Skip to main content

Lambda Light Chain Antibody (1R9H8)

Novus Biologicals, part of Bio-Techne | Catalog # NBP3-15947

Recombinant Monoclonal Antibody
Novus Biologicals, part of Bio-Techne
Catalog #
Availability
Size / Price
Qty
Loading...
NBP3-15947-100ul
NBP3-15947-20ul

Key Product Details

Species Reactivity

Human, Mouse, Rat

Applications

Immunohistochemistry, Immunohistochemistry-Paraffin, Western Blot

Label

Unconjugated

Antibody Source

Recombinant Monoclonal Rabbit IgG Clone # 1R9H8 expressed in HEK293

Concentration

Please see the vial label for concentration. If unlisted please contact technical services.

Product Specifications

Immunogen

Recombinant fusion protein containing a sequence corresponding to amino acids 1-117 of human Lambda Light chain (P01701). MTCSPLLLTLLIHCTGSWAQSVLTQPPSVSAAPGQKVTISCSGSSSNIGNNYVSWYQQLPGTAPKLLIYDNNKRPSGIPDRFSGSKSGTSATLGITGLQTGDEADYYCGTWDSSLSA

Clonality

Monoclonal

Host

Rabbit

Isotype

IgG

Description

Novus Biologicals Rabbit Lambda Light Chain Antibody (1R9H8) (NBP3-15947) is a recombinant monoclonal antibody validated for use in IHC and WB. All Novus Biologicals antibodies are covered by our 100% guarantee.

Scientific Data Images for Lambda Light Chain Antibody (1R9H8)

Western Blot: Lambda Light Chain Antibody (1R9H8) [NBP3-15947]

Western Blot: Lambda Light Chain Antibody (1R9H8) [NBP3-15947]

Western Blot: Lambda Light Chain Antibody (1R9H8) [NBP3-15947] - Western blot analysis of extracts of Mouse spleen, using Lambda Light Chain antibody (NBP3-15947) at 1:1000 dilution. Secondary antibody: HRP Goat Anti-Rabbit IgG (H+L) at 1:10000 dilution. Lysates/proteins: 25ug per lane. Blocking buffer: 3% nonfat dry milk in TBST. Detection: ECL Basic Kit. Exposure time: 1s.
Western Blot: Lambda Light Chain Antibody (1R9H8) [NBP3-15947]

Western Blot: Lambda Light Chain Antibody (1R9H8) [NBP3-15947]

Western Blot: Lambda Light Chain Antibody (1R9H8) [NBP3-15947] - Western blot analysis of extracts of Rat spleen, using Lambda Light Chain antibody (NBP3-15947) at 1:1000 dilution. Secondary antibody: HRP Goat Anti-Rabbit IgG (H+L) at 1:10000 dilution. Lysates/proteins: 25ug per lane. Blocking buffer: 3% nonfat dry milk in TBST. Detection: ECL Basic Kit. Exposure time: 10s.
Lambda Light Chain Antibody (1R9H8)

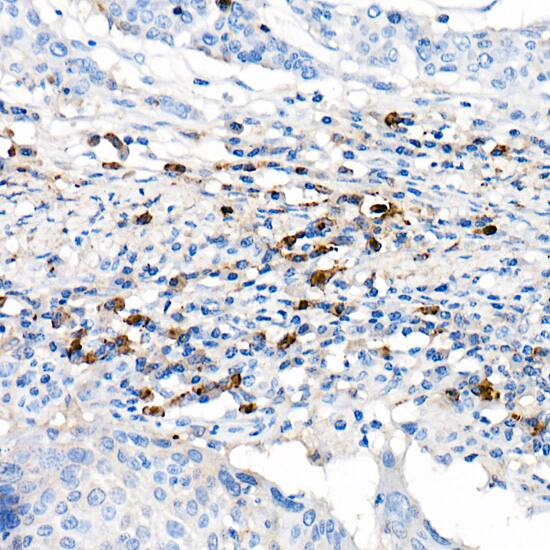
Immunohistochemistry: Lambda Light Chain Antibody (1R9H8) [Lambda Light Chain] -

Immunohistochemistry: Lambda Light Chain Antibody (1R9H8) [Lambda Light Chain] - Immunohistochemistry analysis of paraffin-embedded Human cervix cancer using Lambda Light Chain Rabbit mAb at dilution of 1:100 (40x lens). High pressure antigen retrieval performed with 0.01M Citrate Bufferr (pH 6.0) prior to IHC staining.

Applications for Lambda Light Chain Antibody (1R9H8)

Application
Recommended Usage

Immunohistochemistry

1:50 - 1:200

Immunohistochemistry-Paraffin

1:50 - 1:200

Western Blot

1:500 - 1:1000

Formulation, Preparation, and Storage

Purification

Affinity purified

Formulation

PBS (pH 7.3), 50% glycerol, 0.05% BSA

Preservative

0.02% Sodium Azide

Concentration

Please see the vial label for concentration. If unlisted please contact technical services.

Shipping

The product is shipped with polar packs. Upon receipt, store it immediately at the temperature recommended below.

Stability & Storage

Store at -20C. Avoid freeze-thaw cycles.

Background: Lambda Light Chain

All five immunoglobulin classes share the same basic four polypeptide chain structure of two heavy-chains and two light chains. There are five heavy chain types, and two light-chain types (Kappa and Lambda) both having a molecular weight of 22.5kDa. Any heavy-chain type can associate with either light-chain type, but on any immunoglobulin molecule both light-chains are of the same type. Kappa and Lambda consist of a variable region and a constant region and can easily be differentiated by the antigenic properties of the constant region. The ratio of Kappa to Lambda is 70:30 , the vast majority of which is bound to heavy-chain in immunoglobulin. In normal individuals low levels of free light-chain arepresent in serum (kappa, 1.6-15.2 mg/L; Lambda, 0.4-4.2mg/L), with the occurrence of multiple myeloma or other B-cell malignancies these levels can be greatly elevated and can be found at high levels in the urine (Bence-Jones proteins). This antibody stains only lambda light chain containing cells in human lymphoid tissues.

Alternate Names

IGLC, immunoglobulin lambda constant group

Gene Symbol

IGLC1

Additional Lambda Light Chain Products

Product Documents for Lambda Light Chain Antibody (1R9H8)

Certificate of Analysis

To download a Certificate of Analysis, please enter a lot number in the search box below.

Product Specific Notices for Lambda Light Chain Antibody (1R9H8)

This product is for research use only and is not approved for use in humans or in clinical diagnosis. Primary Antibodies are guaranteed for 1 year from date of receipt.

Loading...
Loading...
Loading...
Loading...