Skip to main content

Laminin alpha 4 Antibody (CL3185) - BSA Free

Novus Biologicals, part of Bio-Techne | Catalog # NBP2-42393

Novus Biologicals, part of Bio-Techne
Catalog #
Availability
Size / Price
Qty
Loading...
NBP2-42393-25ul
NBP2-42393

Key Product Details

Validated by

Orthogonal Validation

Species Reactivity

Human, Mouse

Applications

Immunohistochemistry, Immunohistochemistry-Paraffin, Western Blot

Label

Unconjugated

Antibody Source

Monoclonal Mouse IgG1 Clone # CL3185

Format

BSA Free

Concentration

Concentrations vary lot to lot. See vial label for concentration. If unlisted please contact technical services.

Product Specifications

Immunogen

This antibody was developed using a recombinant protein derived from Q16363, with the exact immunogen sequence remaining proprietary.

Reactivity Notes

Expected to cross react based on sequence identity: Rat (85%). Please note that this antibody is reactive to Mouse and derived from the same host, Mouse. Mouse-On-Mouse blocking reagent may be needed for IHC and ICC experiments to reduce high background signal. You can find these reagents under catalog numbers PK-2200-NB and MP-2400-NB. Please contact Technical Support if you have any questions

Clonality

Monoclonal

Host

Mouse

Isotype

IgG1

Description

Novus Biologicals Mouse Laminin alpha 4 Antibody (CL3185) - BSA Free (NBP2-42393) is a monoclonal antibody validated for use in IHC and WB. Anti-Laminin alpha 4 Antibody: Cited in 1 publication. All Novus Biologicals antibodies are covered by our 100% guarantee.

Scientific Data Images for Laminin alpha 4 Antibody (CL3185) - BSA Free

Immunohistochemistry-Paraffin: Laminin alpha 4 Antibody (CL3185) [NBP2-42393]

Immunohistochemistry-Paraffin: Laminin alpha 4 Antibody (CL3185) [NBP2-42393]

Immunohistochemistry-Paraffin: Laminin alpha 4 Antibody (CL3185) [NBP2-42393] - Analysis in human smooth muscle and lymph node tissues using NBP2-42393 antibody. Corresponding LAMA4 RNA-seq data are presented for the same tissues.
Western Blot: Laminin alpha 4 Antibody (CL3185) [NBP2-42393]

Western Blot: Laminin alpha 4 Antibody (CL3185) [NBP2-42393]

Western Blot: Laminin alpha 4 Antibody (CL3185) [NBP2-42393] - Lane 1: Marker [kDa] 460, 268, 238, 171, 117, 71, 55, 41, 31 Lane 2: Purified human recombinant protein Laminin-411 Lane 3: Purified human recombinant protein Laminin-421 Lane 4: Purified human recombinant protein Laminin-511 Lane 5: Purified human recombinant protein Laminin-121 Lane 6: Purified human recombinant protein Laminin-221 Lane 7: Purified human recombinant protein Laminin-332
Immunohistochemistry-Paraffin: Laminin alpha 4 Antibody (CL3185) [NBP2-42393]

Immunohistochemistry-Paraffin: Laminin alpha 4 Antibody (CL3185) [NBP2-42393]

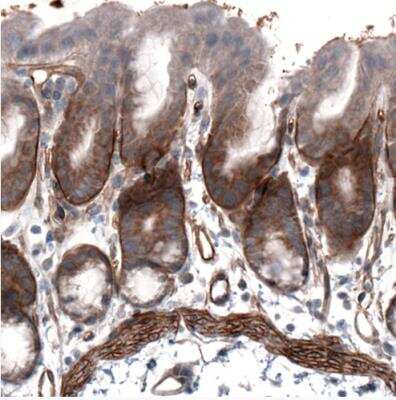
Immunohistochemistry-Paraffin: Laminin alpha 4 Antibody (CL3185) [NBP2-42393] - Staining of human rectum shows strong immunoreactivity in basement membrane of glandular epithelium.

Applications for Laminin alpha 4 Antibody (CL3185) - BSA Free

Application
Recommended Usage

Immunohistochemistry

1:500 - 1:1000

Immunohistochemistry-Paraffin

1:500-1:1000

Western Blot

1 ug/ml
Application Notes
For IHC-Paraffin, HIER pH 6 retrieval is recommended.

Formulation, Preparation, and Storage

Purification

Protein A purified

Formulation

PBS (pH 7.2) and 40% Glycerol

Format

BSA Free

Preservative

0.02% Sodium Azide

Concentration

Concentrations vary lot to lot. See vial label for concentration. If unlisted please contact technical services.

Shipping

The product is shipped with polar packs. Upon receipt, store it immediately at the temperature recommended below.

Stability & Storage

Store at 4C short term. Aliquot and store at -20C long term. Avoid freeze-thaw cycles.

Background: Laminin alpha 4

Laminins are essential and abundant structural non-collagenous glycoproteins localizing to basement membranes. Basement membranes (cellassociated extracellular matrices (ECMs)) are polymers of laminins with stabilizing type IV collagen networks, nidogen, and several proteoglycans.Basement membranes are found under epithelial layers, around the endothelium of blood vessels, and surrounding muscle, peripheral nerve, and fat cells. Formation of basement membranes influences cell proliferation, phenotype, migration, gene expression, and tissue architecture. Each laminin is a heterotrimer of alpha, beta, and gamma chain subunits that undergoes cell-secretion and incorporation into the ECM. Laminins can self-assemble, bind to other matrix macromolecules, and have unique and shared cell interactions mediated by integrins, dystroglycan, and cognate laminin receptors. The human laminin alpha-4 gene maps to chromosome 6q21 and is expressed in adult heart, lung, ovary, small and large intestines, liver, and placenta.

Alternate Names

LAMA4

Gene Symbol

LAMA4

UniProt

Additional Laminin alpha 4 Products

Product Documents for Laminin alpha 4 Antibody (CL3185) - BSA Free

Certificate of Analysis

To download a Certificate of Analysis, please enter a lot number in the search box below.

Product Specific Notices for Laminin alpha 4 Antibody (CL3185) - BSA Free

This product is for research use only and is not approved for use in humans or in clinical diagnosis. Primary Antibodies are guaranteed for 1 year from date of receipt.

Loading...
Loading...
Loading...
Loading...