Skip to main content

Laminin Antibody (CL2968) - Azide and BSA Free

Novus Biologicals, part of Bio-Techne | Catalog # NBP3-43781

Novus Biologicals, part of Bio-Techne

Key Product Details

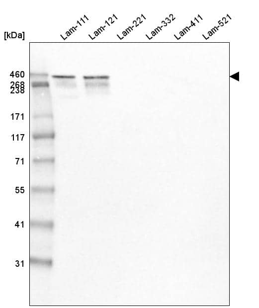
Validated by

Orthogonal Validation

Species Reactivity

Human

Applications

Immunohistochemistry-Paraffin, Western Blot

Label

Unconjugated

Antibody Source

Monoclonal Mouse IgG1 Clone # CL2968

Format

Azide and BSA Free

Concentration

LYOPH mg/ml

Product Specifications

Immunogen

This antibody was generated using a recombinant protein sequence of P25391, with the exact immunogen sequence remaining proprietary.

Clonality

Monoclonal

Host

Mouse

Isotype

IgG1

Description

Novus Biologicals Mouse Laminin Antibody (CL2968) - Azide and BSA Free (NBP2-42384) is a monoclonal antibody validated for use in IHC and WB. All Novus Biologicals antibodies are covered by our 100% guarantee.

Scientific Data Images for Laminin Antibody (CL2968) - Azide and BSA Free

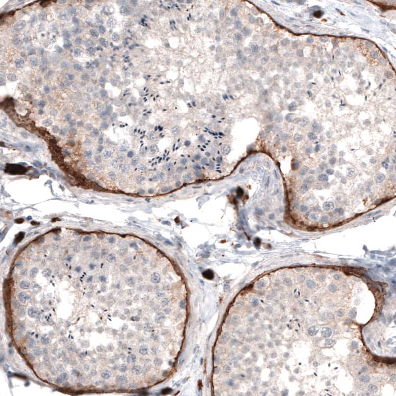
Laminin Antibody (CL2968) - Azide and BSA Free Immunohistochemistry-Paraffin: Laminin Antibody [NBP3-43781]

Immunohistochemistry-Paraffin: Laminin Antibody [NBP3-43781]

Analysis in human testis and tonsil tissues using NBP3-43781 antibody. Corresponding Laminin RNA-seq data are presented for the same tissues.
Laminin Antibody (CL2968) - Azide and BSA Free Immunohistochemistry-Paraffin: Laminin Antibody [NBP3-43781]

Immunohistochemistry-Paraffin: Laminin Antibody [NBP3-43781]

Staining of human gastrointestinal shows no positivity in basement membrane of glandular cells as expected.
Laminin Antibody (CL2968) - Azide and BSA Free Immunohistochemistry-Paraffin: Laminin Antibody [NBP3-43781]

Immunohistochemistry-Paraffin: Laminin Antibody [NBP3-43781]

Staining of human pancreas shows no positivity in exocrine glandular cells as expected.

Applications for Laminin Antibody (CL2968) - Azide and BSA Free

Application
Recommended Usage

Immunohistochemistry-Paraffin

1:500 - 1:1000

Western Blot

1 ug/ml
Application Notes
For IHC-Paraffin, HIER pH 6 retrieval is recommended.

Formulation, Preparation, and Storage

Purification

Protein A purified

Reconstitution

Centrifuge the vial of lyophilized antibody at 12,000 x g for 20 seconds. Reconstitute by adding sterile, distilled water to achieve a final antibody concentration of 1mg/ml.

Formulation

Lyophilized from a 0.2 um filtered solution in PBS with Trehalose

Format

Azide and BSA Free

Preservative

No Preservative

Concentration

LYOPH mg/ml

Shipping

The product is shipped at ambient temperature. Upon receipt, store it immediately at the temperature recommended below.

Stability & Storage

Store at 4C short term. Aliquot and store at -20C long term. Avoid freeze-thaw cycles.

Background: Laminin

Laminin, the most abundant structural and biologically active component in basement membranes, is a complex extracellular glycoprotein with high molecular weight (900 kDa). Laminin is composed of a laminin alpha (400 kDa), beta (215 kDa) and gamma chain (205 kDa), whose multidomain proteins are encoded by distinct genes (LAMA, LAMB, LAMC respectively) and have several isoforms of each chain. The biological functions of the different chains and trimer molecules are largely unknown, but some of the chains have been shown to differ with respect to their tissue distribution, reflecting diverse functions in vivo. Laminin is thought to mediate the attachment, migration and organization of cells into tissues during embryonic development by interacting with other extracellular matrix components.

Laminins are an important and biologically active part of the basal lamina, influencing cell adhesion, differentiation, migration, signaling, neurite outgrowth and metastasis, where anti-laminin antibodies can be widely used to label blood vessels and basement membranes (1). Significant quantities of laminin are found in basement membranes, the thin extracellular matrices that surround epithelial tissue, nerve, fat cells and smooth, striated and cardiac muscle. Excessive serum laminin levels have been associated with fibrosis, cirrhosis and hepatitis, serious and frequent complications of chronic active liver disease characterized by excessive deposition of various normal components of connective tissue in liver (2). Epithelial mesenchymal transition (EMT) biomarkers include fibronectin, laminin, N-cadherin, and Slug (3).

References

1. Yang, M. Y., Chiao, M. T., Lee, H. T., Chen, C. M., Yang, Y. C., Shen, C. C., & Ma, H. I. (2015). An innovative three-dimensional gelatin foam culture system for improved study of glioblastoma stem cell behavior. J Biomed Mater Res B Appl Biomater, 103(3), 618-628. doi:10.1002/jbm.b.33214

2. Mak, K. M., & Mei, R. (2017). Basement Membrane Type IV Collagen and Laminin: An Overview of Their Biology and Value as Fibrosis Biomarkers of Liver Disease. Anat Rec (Hoboken), 300(8), 1371-1390. doi:10.1002/ar.23567

3. Choi, S., Yu, J., Park, A., Dubon, M. J., Do, J., Kim, Y., . . . Park, K. S. (2019). BMP-4 enhances epithelial mesenchymal transition and cancer stem cell properties of breast cancer cells via Notch signaling. Sci Rep, 9(1), 11724. doi:10.1038/s41598-019-48190-5

Alternate Names

LAMA, Laminin A chain, laminin subunit alpha-1, laminin, alpha 1, Laminin-1 subunit alpha, Laminin-3 subunit alpha, PTBHS, S-LAM alpha, S-laminin subunit alpha

Gene Symbol

LAMA1

Additional Laminin Products

Product Documents for Laminin Antibody (CL2968) - Azide and BSA Free

Certificate of Analysis

To download a Certificate of Analysis, please enter a lot number in the search box below.

Product Specific Notices for Laminin Antibody (CL2968) - Azide and BSA Free

This product is for research use only and is not approved for use in humans or in clinical diagnosis. Primary Antibodies are guaranteed for 1 year from date of receipt.

Loading...
Loading...
Loading...
Loading...
Loading...
Loading...