Skip to main content

LAMB4 Antibody - BSA Free

Novus Biologicals, part of Bio-Techne | Catalog # NBP3-41325

Novus Biologicals, part of Bio-Techne
Catalog #
Availability
Size / Price
Qty
Loading...
NBP3-41325

Key Product Details

Species Reactivity

Human

Applications

Immunohistochemistry, Western Blot

Label

Unconjugated

Antibody Source

Polyclonal Rabbit

Format

BSA Free

Concentration

1 mg/ml

Product Specifications

Immunogen

Immunized with recombinant Human LAMB4 (Uniprot#: A4D0S4; Asn1543-Cys1759 (Uniprot#: A4D0S4)

Clonality

Polyclonal

Host

Rabbit

Description

Novus Biologicals Rabbit LAMB4 Antibody - BSA Free (NBP3-41325) is a polyclonal antibody validated for use in IHC and WB. All Novus Biologicals antibodies are covered by our 100% guarantee.

Scientific Data Images for LAMB4 Antibody - BSA Free

LAMB4 Antibody

Western Blot: LAMB4 Antibody [NBP3-41325] -

Western Blot: LAMB4 Antibody [NBP3-41325] - Sample: Recombinant protein.
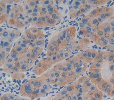
LAMB4 Antibody

Immunohistochemistry-Paraffin: LAMB4 Antibody [NBP3-41325] -

Immunohistochemistry-Paraffin: LAMB4 Antibody [NBP3-41325] - Used in DAB staining on fromalin fixed paraffin- embedded Kidney tissue

Applications for LAMB4 Antibody - BSA Free

Application
Recommended Usage

Immunohistochemistry

5-20ug/mL

Western Blot

0.5-2ug/mL

Formulation, Preparation, and Storage

Purification

Antigen and protein A Affinity-purified

Formulation

PBS, pH7.4, 50% glycerol

Format

BSA Free

Preservative

0.02% Sodium Azide

Concentration

1 mg/ml

Shipping

The product is shipped with polar packs. Upon receipt, store it immediately at the temperature recommended below.

Stability & Storage

Store at 4C short term. Aliquot and store at -20C long term. Avoid freeze-thaw cycles.

Background: LAMB4

Alternate Names

LAMB4 laminin, beta 4

Gene Symbol

LAMB4

Additional LAMB4 Products

Product Documents for LAMB4 Antibody - BSA Free

Certificate of Analysis

To download a Certificate of Analysis, please enter a lot number in the search box below.

Product Specific Notices for LAMB4 Antibody - BSA Free

This product is for research use only and is not approved for use in humans or in clinical diagnosis. Primary Antibodies are guaranteed for 1 year from date of receipt.

Loading...
Loading...
Loading...
Loading...