Skip to main content

Lamin B2 Antibody (144) - Azide and BSA Free

Novus Biologicals, part of Bio-Techne | Catalog # NBP2-43834

Novus Biologicals, part of Bio-Techne
Catalog #
Availability
Size / Price
Qty
Loading...
NBP2-43834

Key Product Details

Validated by

Knockout/Knockdown

Species Reactivity

Validated:

Human

Cited:

Human

Applications

Validated:

Immunohistochemistry, Immunohistochemistry-Paraffin, Western Blot, Immunocytochemistry/ Immunofluorescence, Immunoprecipitation

Cited:

Western Blot

Label

Unconjugated

Antibody Source

Monoclonal Mouse IgG2A Clone # 144

Format

Azide and BSA Free

Concentration

Concentrations vary lot to lot. See vial label for concentration. If unlisted please contact technical services.

Product Specifications

Immunogen

Recombinant protein encompassing a sequence within the center region of human Lamin B2. The exact sequence is proprietary.

Reactivity Notes

Bovine (84%).

Clonality

Monoclonal

Host

Mouse

Isotype

IgG2A

Theoretical MW

68 kDa.
Disclaimer note: The observed molecular weight of the protein may vary from the listed predicted molecular weight due to post translational modifications, post translation cleavages, relative charges, and other experimental factors.

Description

Novus Biologicals Mouse Lamin B2 Antibody (144) - Azide and BSA Free (NBP2-43834) is a monoclonal antibody validated for use in IHC, WB, ICC/IF and IP. Anti-Lamin B2 Antibody: Cited in 1 publication. All Novus Biologicals antibodies are covered by our 100% guarantee.

Scientific Data Images for Lamin B2 Antibody (144) - Azide and BSA Free

Western Blot: Lamin B2 Antibody (144) [NBP2-43834]

Western Blot: Lamin B2 Antibody (144) [NBP2-43834]

Western Blot: Lamin B2 Antibody (144) [NBP2-43834] - Non-transfected (-) and transfected (+) HepG2 whole cell extracts (30 ug) were separated by 7.5% SDS-PAGE, and the membrane was blotted with Lamin B2 antibody [144]. The HRP-conjugated anti-mouse IgG antibody (NBP2-19382) was used to detect the primary antibody.
Immunocytochemistry/ Immunofluorescence: Lamin B2 Antibody (144) [NBP2-43834]

Immunocytochemistry/ Immunofluorescence: Lamin B2 Antibody (144) [NBP2-43834]

Immunocytochemistry/Immunofluorescence: Lamin B2 Antibody (144) [NBP2-43834] - Analysis of HeLa cells were fixed in 2% paraformaldehyde for 30 min. Red: LMNB2 protein stained by Lamin B2 antibody [144] diluted at 1:1000. Green: alpha Tubulin antibody diluted at 1:1000. Blue: Hoechst 33342 staining. [Images captured by Olympus FV1000 Confocal Laser Scanning Microscope]
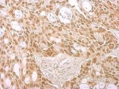
Immunohistochemistry-Paraffin: Lamin B2 Antibody (144) [NBP2-43834]

Immunohistochemistry-Paraffin: Lamin B2 Antibody (144) [NBP2-43834]

Immunohistochemistry-Paraffin: Lamin B2 Antibody (144) [NBP2-43834] - Analysis of Cal27 xenograft. Lamin B2 antibody [144] dilution: 1:200.

Applications for Lamin B2 Antibody (144) - Azide and BSA Free

Application
Recommended Usage

Immunocytochemistry/ Immunofluorescence

1:100-1:1000

Immunohistochemistry

1:100-1:1000

Immunohistochemistry-Paraffin

1:100-1:1000

Immunoprecipitation

1:100-1:500

Western Blot

1:500-1:3000

Formulation, Preparation, and Storage

Purification

Protein G purified

Formulation

PBS

Format

Azide and BSA Free

Preservative

No Preservative

Concentration

Concentrations vary lot to lot. See vial label for concentration. If unlisted please contact technical services.

Shipping

The product is shipped with polar packs. Upon receipt, store it immediately at the temperature recommended below.

Stability & Storage

Aliquot and store at -20C or -80C. Avoid freeze-thaw cycles.

Background: Lamin B2

An important part of the cell nucleus is formed by nuclear lamina. Nuclear lamins form a network of filaments at the nucleoplasmic site of the nuclear membrane. Two main subtypes of nuclear lamins can be distinguished, i.e. A-type lamins and B-type lamins. The A-type lamins comprise a set of three proteins arising from the same gene by alternative splicing, i.e. Lamin A, Lamin C and lamin Adel10, while the B-type lamins include two proteins arising from two distinct genes, i.e. Lamin B1 and Lamin B2. The nuclear lamins comprise a unique subclass of the intermediate filament protein family. They share a molecular domain organisation with the other intermediate filament proteins in that they are fibrous molecules that have an aminoterminal globular head, a central rod of a-helices and a carboxyterminal globular domain. Many biochemical and molecular features of lamins have been studied, but their functions remain still largely undetermined. One of the functions ascribed to the lamina is the maintenance of the structural integrity of the nucleus. Besides interactions with the nuclear membrane and other intermediate filaments, lamins interact with the nuclear chromatin. Eukaryotic chromatin is organized into loops, which are attached to the nuclear matrix. This organization is thought to contribute to compaction of the chromatin and regulation of gene expression. Lamins, as part of the nuclear matrix, may be involved in these processes since chromatin binding sites have been detected in both A- and B-type lamins.

Alternate Names

lamin B2, lamin-B2, LMN2LAMB2, MGC2721

Gene Symbol

LMNB2

Additional Lamin B2 Products

Product Documents for Lamin B2 Antibody (144) - Azide and BSA Free

Certificate of Analysis

To download a Certificate of Analysis, please enter a lot number in the search box below.

Product Specific Notices for Lamin B2 Antibody (144) - Azide and BSA Free

This product is for research use only and is not approved for use in humans or in clinical diagnosis. Primary Antibodies are guaranteed for 1 year from date of receipt.

Loading...
Loading...
Loading...
Loading...
Loading...