Skip to main content

Lambda5/IGLL1 Antibody - BSA Free

Novus Biologicals, part of Bio-Techne | Catalog # NBP2-56431

Novus Biologicals, part of Bio-Techne
Catalog #
Availability
Size / Price
Qty
Loading...
NBP2-56431
NBP2-56431-25ul

Key Product Details

Validated by

Orthogonal Validation

Species Reactivity

Human

Applications

Immunohistochemistry, Immunohistochemistry-Paraffin

Label

Unconjugated

Antibody Source

Polyclonal Rabbit IgG

Format

BSA Free

Concentration

Concentrations vary lot to lot. See vial label for concentration. If unlisted please contact technical services.

Product Specifications

Immunogen

This antibody was developed against a recombinant protein corresponding to the following amino acid sequence: GFQSKHNSVTHVFGSGTQLTVLSQPK

Clonality

Polyclonal

Host

Rabbit

Isotype

IgG

Description

Novus Biologicals Rabbit Lambda5/IGLL1 Antibody - BSA Free (NBP2-56431) is a polyclonal antibody validated for use in IHC. All Novus Biologicals antibodies are covered by our 100% guarantee.

Scientific Data Images for Lambda5/IGLL1 Antibody - BSA Free

Immunohistochemistry-Paraffin: Lambda5/IGLL1 Antibody [NBP2-56431]

Immunohistochemistry-Paraffin: Lambda5/IGLL1 Antibody [NBP2-56431]

Immunohistochemistry-Paraffin: Lambda5/IGLL1 Antibody [NBP2-56431] - Staining of human cerebral cortex shows low expression as expected.
Immunohistochemistry-Paraffin: Lambda5/IGLL1 Antibody [NBP2-56431]

Immunohistochemistry-Paraffin: Lambda5/IGLL1 Antibody [NBP2-56431]

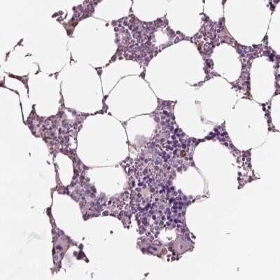
Immunohistochemistry-Paraffin: Lambda5/IGLL1 Antibody [NBP2-56431] - Staining of human bone marrow shows high expression.
Immunohistochemistry-Paraffin: Lambda5/IGLL1 Antibody [NBP2-56431]

Immunohistochemistry-Paraffin: Lambda5/IGLL1 Antibody [NBP2-56431]

Immunohistochemistry-Paraffin: Lambda5/IGLL1 Antibody [NBP2-56431] - Staining in human bone marrow and cerebral cortex tissues using anti-IGLL1 antibody. Corresponding IGLL1 RNA-seq data are presented for the same tissues.

Applications for Lambda5/IGLL1 Antibody - BSA Free

Application
Recommended Usage

Immunohistochemistry

1:200 - 1:500

Immunohistochemistry-Paraffin

1:200 - 1:500
Application Notes
For IHC-Paraffin, HIER pH 6 retrieval is recommended.

Formulation, Preparation, and Storage

Purification

Affinity purified

Formulation

PBS (pH 7.2) and 40% Glycerol

Format

BSA Free

Preservative

0.02% Sodium Azide

Concentration

Concentrations vary lot to lot. See vial label for concentration. If unlisted please contact technical services.

Shipping

The product is shipped with polar packs. Upon receipt, store it immediately at the temperature recommended below.

Stability & Storage

Store at 4C short term. Aliquot and store at -20C long term. Avoid freeze-thaw cycles.

Background: Lambda5/IGLL1

The preB cell receptor is found on the surface of proB and preB cells, where it is involved in transduction of signals for cellular proliferation, differentiation from the proB cell to the preB cell stage, allelic exclusion at the Ig heavy chain gene locus, and promotion of Ig light chain gene rearrangements. The preB cell receptor is composed of a membrane-bound Ig mu heavy chain in association with a heterodimeric surrogate light chain. This gene encodes one of the surrogate light chain subunits and is a member of the immunoglobulin gene superfamily. This gene does not undergo rearrangement. Mutations in this gene can result in B cell deficiency and agammaglobulinemia, an autosomal recessive disease in which few or no gamma globulins or antibodies are made. Two transcript variants encoding different isoforms have been found for this gene. [provided by RefSeq]

Long Name

Immunoglobulin Lambda-Like Polypeptide 1

Alternate Names

AGM2, CD179b, IGL5, IGLJ14.1, IGLL1, IGO, IGVPB, VPREB2

Gene Symbol

IGLL1

Additional Lambda5/IGLL1 Products

Product Documents for Lambda5/IGLL1 Antibody - BSA Free

Certificate of Analysis

To download a Certificate of Analysis, please enter a lot number in the search box below.

Product Specific Notices for Lambda5/IGLL1 Antibody - BSA Free

This product is for research use only and is not approved for use in humans or in clinical diagnosis. Primary Antibodies are guaranteed for 1 year from date of receipt.

Loading...
Loading...
Loading...
Loading...