Skip to main content

Laminin alpha 5 Antibody (CL3118) - BSA Free

Novus Biologicals, part of Bio-Techne | Catalog # NBP2-42391

Novus Biologicals, part of Bio-Techne
Catalog #
Availability
Size / Price
Qty
Loading...
NBP2-42391

Key Product Details

Validated by

Knockout/Knockdown, Orthogonal Validation

Species Reactivity

Validated:

Human, Rat

Cited:

Human, Rat

Applications

Validated:

Immunohistochemistry, Immunohistochemistry-Paraffin, Western Blot, Knockdown Validated

Cited:

Immunohistochemistry-Paraffin, Western Blot, IF/IHC, IHC-F

Label

Unconjugated

Antibody Source

Monoclonal Mouse IgG1 Clone # CL3118

Format

BSA Free

Concentration

Concentrations vary lot to lot. See vial label for concentration. If unlisted please contact technical services.

Product Specifications

Immunogen

This antibody was developed using a recombinant protein derived from O15230, with the exact immunogen sequence remaining proprietary.

Reactivity Notes

Use in Rat reported in scientific literature (PMID:32157808).

Clonality

Monoclonal

Host

Mouse

Isotype

IgG1

Description

Novus Biologicals Mouse Laminin alpha 5 Antibody (CL3118) - BSA Free (NBP2-42391) is a monoclonal antibody validated for use in IHC and WB. Anti-Laminin alpha 5 Antibody: Cited in 4 publications. All Novus Biologicals antibodies are covered by our 100% guarantee.

Scientific Data Images for Laminin alpha 5 Antibody (CL3118) - BSA Free

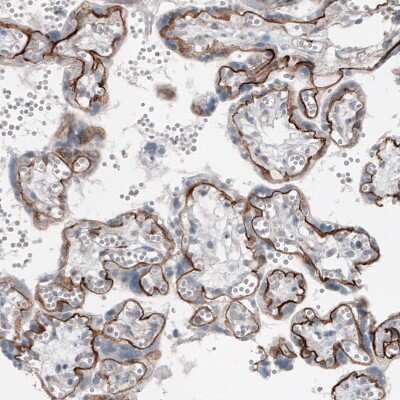
Immunohistochemistry-Paraffin: Laminin alpha 5 Antibody (CL3118) [NBP2-42391]

Immunohistochemistry-Paraffin: Laminin alpha 5 Antibody (CL3118) [NBP2-42391]

Immunohistochemistry-Paraffin: Laminin alpha 5 Antibody (CL3118) [NBP2-42391] - Staining in human placenta and lymph node tissues. Corresponding LAMA5 RNA-seq data are presented for the same tissues.
Western Blot: Laminin alpha 5 Antibody (CL3118) [NBP2-42391]

Western Blot: Laminin alpha 5 Antibody (CL3118) [NBP2-42391]

Western Blot: Laminin alpha 5 Antibody (CL3118) [NBP2-42391] - Analysis in Caco-2 cells transfected with control siRNA, target specific siRNA probe #1 and #2, using Anti-LAMA5 antibody. Remaining relative intensity is presented. Loading control: Anti-GAPDH.
Immunohistochemistry: Laminin alpha 5 Antibody (CL3118) [NBP2-42391] -

Immunohistochemistry: Laminin alpha 5 Antibody (CL3118) [NBP2-42391] -

Laminin-alpha-5-Antibody-CL3118-Immunohistochemistry-NBP2-42391-img0028.jpg

Applications for Laminin alpha 5 Antibody (CL3118) - BSA Free

Application
Recommended Usage

Immunohistochemistry

1:200 - 1:500

Immunohistochemistry-Paraffin

1:200-1:500

Western Blot

1 ug/ml
Application Notes
For IHC-Paraffin, HIER pH 6 retrieval is recommended.

Formulation, Preparation, and Storage

Purification

Protein A purified

Formulation

PBS (pH 7.2) and 40% Glycerol

Format

BSA Free

Preservative

0.02% Sodium Azide

Concentration

Concentrations vary lot to lot. See vial label for concentration. If unlisted please contact technical services.

Shipping

The product is shipped with polar packs. Upon receipt, store it immediately at the temperature recommended below.

Stability & Storage

Store at 4C short term. Aliquot and store at -20C long term. Avoid freeze-thaw cycles.

Background: Laminin alpha 5

Components of the extracellular matrix exert myriad effects on tissues throughout the body. In particular, the laminins, a family of heterotrimeric extracellular glycoproteins, affect tissue development and integrity in such diverse organs as the kidney, lung, skin, and nervous system. It is thought that laminins mediate the attachment, migration, and organization of cells into tissues during embryonic development by interacting with other extracellular matrix components. Laminins function as heterotrimeric complexes of alpha, beta, and gamma chains, with each chain type representing a different subfamily of proteins. The protein encoded by this gene belongs to the alpha subfamily of laminin chains and is a major component of basement membranes. Two transcript variants encoding different isoforms have been found for this gene, but the full-length nature of one of them has not been determined.

Alternate Names

KIAA0533, KIAA1907, laminin alpha-5 chain, laminin subunit alpha-5, laminin, alpha 5, Laminin-10 subunit alpha, Laminin-11 subunit alpha, Laminin-15 subunit alpha

Gene Symbol

LAMA5

UniProt

Additional Laminin alpha 5 Products

Product Documents for Laminin alpha 5 Antibody (CL3118) - BSA Free

Certificate of Analysis

To download a Certificate of Analysis, please enter a lot number in the search box below.

Product Specific Notices for Laminin alpha 5 Antibody (CL3118) - BSA Free

This product is for research use only and is not approved for use in humans or in clinical diagnosis. Primary Antibodies are guaranteed for 1 year from date of receipt.

Loading...
Loading...
Loading...
Loading...