Skip to main content

Lamin B2 Antibody (J9-C4)

Novus Biologicals, part of Bio-Techne | Catalog # NBP2-66923

Novus Biologicals, part of Bio-Techne
Catalog #
Availability
Size / Price
Qty
Loading...
NBP2-66923

Key Product Details

Validated by

Biological Validation

Species Reactivity

Human, Mouse, Rat

Applications

Immunohistochemistry-Paraffin, Western Blot

Label

Unconjugated

Antibody Source

Monoclonal Mouse IgG1 Clone # J9-C4

Concentration

2 mg/ml

Product Specifications

Immunogen

Synthetic peptide within Human Lamin B2 aa 571-620 / 620. (SwissProt: Q03252 Human)

Localization

Nucleus inner membrane

Clonality

Monoclonal

Host

Mouse

Isotype

IgG1

Description

Novus Biologicals Mouse Lamin B2 Antibody (J9-C4) (NBP2-66923) is a monoclonal antibody validated for use in IHC and WB. All Novus Biologicals antibodies are covered by our 100% guarantee.

Scientific Data Images for Lamin B2 Antibody (J9-C4)

Western Blot: Lamin B2 Antibody (J9-C4) [NBP2-66923]

Western Blot: Lamin B2 Antibody (J9-C4) [NBP2-66923]

Western Blot: Lamin B2 Antibody (J9-C4) [NBP2-66923] - Analysis on Jurkat cell lysate using anti- LMNB2 mouse mAb.
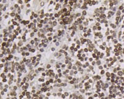
Immunohistochemistry-Paraffin: Lamin B2 Antibody (J9-C4) [NBP2-66923]

Immunohistochemistry-Paraffin: Lamin B2 Antibody (J9-C4) [NBP2-66923]

Immunohistochemistry-Paraffin: Lamin B2 Antibody (J9-C4) [NBP2-66923] - Analysis of paraffin-embedded human lung cancer tissue with Mouse anti-Lamin B2 antibody at 1/1000 dilution. The section was pre-treated using heat mediated antigen retrieval with Tris-EDTA buffer (pH 9.0) for 20 minutes. The tissues were blocked in 1% BSA for 20 minutes at room temperature, washed with ddH2O and PBS, and then probed with the primary antibody at 1/1000 dilution for 1 hour at room temperature. The detection was performed using an HRP conjugated compact polymer system. DAB was used as the chromogen. Tissues were counterstained with hematoxylin and mounted with DPX.

Applications for Lamin B2 Antibody (J9-C4)

Application
Recommended Usage

Western Blot

1:1000-1:2000

Formulation, Preparation, and Storage

Purification

Protein A purified

Formulation

PBS (pH7.4), 0.2% BSA, 40% Glycerol

Preservative

0.05% Sodium Azide

Concentration

2 mg/ml

Shipping

The product is shipped with polar packs. Upon receipt, store it immediately at the temperature recommended below.

Stability & Storage

Store at 4C short term. Aliquot and store at -20C long term. Avoid freeze-thaw cycles.

Background: Lamin B2

An important part of the cell nucleus is formed by nuclear lamina. Nuclear lamins form a network of filaments at the nucleoplasmic site of the nuclear membrane. Two main subtypes of nuclear lamins can be distinguished, i.e. A-type lamins and B-type lamins. The A-type lamins comprise a set of three proteins arising from the same gene by alternative splicing, i.e. Lamin A, Lamin C and lamin Adel10, while the B-type lamins include two proteins arising from two distinct genes, i.e. Lamin B1 and Lamin B2. The nuclear lamins comprise a unique subclass of the intermediate filament protein family. They share a molecular domain organisation with the other intermediate filament proteins in that they are fibrous molecules that have an aminoterminal globular head, a central rod of a-helices and a carboxyterminal globular domain. Many biochemical and molecular features of lamins have been studied, but their functions remain still largely undetermined. One of the functions ascribed to the lamina is the maintenance of the structural integrity of the nucleus. Besides interactions with the nuclear membrane and other intermediate filaments, lamins interact with the nuclear chromatin. Eukaryotic chromatin is organized into loops, which are attached to the nuclear matrix. This organization is thought to contribute to compaction of the chromatin and regulation of gene expression. Lamins, as part of the nuclear matrix, may be involved in these processes since chromatin binding sites have been detected in both A- and B-type lamins.

Alternate Names

lamin B2, lamin-B2, LMN2LAMB2, MGC2721

Gene Symbol

LMNB2

Additional Lamin B2 Products

Product Documents for Lamin B2 Antibody (J9-C4)

Certificate of Analysis

To download a Certificate of Analysis, please enter a lot number in the search box below.

Product Specific Notices for Lamin B2 Antibody (J9-C4)

This product is for research use only and is not approved for use in humans or in clinical diagnosis. Primary Antibodies are guaranteed for 1 year from date of receipt.

Loading...
Loading...
Loading...
Loading...
Loading...