Skip to main content

Laminin S/Laminin beta 2 Antibody (CL2979) - Azide and BSA Free

Novus Biologicals, part of Bio-Techne | Catalog # NBP3-44401

Novus Biologicals, part of Bio-Techne
Catalog #
Availability
Size / Price
Qty
Loading...
NBP3-44401

Key Product Details

Validated by

Orthogonal Validation

Species Reactivity

Human

Applications

Immunohistochemistry-Paraffin, Western Blot

Label

Unconjugated

Antibody Source

Monoclonal Mouse IgG2A Clone # CL2979

Format

Azide and BSA Free

Concentration

LYOPH mg/ml

Product Specifications

Immunogen

This antibody was generated using a recombinant protein sequence of P55268, with the exact immunogen sequence remaining proprietary.

Clonality

Monoclonal

Host

Mouse

Isotype

IgG2A

Description

Novus Biologicals Mouse Laminin S/Laminin beta 2 Antibody (CL2979) - Azide and BSA Free (NBP2-42387) is a monoclonal antibody validated for use in IHC and WB. All Novus Biologicals antibodies are covered by our 100% guarantee.

Scientific Data Images for Laminin S/Laminin beta 2 Antibody (CL2979) - Azide and BSA Free

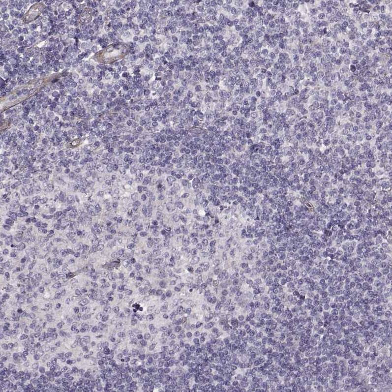
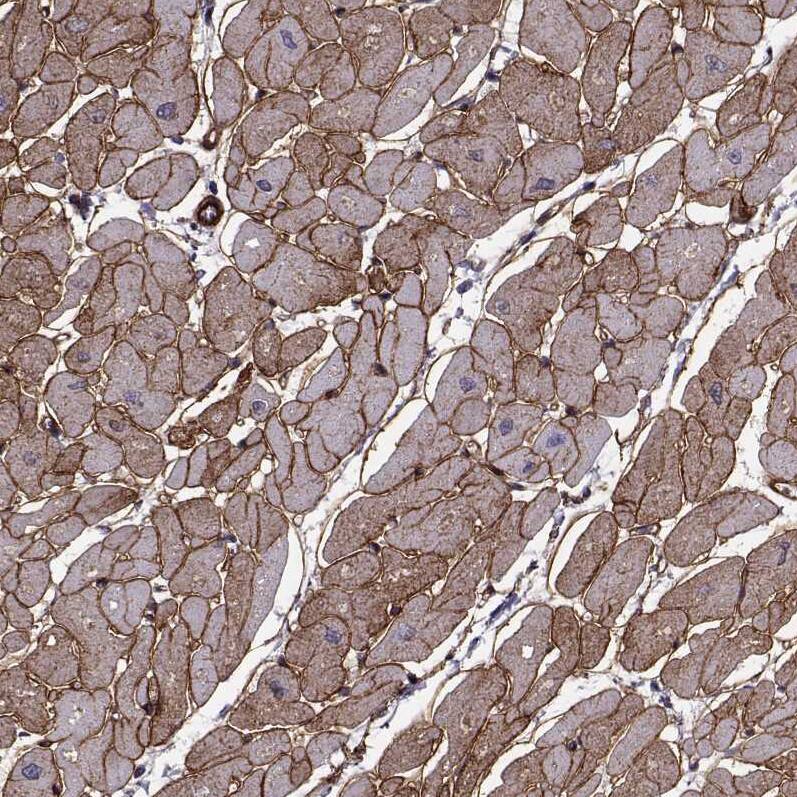
Laminin S/Laminin beta 2 Antibody (CL2979) - Azide and BSA Free Immunohistochemistry-Paraffin: Laminin S/Laminin beta 2 Antibody [NBP3-44401]

Immunohistochemistry-Paraffin: Laminin S/Laminin beta 2 Antibody [NBP3-44401]

Analysis in human heart muscle and tonsil tissues using NBP3-44401 antibody. Corresponding Laminin S/Laminin beta 2 RNA-seq data are presented for the same tissues.
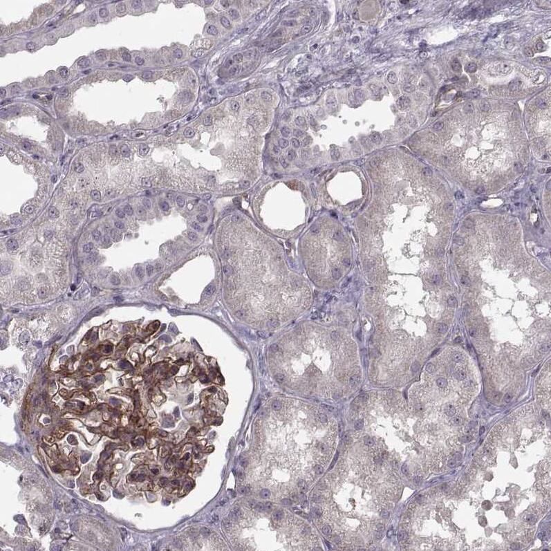
Laminin S/Laminin beta 2 Antibody (CL2979) - Azide and BSA Free Immunohistochemistry-Paraffin: Laminin S/Laminin beta 2 Antibody [NBP3-44401]

Immunohistochemistry-Paraffin: Laminin S/Laminin beta 2 Antibody [NBP3-44401]

Staining of human kidney shows moderate membranous positivity in basement membrane of cells in glomeruli.
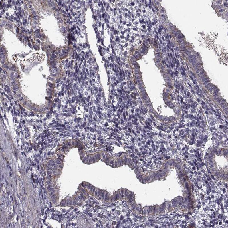
Laminin S/Laminin beta 2 Antibody (CL2979) - Azide and BSA Free Immunohistochemistry-Paraffin: Laminin S/Laminin beta 2 Antibody [NBP3-44401]

Immunohistochemistry-Paraffin: Laminin S/Laminin beta 2 Antibody [NBP3-44401]

Staining of human endometrium shows moderate positivity in basement membrane of glandular cells.

Applications for Laminin S/Laminin beta 2 Antibody (CL2979) - Azide and BSA Free

Application
Recommended Usage

Immunohistochemistry-Paraffin

1:2500 - 1:5000

Western Blot

1 ug/ml
Application Notes
For IHC-Paraffin, HIER pH 6 retrieval is recommended.

Formulation, Preparation, and Storage

Purification

Protein A purified

Reconstitution

Centrifuge the vial of lyophilized antibody at 12,000 x g for 20 seconds. Reconstitute by adding sterile, distilled water to achieve a final antibody concentration of 1mg/ml.

Formulation

Lyophilized from a 0.2 um filtered solution in PBS with Trehalose

Format

Azide and BSA Free

Preservative

No Preservative

Concentration

LYOPH mg/ml

Shipping

The product is shipped at ambient temperature. Upon receipt, store it immediately at the temperature recommended below.

Stability & Storage

Store at 4C short term. Aliquot and store at -20C long term. Avoid freeze-thaw cycles.

Background: Laminin S

The Laminins comprise a growing family of disulfide-linked heterotrimers consisting of three genetically distinct polypeptide chains, designated alpha, beta and gamma. A major component of the basal lamina, Laminins play a crucial role in providing a scaffolding upon which tissues are assembled and which serves as a physical barrier separating specialized tissues. During embryogenesis and early development, cells migrate along basement membranes, which are required for the polarization of cells. The beta-2 laminin chain plays a role in melanoma spread, promoting tumor migration along the abluminal surface of vessel, a phenomenon which has been termed extra-vascular migratory metastasis.

Long Name

Laminin, beta 2

Alternate Names

LAMB2, Laminin beta 2

Gene Symbol

LAMB2

Additional Laminin S Products

Product Documents for Laminin S/Laminin beta 2 Antibody (CL2979) - Azide and BSA Free

Certificate of Analysis

To download a Certificate of Analysis, please enter a lot number in the search box below.

Product Specific Notices for Laminin S/Laminin beta 2 Antibody (CL2979) - Azide and BSA Free

This product is for research use only and is not approved for use in humans or in clinical diagnosis. Primary Antibodies are guaranteed for 1 year from date of receipt.

Loading...
Loading...
Loading...
Loading...
Loading...