluorescence

1:10-1:100

Immunohistochemistry

1:100 - 1:200

Immunohistochemistry-Frozen

1:100 - 1:200

Immunohistochemistry-Paraffin

1:100 - 1:200

Simple Western

1:25

Western Blot

1:1000
Application Notes
In Western blot, bands may be seen at ~40 kDa and 45 kDa representing the unglycosylated isoforms of LAMP2 and ~110 kDa representing the glycosylated form.

In Simple Western only 10 - 15 ul of the recommended dilution is used per data point.
See Simple Western Antibody Database for Simple Western validation: antibody dilution of 1:25. Separated by Size-Wes, Sally Sue/Peggy Sue. This antibody is CyTOF ready.

Formulation, Preparation, and Storage

Purification

Protein G purified

Formulation

PBS

Format

Azide and BSA Free

Preservative

No Preservative

Concentration

1 mg/ml

Shipping

The product is shipped with polar packs. Upon receipt, store it immediately at the temperature recommended below.

Stability & Storage

Store at 4C short term. Aliquot and store at -20C long term. Avoid freeze-thaw cycles.

Background: LAMP-2/CD107b

LAMP-2 (Lysosome-associated membrane protein 2) is a single-pass type I membrane protein that belongs to a family of membrane glycoproteins (~40 KDa). LAMP-2 protein is encoded by nine exons, with the first 8 exons and a portion of exon 9 encoding the highly glycosylated protein domains within the lysosomal lumen. The transmembrane and cytosolic carboxy-terminal domains of LAMP-2 are encoded by the remaining sequence of exon 9 and conform the receptor for targeting proteins to the lysosome. Splicing of exon 9 in the LAMP-2 pre mRNA leads to various splice forms with distinct cytosolic domains. Three splice variants, LAMP-2A, -2B and -2C, have been identified which shuttle between the plasma membrane, endosomal compartment and lysosomes (1). Tissue specific expression has been described for each LAMP-2 splice variant, with LAMP-2A being more ubiquitously expressed (e.g., placenta, lung, liver, pancreas and prostate), LAMP-2B predominantly expressed in skeletal muscle and LAMP-2C in brain tissue (1). All LAMP-2 splice variants participate in lysosomal degradation processes. LAMP-2A is the only variant that serves as a receptor targeting proteins for lysosomal degradation in chaperone-mediated autophagy (2,3). LAMP-2B is essential for macroautophagy in cardiomyocytes, where it facilitates autophagosome-lysosome fusion. LAMP-2B mutations underscore the myopathy and severe hypertrophic cardiomyopathy in Danon disease which results from deficits in autophagy (1, 4). Vasculopathy of coronary and cerebral arteries is a rare phenotype in Danon patients that is also associated with deficient autophagy processing of proteins and cellular organelles (5). LAMP2C serves as a receptor for DNA and RNA, facilitating their lysosomal degradation through DNA-autophagy and RNA-autophagy, respectively (1).

References

1. Rowland, T. J., Sweet, M. E., Mestroni, L., & Taylor, M. R. G. (2016). Danon disease - dysregulation of autophagy in a multisystem disorder with cardiomyopathy. Journal of Cell Science. https://doi.org/10.1242/jcs.184770

2. Alfaro, I. E., Albornoz, A., Molina, A., Moreno, J., Cordero, K., Criollo, A., & Budini, M. (2019). Chaperone mediated autophagy in the crosstalk of neurodegenerative diseases and metabolic disorders. Frontiers in Endocrinology. https://doi.org/10.3389/fendo.2018.00778

3. Schneider, J. L., & Cuervo, A. M. (2014). Autophagy and human disease: Emerging themes. Current Opinion in Genetics and Development. https://doi.org/10.1016/j.gde.2014.04.003

4. Chi, C., Leonard, A., Knight, W. E., Beussman, K. M., Zhao, Y., Cao, Y., Song, K. (2019). LAMP-2B regulates human cardiomyocyte function by mediating autophagosome lysosome fusion. Proceedings of the National Academy of Sciences of the United States of America. https://doi.org/10.1073/pnas.1808618116

5. Nguyen, H. T., Noguchi, S., Sugie, K., Matsuo, Y., Nguyen, C. T. H., Koito, H., Tsukaguchi, H. (2018). Small-Vessel Vasculopathy Due to Aberrant Autophagy in LAMP-2 Deficiency. Scientific Reports. https://doi.org/10.1038/s41598-018-21602-8

Long Name

Lysosome-associated Membrane Glycoprotein 2

Alternate Names

CD107b, LAMP2, LAMPB, LGP110

Gene Symbol

LAMP2

Additional LAMP-2/CD107b Products

Product Documents for LAMP-2/CD107b Antibody (H4B4) - Azide and BSA Free

Certificate of Analysis

To download a Certificate of Analysis, please enter a lot number in the search box below.

Product Specific Notices for LAMP-2/CD107b Antibody (H4B4) - Azide and BSA Free

This product is for research use only and is not approved for use in humans or in clinical diagnosis. Primary Antibodies are guaranteed for 1 year from date of receipt.

Loading...
Loading...
Loading...
Loading...
Loading...