Skip to main content

LAMP-2/CD107b Antibody (5N8J3)

Novus Biologicals, part of Bio-Techne | Catalog # NBP3-15282

Recombinant Monoclonal Antibody
Novus Biologicals, part of Bio-Techne
Catalog #
Availability
Size / Price
Qty
Loading...
NBP3-15282-20ul
NBP3-15282-100ul

Key Product Details

Species Reactivity

Human, Mouse, Rat

Applications

Immunohistochemistry, Immunohistochemistry-Paraffin, Western Blot

Label

Unconjugated

Antibody Source

Recombinant Monoclonal Rabbit IgG Clone # 5N8J3 expressed in HEK293

Concentration

Please see the vial label for concentration. If unlisted please contact technical services.

Product Specifications

Immunogen

A synthetic peptide corresponding to a sequence within amino acids 311-410 of human LAMP-2/CD107b (P13473). FSIANNNLSYWDAPLGSSYMCNKEQTVSVSGAFQINTFDLRVQPFNVTQGKYSTAQDCSADDDNFLVPIAVGAALAGVLILVLLAYFIGLKHHHAGYEQF

Clonality

Monoclonal

Host

Rabbit

Isotype

IgG

Description

Novus Biologicals Rabbit LAMP-2/CD107b Antibody (5N8J3) (NBP3-15282) is a recombinant monoclonal antibody validated for use in IHC and WB. All Novus Biologicals antibodies are covered by our 100% guarantee.

Scientific Data Images for LAMP-2/CD107b Antibody (5N8J3)

Western Blot: LAMP-2/CD107b Antibody (5N8J3) [NBP3-15282]

Western Blot: LAMP-2/CD107b Antibody (5N8J3) [NBP3-15282]

Western Blot: LAMP-2/CD107b Antibody (5N8J3) [NBP3-15282] - Western blot analysis of extracts of various cell lines, using LAMP-2/CD107b Rabbit mAb (NBP3-15282) at 1:1000 dilution. Secondary antibody: HRP Goat Anti-Rabbit IgG (H+L) at 1:10000 dilution. Lysates/proteins: 25ug per lane. Blocking buffer: 3% nonfat dry milk in TBST. Detection: ECL Enhanced Kit. Exposure time: 3min.
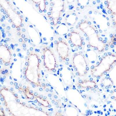
Immunohistochemistry-Paraffin: LAMP-2/CD107b Antibody (5N8J3) [NBP3-15282]

Immunohistochemistry-Paraffin: LAMP-2/CD107b Antibody (5N8J3) [NBP3-15282]

Immunohistochemistry-Paraffin: LAMP-2/CD107b Antibody (5N8J3) [NBP3-15282] - Immunohistochemistry of paraffin-embedded mouse kidney using LAMP-2/CD107b Rabbit mAb (NBP3-15282) at dilution of 1:100 (40x lens).Perform microwave antigen retrieval with 10 mM PBS buffer pH 7.2 before commencing with IHC staining protocol.
Western Blot: LAMP-2/CD107b Antibody (5N8J3) [NBP3-15282]

Western Blot: LAMP-2/CD107b Antibody (5N8J3) [NBP3-15282]

Western Blot: LAMP-2/CD107b Antibody (5N8J3) [NBP3-15282] - Western blot analysis of extracts of A-549 cells, using LAMP-2/CD107b Rabbit mAb (NBP3-15282) at 1:1000 dilution. Secondary antibody: HRP Goat Anti-Rabbit IgG (H+L) at 1:10000 dilution. Lysates/proteins: 25ug per lane. Blocking buffer: 3% nonfat dry milk in TBST. Detection: ECL Basic Kit. Exposure time: 3min.

Applications for LAMP-2/CD107b Antibody (5N8J3)

Application
Recommended Usage

Immunohistochemistry

1:50 - 1:200

Western Blot

1:500 - 1:2000

Formulation, Preparation, and Storage

Purification

Affinity purified

Formulation

PBS (pH 7.3), 50% glycerol, 0.05% BSA

Preservative

0.02% Sodium Azide

Concentration

Please see the vial label for concentration. If unlisted please contact technical services.

Shipping

The product is shipped with polar packs. Upon receipt, store it immediately at the temperature recommended below.

Stability & Storage

Store at -20C. Avoid freeze-thaw cycles.

Background: LAMP-2/CD107b

LAMP-2 (Lysosome-associated membrane protein 2) is a single-pass type I membrane protein that belongs to a family of membrane glycoproteins (~40 KDa). LAMP-2 protein is encoded by nine exons, with the first 8 exons and a portion of exon 9 encoding the highly glycosylated protein domains within the lysosomal lumen. The transmembrane and cytosolic carboxy-terminal domains of LAMP-2 are encoded by the remaining sequence of exon 9 and conform the receptor for targeting proteins to the lysosome. Splicing of exon 9 in the LAMP-2 pre mRNA leads to various splice forms with distinct cytosolic domains. Three splice variants, LAMP-2A, -2B and -2C, have been identified which shuttle between the plasma membrane, endosomal compartment and lysosomes (1). Tissue specific expression has been described for each LAMP-2 splice variant, with LAMP-2A being more ubiquitously expressed (e.g., placenta, lung, liver, pancreas and prostate), LAMP-2B predominantly expressed in skeletal muscle and LAMP-2C in brain tissue (1). All LAMP-2 splice variants participate in lysosomal degradation processes. LAMP-2A is the only variant that serves as a receptor targeting proteins for lysosomal degradation in chaperone-mediated autophagy (2,3). LAMP-2B is essential for macroautophagy in cardiomyocytes, where it facilitates autophagosome-lysosome fusion. LAMP-2B mutations underscore the myopathy and severe hypertrophic cardiomyopathy in Danon disease which results from deficits in autophagy (1, 4). Vasculopathy of coronary and cerebral arteries is a rare phenotype in Danon patients that is also associated with deficient autophagy processing of proteins and cellular organelles (5). LAMP2C serves as a receptor for DNA and RNA, facilitating their lysosomal degradation through DNA-autophagy and RNA-autophagy, respectively (1).

References

1. Rowland, T. J., Sweet, M. E., Mestroni, L., & Taylor, M. R. G. (2016). Danon disease - dysregulation of autophagy in a multisystem disorder with cardiomyopathy. Journal of Cell Science. https://doi.org/10.1242/jcs.184770

2. Alfaro, I. E., Albornoz, A., Molina, A., Moreno, J., Cordero, K., Criollo, A., & Budini, M. (2019). Chaperone mediated autophagy in the crosstalk of neurodegenerative diseases and metabolic disorders. Frontiers in Endocrinology. https://doi.org/10.3389/fendo.2018.00778

3. Schneider, J. L., & Cuervo, A. M. (2014). Autophagy and human disease: Emerging themes. Current Opinion in Genetics and Development. https://doi.org/10.1016/j.gde.2014.04.003

4. Chi, C., Leonard, A., Knight, W. E., Beussman, K. M., Zhao, Y., Cao, Y., Song, K. (2019). LAMP-2B regulates human cardiomyocyte function by mediating autophagosome lysosome fusion. Proceedings of the National Academy of Sciences of the United States of America. https://doi.org/10.1073/pnas.1808618116

5. Nguyen, H. T., Noguchi, S., Sugie, K., Matsuo, Y., Nguyen, C. T. H., Koito, H., Tsukaguchi, H. (2018). Small-Vessel Vasculopathy Due to Aberrant Autophagy in LAMP-2 Deficiency. Scientific Reports. https://doi.org/10.1038/s41598-018-21602-8

Long Name

Lysosome-associated Membrane Glycoprotein 2

Alternate Names

CD107b, LAMP2, LAMPB, LGP110

Gene Symbol

LAMP2

Additional LAMP-2/CD107b Products

Product Documents for LAMP-2/CD107b Antibody (5N8J3)

Certificate of Analysis

To download a Certificate of Analysis, please enter a lot number in the search box below.

Product Specific Notices for LAMP-2/CD107b Antibody (5N8J3)

This product is for research use only and is not approved for use in humans or in clinical diagnosis. Primary Antibodies are guaranteed for 1 year from date of receipt.

Loading...
Loading...
Loading...
Loading...