Skip to main content

Laminin alpha 4 Antibody (OTI5G8)

Novus Biologicals, part of Bio-Techne | Catalog # NBP2-45582

Novus Biologicals, part of Bio-Techne

Key Product Details

Species Reactivity

Human, Mouse, Rat

Applications

Immunohistochemistry, Immunohistochemistry-Paraffin, Western Blot

Label

Unconjugated

Antibody Source

Monoclonal Mouse IgG1 Clone # OTI5G8

Concentration

1 mg/ml

Product Specifications

Immunogen

Human recombinant protein fragment corresponding to amino acids 25-270 of human LAMA4(NP_001098676) produced in E.coli.

Reactivity Notes

Please note that this antibody is reactive to Mouse and derived from the same host, Mouse. Mouse-On-Mouse blocking reagent may be needed for IHC and ICC experiments to reduce high background signal. You can find these reagents under catalog numbers PK-2200-NB and MP-2400-NB. Please contact Technical Support if you have any questions.

Clonality

Monoclonal

Host

Mouse

Isotype

IgG1

Theoretical MW

199.8 kDa.
Disclaimer note: The observed molecular weight of the protein may vary from the listed predicted molecular weight due to post translational modifications, post translation cleavages, relative charges, and other experimental factors.

Description

Novus Biologicals Mouse Laminin alpha 4 Antibody (OTI5G8) (NBP2-45582) is a monoclonal antibody validated for use in IHC and WB. All Novus Biologicals antibodies are covered by our 100% guarantee.

Scientific Data Images for Laminin alpha 4 Antibody (OTI5G8)

Western Blot: Laminin alpha 4 Antibody (OTI5G8) [NBP2-45582]

Western Blot: Laminin alpha 4 Antibody (OTI5G8) [NBP2-45582]

Western Blot: Laminin alpha 4 Antibody (5G8) [NBP2-45582] - Analysis of HEK293T cells were transiently transfected with the pCMV6-ENTRY control (Left lane) or pCMV6-ENTRY Laminin alpha 4.
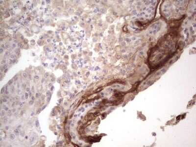
Immunohistochemistry: Laminin alpha 4 Antibody (OTI5G8) [NBP2-45582]

Immunohistochemistry: Laminin alpha 4 Antibody (OTI5G8) [NBP2-45582]

Immunohistochemistry: Laminin alpha 4 Antibody (5G8) [NBP2-45582] - Analysis of Human lymph node tissue.
Western Blot: Laminin alpha 4 Antibody (OTI5G8) [NBP2-45582]

Western Blot: Laminin alpha 4 Antibody (OTI5G8) [NBP2-45582]

Western Blot: Laminin alpha 4 Antibody (5G8) [NBP2-45582] - Analysis of Carcinoma of Human prostate tissue.

Applications for Laminin alpha 4 Antibody (OTI5G8)

Application
Recommended Usage

Immunohistochemistry

1:150

Western Blot

1:2000

Formulation, Preparation, and Storage

Purification

Immunogen affinity purified

Formulation

PBS (pH 7.3), 1.0% BSA and 50% Glycerol

Preservative

0.02% Sodium Azide

Concentration

1 mg/ml

Shipping

The product is shipped with polar packs. Upon receipt, store it immediately at the temperature recommended below.

Stability & Storage

Store at -20C. Avoid freeze-thaw cycles.

Background: Laminin alpha 4

Laminins are essential and abundant structural non-collagenous glycoproteins localizing to basement membranes. Basement membranes (cellassociated extracellular matrices (ECMs)) are polymers of laminins with stabilizing type IV collagen networks, nidogen, and several proteoglycans.Basement membranes are found under epithelial layers, around the endothelium of blood vessels, and surrounding muscle, peripheral nerve, and fat cells. Formation of basement membranes influences cell proliferation, phenotype, migration, gene expression, and tissue architecture. Each laminin is a heterotrimer of alpha, beta, and gamma chain subunits that undergoes cell-secretion and incorporation into the ECM. Laminins can self-assemble, bind to other matrix macromolecules, and have unique and shared cell interactions mediated by integrins, dystroglycan, and cognate laminin receptors. The human laminin alpha-4 gene maps to chromosome 6q21 and is expressed in adult heart, lung, ovary, small and large intestines, liver, and placenta.

Alternate Names

LAMA4

Gene Symbol

LAMA4

Additional Laminin alpha 4 Products

Product Documents for Laminin alpha 4 Antibody (OTI5G8)

Certificate of Analysis

To download a Certificate of Analysis, please enter a lot number in the search box below.

Product Specific Notices for Laminin alpha 4 Antibody (OTI5G8)

This product is for research use only and is not approved for use in humans or in clinical diagnosis. Primary Antibodies are guaranteed for 1 year from date of receipt.

Loading...
Loading...
Loading...
Loading...