Skip to main content

Lamin B1 Antibody (SI17-07)

Novus Biologicals, part of Bio-Techne | Catalog # NBP2-67405

Recombinant Monoclonal Antibody.
Novus Biologicals, part of Bio-Techne
Catalog #
Availability
Size / Price
Qty
Loading...
NBP2-67405

Key Product Details

Validated by

Biological Validation

Species Reactivity

Validated:

Human, Mouse, Rat

Cited:

Rat

Applications

Validated:

Immunohistochemistry, Immunohistochemistry-Paraffin, Western Blot, Immunocytochemistry/ Immunofluorescence, Immunoprecipitation

Cited:

Western Blot

Label

Unconjugated

Antibody Source

Recombinant Monoclonal Rabbit IgG Clone # SI17-07 expressed in HEK293

Concentration

1 mg/ml

Product Specifications

Immunogen

Synthetic peptide within Human Lamin B1 aa 511-560 / 586. (SwissProt: P20700 Human; SwissProt: P14733 Mouse; SwissProt: P70615 Rat)

Localization

Nucleus inner membrane.

Clonality

Monoclonal

Host

Rabbit

Isotype

IgG

Description

Novus Biologicals Rabbit Lamin B1 Antibody (SI17-07) (NBP2-67405) is a recombinant monoclonal antibody validated for use in IHC, WB, ICC/IF and IP. Anti-Lamin B1 Antibody: Cited in 2 publications. All Novus Biologicals antibodies are covered by our 100% guarantee.

Scientific Data Images for Lamin B1 Antibody (SI17-07)

Western Blot: Lamin B1 Antibody (SI17-07) [NBP2-67405]

Western Blot: Lamin B1 Antibody (SI17-07) [NBP2-67405]

Western Blot: Lamin B1 Antibody (SI17-06) [NBP2-67405] - Analysis of Lamin B1 on different lysates with Rabbit anti-Lamin B1 antibody (10 ug/Lane Lane 2: PC-12 cell lysate, 10 ug/Lane Lane 3: Mouse liver tissue lysate, 20 ug/Lane Predicted band size: 66 kDa Observed band size: 66 kDa Exposure time: 2 minutes; 8% SDS-PAGE gel. Proteins were transferred to a PVDF membrane and blocked with 5% NFDM/TBST for 1 hour at room temperature. The primary antibody at 1/500 dilution was used in 5% NFDM/TBST at room temperature for 2 hours. Goat Anti-Rabbit IgG - HRP Secondary Antibody at 1:300,000 dilution was used for 1 hour at room temperature.
Immunocytochemistry/ Immunofluorescence: Lamin B1 Antibody (SI17-07) [NBP2-67405]

Immunocytochemistry/ Immunofluorescence: Lamin B1 Antibody (SI17-07) [NBP2-67405]

Immunocytochemistry/Immunofluorescence: Lamin B1 Antibody (SI17-06) [NBP2-67405] - Analysis of HepG2 cells labeling Lamin B1 with Rabbit anti-Lamin B1 antibody permeabilized with 0.05% Triton X-100 in PBS for 20 minutes, and then blocked with 2% negative goat serum for 30 minutes at room temperature. Cells were then incubated with Rabbit anti-Lamin B1 antibody was used as the secondary antibody at 1/1,000 dilution. PBS instead of the primary antibody was used as the secondary antibody only control. Nuclear DNA was labelled in blue with DAPI.
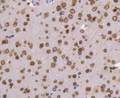
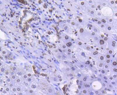
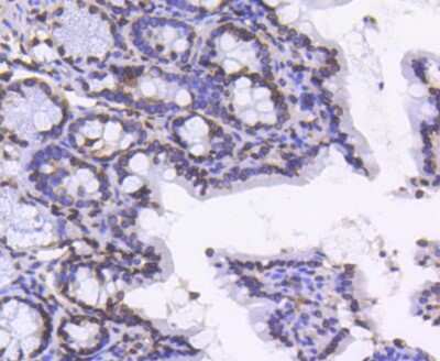
Immunohistochemistry-Paraffin: Lamin B1 Antibody (SI17-07) [NBP2-67405]

Immunohistochemistry-Paraffin: Lamin B1 Antibody (SI17-07) [NBP2-67405]

Immunohistochemistry-Paraffin: Lamin B1 Antibody (SI17-06) [NBP2-67405] - Analysis of paraffin-embedded mouse large intestine tissue with Rabbit anti-Lamin B1 antibody washed with ddH2O and PBS, and then probed with the primary antibody at 1/500 dilution for 1 hour at room temperature. The detection was performed using an HRP conjugated compact polymer system. DAB was used as the chromogen. Tissues were counterstained with hematoxylin and mounted with DPX.

Applications for Lamin B1 Antibody (SI17-07)

Application
Recommended Usage

Immunocytochemistry/ Immunofluorescence

1:50-1:200

Immunohistochemistry-Paraffin

1:100-1:500

Western Blot

1:500-1:1000

Formulation, Preparation, and Storage

Purification

Protein A purified

Formulation

TBS (pH7.4), 0.05% BSA, 40% Glycerol

Preservative

0.05% Sodium Azide

Concentration

1 mg/ml

Shipping

The product is shipped with polar packs. Upon receipt, store it immediately at the temperature recommended below.

Stability & Storage

Store at 4C short term. Aliquot and store at -20C long term. Avoid freeze-thaw cycles.

Background: Lamin B1

Nuclear lamins form a network of intermediate-type filaments at the nucleoplasmic site of the nuclear membrane.Two main subtypes of nuclear lamins can be distinguished, i.e. A-type lamins and B-type lamins. The A-type lamins comprise a set of three proteins arising from the same gene by alternative splicing, i.e. lamin A, lamin C and lamin Adel 10, while the B-type lamins include two proteins arising from two distinct genes, i.e. lamin B1 and lamin B2.

Alternate Names

ADLD, LMN2, LMNB1

Gene Symbol

LMNB1

Additional Lamin B1 Products

Product Documents for Lamin B1 Antibody (SI17-07)

Certificate of Analysis

To download a Certificate of Analysis, please enter a lot number in the search box below.

Product Specific Notices for Lamin B1 Antibody (SI17-07)

This product is for research use only and is not approved for use in humans or in clinical diagnosis. Primary Antibodies are guaranteed for 1 year from date of receipt.

Loading...
Loading...
Loading...
Loading...
Loading...