Skip to main content

Laminin alpha 3 Antibody (C1) - BSA Free

Novus Biologicals, part of Bio-Techne | Catalog # NBP3-41917

Novus Biologicals, part of Bio-Techne
Catalog #
Availability
Size / Price
Qty
Loading...
NBP3-41917

Key Product Details

Species Reactivity

Human, Porcine

Applications

Immunohistochemistry, Immunohistochemistry-Paraffin

Label

Unconjugated

Antibody Source

Monoclonal Mouse IgG2b Kappa Clone # C1

Format

BSA Free

Concentration

1 mg/ml

Product Specifications

Immunogen

Immunized with recombinant Human Laminin alpha 3 (Uniprot#: Q16787; Gln47-Leu296 (Uniprot#: Q16787)

Clonality

Monoclonal

Host

Mouse

Isotype

IgG2b Kappa

Description

Novus Biologicals Mouse Laminin alpha 3 Antibody (C1) - BSA Free (NBP3-41917) is a monoclonal antibody validated for use in IHC. All Novus Biologicals antibodies are covered by our 100% guarantee.

Scientific Data Images for Laminin alpha 3 Antibody (C1) - BSA Free

Laminin alpha 3 Antibody (C1)

Immunohistochemistry-Paraffin: Laminin alpha 3 Antibody (C1) [NBP3-41917] -

Immunohistochemistry-Paraffin: Laminin alpha 3 Antibody (C1) [NBP3-41917] - DAB staining on IHC-P; Sample: Human Cerebrum Tissue; Primary Ab: 20ug/ml NBP3-41917; Second Ab: 2ug/mL HRP-Linked Caprine Anti-Mouse IgG Polyclonal Antibody
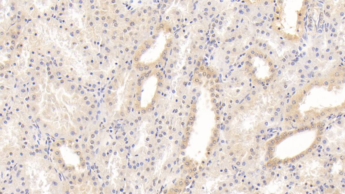
Laminin alpha 3 Antibody (C1)

Immunohistochemistry-Paraffin: Laminin alpha 3 Antibody (C1) [NBP3-41917] -

Immunohistochemistry-Paraffin: Laminin alpha 3 Antibody (C1) [NBP3-41917] - DAB staining on IHC-P; Sample: Human Kidney Tissue; Primary Ab: 20ug/ml NBP3-41917; Second Ab: 2ug/mL HRP-Linked Caprine Anti-Mouse IgG Polyclonal Antibody

Applications for Laminin alpha 3 Antibody (C1) - BSA Free

Application
Recommended Usage

Immunohistochemistry

5-20ug/mL

Immunohistochemistry-Paraffin

5-20ug/mL

Formulation, Preparation, and Storage

Purification

Protein A or G purified

Formulation

0.01M PBS, pH7.4, 50% glycerol

Format

BSA Free

Preservative

0.05% Proclin 300

Concentration

1 mg/ml

Shipping

The product is shipped with polar packs. Upon receipt, store it immediately at the temperature recommended below.

Stability & Storage

Store at 4C short term. Aliquot and store at -20C long term. Avoid freeze-thaw cycles.

Background: Laminin alpha 3

Laminins are basement membrane components thought to mediate the attachment, migration and organization of cells into tissues during embryonic development by interacting with other extracellular matrix components. The protein encoded by this gene is the alpha-3 subunit of laminin 5, which is a complex glycoprotein composed of three subunits (alpha, beta, and gamma). Laminin 5 is thought to be involved in cell adhesion, signal transduction and differentiation of keratinocytes. Mutations in this gene have been identified as the cause of Herlitz type junctional epidermolysis bullosa. Alternatively spliced transcript variants encoding different isoforms have been identified for this gene. (provided by RefSeq)

Alternate Names

BM600, BM600 150kD subunit, BM600-150kDa, E170, epiligrin, Epiligrin 170 kDa subunit, epiligrin alpha 3 subunit, Epiligrin subunit alpha, kalinin 165kD subunit, Kalinin subunit alpha, kalinin-165kDa, lama3a, laminin subunit alpha-3, laminin, alpha 3, laminin, alpha 3 (nicein (150kD), kalinin (165kD), BM600 (150kD), epilegrin), laminin-5 alpha 3 chain, Laminin-5 subunit alpha, Laminin-6 subunit alpha, Laminin-7 subunit alpha, LAMNA, LOCS, nicein 150kD subunit, Nicein subunit alpha, nicein-150kDa

Gene Symbol

LAMA3

Additional Laminin alpha 3 Products

Product Documents for Laminin alpha 3 Antibody (C1) - BSA Free

Certificate of Analysis

To download a Certificate of Analysis, please enter a lot number in the search box below.

Product Specific Notices for Laminin alpha 3 Antibody (C1) - BSA Free

This product is for research use only and is not approved for use in humans or in clinical diagnosis. Primary Antibodies are guaranteed for 1 year from date of receipt.

Loading...
Loading...
Loading...
Loading...