Skip to main content

Laminin beta 1 Antibody - BSA Free

Novus Biologicals, part of Bio-Techne | Catalog # NB120-6571

Novus Biologicals, part of Bio-Techne

Key Product Details

Species Reactivity

Human

Applications

Immunohistochemistry, Immunohistochemistry-Paraffin, Western Blot, ELISA, Immunocytochemistry/ Immunofluorescence, Immunoprecipitation, Dot Blot

Label

Unconjugated

Antibody Source

Polyclonal Rabbit IgG

Format

BSA Free

Concentration

Please see the vial label for concentration. If unlisted please contact technical services.

Product Specifications

Immunogen

Laminin beta 1 Antibody was produced by repeated immunizations with a mixture of synthetic peptides corresponding to regions of adherence on laminin. (Uniprot: P07942)

Reactivity Notes

This antibody reacts with most mammalian Laminin beta 1s and has negligible cross-reactivity with Type I, II, III, IV, V or VI Collagens or Fibronectin. Non-specific cross-reaction of anti-Laminin beta 1 antibodies with other human serum proteins or non-Laminin beta 1 extracellular matrix proteins is negligible.

Localization

Extracellular. Found in the basement membranes.

Specificity

Typically less than 1% cross-reactivity against other extracellular matrix proteins was detected by ELISA against purified standards. This antibody reacts with most mammalian Laminin beta 1s and has negligible cross-reactivity with Type I, II, III, IV, V or VI Collagens or Fibronectin. Non-specific cross-reaction of anti-Laminin beta 1 antibodies with other human serum proteins or non-Laminin beta 1 extracellular matrix proteins is negligible.

Marker

Schwann Cell Marker

Clonality

Polyclonal

Host

Rabbit

Isotype

IgG

Description

This antibody has been prepared by immunoaffinity chromatography using immobilized human placental laminin followed by extensive cross-adsorption against human serum proteins and collagen and non-collagen extracellular matrix proteins to remove any unwanted specificities

Store vial at 4C prior to opening. This product is stable at 4C as an undiluted liquid. Dilute only prior to immediate use. For extended storage, mix with an equal volume of glycerol, aliquot contents and freeze at -20C or below. Avoid cycles of freezing and thawing.

Scientific Data Images for Laminin beta 1 Antibody - BSA Free

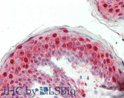
Immunohistochemistry: Laminin beta 1 Antibody [NB120-6571]

Immunohistochemistry: Laminin beta 1 Antibody [NB120-6571]

Immunohistochemistry: Laminin beta 1 Antibody [NB120-6571] - Tissue: skin. Fixation: formalin fixed paraffin embedded. Primary antibody: Anti-Laminin at 5 ug/mL for 1 h at RT. Secondary antibody: Peroxidase rabbit secondary antibody at 1:10,000 for 45 min at RT. Staining: Laminin as precipitated red signal with hematoxylin purple nuclear counterstain.
Immunohistochemistry: Laminin beta 1 Antibody [NB120-6571]

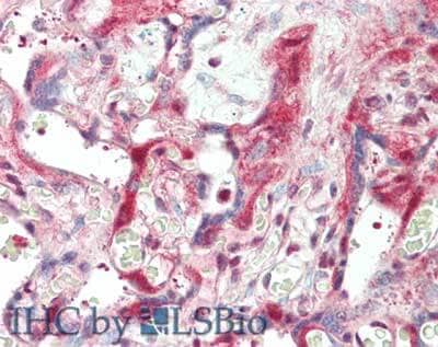
Immunohistochemistry: Laminin beta 1 Antibody [NB120-6571]

Immunohistochemistry: Laminin beta 1 Antibody [NB120-6571] - Tissue: Placenta. Fixation: formalin fixed paraffin embedded. Antigen retrieval: not required. Incubated at 5 ug/mL for 1 h at RT.
Laminin beta 1 Antibody

Laminin beta 1 Antibody

Immunohistochemistry of Laminin beta 1 Antibody. Tissue: human placenta. Fixation: formalin fixed paraffin embedded. Antigen retrieval: not required. Primary antibody: Anti-Laminin at 5 ug/mL for 1 h at RT. Secondary antibody: Peroxidase rabbit secondary antibody at 1:10,000 for 45 min at RT. Staining: Laminin as precipitated red signal with hematoxylin purple nuclear counterstain.

Applications for Laminin beta 1 Antibody - BSA Free

Application
Recommended Usage

ELISA

1:4000-1:8000

Immunocytochemistry/ Immunofluorescence

0.25-2 ug/ml

Immunohistochemistry

1:50-1:200

Immunohistochemistry-Paraffin

1:10-1:500

Immunoprecipitation

1:100

Western Blot

1:500-1:2000
Application Notes
This product has been tested by IHC and was assayed by immunoblot and found to be reactive against Laminin at a dilution of 1:5,000 to 1:10,000. Anti-Laminin (Human) (RABBIT) Antibody was also assayed against 1.0 ug of Laminin in a standard ELISA using Peroxidase conjugated Affinity Purified anti-Rabbit IgG [H&L] (Goat) and (ABTS (2,2'-azino-bis-[3-ethylbenthiazoline-6-sulfonic acid]) as a substrate for 30 minutes at room temperature. A working dilution of 1:4,000 to 1:8,000 of the stock concentration is suggested for this product. For immunohistochemistry on paraffin embedded tissue dilute the product 1:50 to 1:200. Specific conditions should be optimized by researcher.

Formulation, Preparation, and Storage

Purification

Immunogen affinity purified

Formulation

0.125 M Sodium Borate, 0.075 M Sodium Chloride, 0.005 M EDTA, pH 8.0

Format

BSA Free

Preservative

0.01% Sodium Azide

Concentration

Please see the vial label for concentration. If unlisted please contact technical services.

Shipping

The product is shipped with polar packs. Upon receipt, store it immediately at the temperature recommended below.

Stability & Storage

Store at 4C short term. For extended storage, add an equal volume of glycerol, aliquot and store at -20C or below. Avoid repeated freeze-thaw cycles.

Background: Laminin beta 1

Laminin, the most abundant structural and biologically active component in basement membranes, is a complex extracellular glycoprotein with an approximate molecular weight of 900 kDa. It plays an important role in many aspects of the cell biology. Laminin is composed of one A chain (400 kDa) one B1 chain (215 kDa) and one B2 chain (205 kDa) all held together by disulfide bonds. The molecule has a cross like form with globular units near the ends of each chain, the sites where it is bound to Collagen IV, heparan sulfate, proteoglycan as well as to the surface of epithelial cells. Laminins from various species have common antigenic determinants. Laminin is only found in significant quantities in basement membranes, the thin extracellular matrices that surround epithelial tissue, nerve, fat cells and smooth, striated and cardiac muscle. It has been found to modulate cell differentiation, cell shaping and also cell movement because it appears to be an important cell substrate adhesion protein. Variations in the expression of this protein have been observed in embryogenesis, organogenesis, post traumatic healing and cancer. The greatest interest in laminin has been provoked by the discovery of its ability to promote neurite regeneration.

Alternate Names

CLM, cutis laxa with marfanoid phenotype, Laminin B1 chain, laminin subunit beta-1, laminin, beta 1, Laminin-1 subunit beta, Laminin-10 subunit beta, Laminin-12 subunit beta, Laminin-2 subunit beta, Laminin-6 subunit beta, Laminin-8 subunit beta, MGC142015

Gene Symbol

LAMB1

UniProt

Additional Laminin beta 1 Products

Product Documents for Laminin beta 1 Antibody - BSA Free

Certificate of Analysis

To download a Certificate of Analysis, please enter a lot number in the search box below.

Product Specific Notices for Laminin beta 1 Antibody - BSA Free

This product is for research use only and is not approved for use in humans or in clinical diagnosis. Primary Antibodies are guaranteed for 1 year from date of receipt.

Loading...
Loading...
Loading...
Loading...