Skip to main content

Laminin gamma 1 Antibody (CL3195) - Azide and BSA Free

Novus Biologicals, part of Bio-Techne | Catalog # NBP3-44406

Novus Biologicals, part of Bio-Techne

Key Product Details

Species Reactivity

Human

Applications

Immunohistochemistry-Paraffin, Western Blot

Label

Unconjugated

Antibody Source

Monoclonal Mouse IgG2B Clone # CL3195

Format

Azide and BSA Free

Concentration

LYOPH mg/ml

Product Specifications

Immunogen

This antibody was generated using a recombinant protein sequence of P11047, with the exact immunogen sequence remaining proprietary.

Clonality

Monoclonal

Host

Mouse

Isotype

IgG2B

Description

Novus Biologicals Mouse Laminin gamma 1 Antibody (CL3195) - Azide and BSA Free (NBP2-42394) is a monoclonal antibody validated for use in IHC and WB. All Novus Biologicals antibodies are covered by our 100% guarantee.

Scientific Data Images for Laminin gamma 1 Antibody (CL3195) - Azide and BSA Free

Laminin gamma 1 Antibody (CL3195) - Azide and BSA Free Immunohistochemistry-Paraffin: Laminin gamma 1 Antibody [NBP3-44406]

Immunohistochemistry-Paraffin: Laminin gamma 1 Antibody [NBP3-44406]

Staining of human cerebellum shows strong immunoreactivity in endothelium.
Laminin gamma 1 Antibody (CL3195) - Azide and BSA Free Immunohistochemistry-Paraffin: Laminin gamma 1 Antibody [NBP3-44406]

Immunohistochemistry-Paraffin: Laminin gamma 1 Antibody [NBP3-44406]

Staining of human fallopian tube shows strong positivity in basement membrane of glandular epithelium.
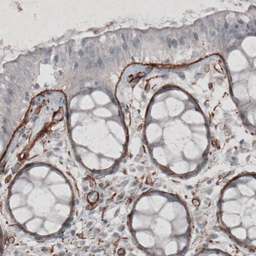
Laminin gamma 1 Antibody (CL3195) - Azide and BSA Free Immunohistochemistry-Paraffin: Laminin gamma 1 Antibody [NBP3-44406]

Immunohistochemistry-Paraffin: Laminin gamma 1 Antibody [NBP3-44406]

Staining of human kidney shows strong immunoreactivity in basement membrane of renal tubules and membranous positivity in glomeruli.

Applications for Laminin gamma 1 Antibody (CL3195) - Azide and BSA Free

Application
Recommended Usage

Immunohistochemistry-Paraffin

1:500 - 1:1000

Western Blot

1 ug/ml
Application Notes
For IHC-Paraffin, HIER pH 6 retrieval is recommended.

Formulation, Preparation, and Storage

Purification

Protein A purified

Reconstitution

Centrifuge the vial of lyophilized antibody at 12,000 x g for 20 seconds. Reconstitute by adding sterile, distilled water to achieve a final antibody concentration of 1mg/ml.

Formulation

Lyophilized from a 0.2 um filtered solution in PBS with Trehalose

Format

Azide and BSA Free

Preservative

No Preservative

Concentration

LYOPH mg/ml

Shipping

The product is shipped at ambient temperature. Upon receipt, store it immediately at the temperature recommended below.

Stability & Storage

Store at 4C short term. Aliquot and store at -20C long term. Avoid freeze-thaw cycles.

Background: Laminin gamma 1

Laminins are essential and abundant structural non-collagenous glycoproteins localizing to basement membranes. Basement membranes (cell-associated extracellular matrices (ECMs)) are polymers of Laminins with stabilizing Type IV Collagen networks, Nidogen and several proteoglycans. Basement membranes are found under epithelial layers, around the endothelium of blood vessels, and surrounding muscle, peripheral nerve and fat cells. Formation of basement membranes influences cell proliferation, phenotype, migration, gene expression and tissue architecture. Each Laminin is a heterotrimer of alpha, beta and gamma chain subunits that undergoes cell-secretion and incorporation into the ECM. Laminins can self-assemble, bind to other matrix macromolecules and have unique and shared cell interactions mediated by Integrins, dystroglycan and cognate Laminin receptors. The human Laminin gamma-1 gene maps to chromosome 1q31 and is ubiquitously expressed in tissues that produce basement membranes.

Alternate Names

LAMC1, Laminin B2

Gene Symbol

LAMC1

Additional Laminin gamma 1 Products

Product Documents for Laminin gamma 1 Antibody (CL3195) - Azide and BSA Free

Certificate of Analysis

To download a Certificate of Analysis, please enter a lot number in the search box below.

Product Specific Notices for Laminin gamma 1 Antibody (CL3195) - Azide and BSA Free

This product is for research use only and is not approved for use in humans or in clinical diagnosis. Primary Antibodies are guaranteed for 1 year from date of receipt.

Loading...
Loading...
Loading...
Loading...
Loading...