Skip to main content

Lactate Dehydrogenase C Antibody - BSA Free

Novus Biologicals, part of Bio-Techne | Catalog # NBP1-92065

Novus Biologicals, part of Bio-Techne
Catalog #
Availability
Size / Price
Qty
Loading...
NBP1-92065
NBP1-92065-25ul

Key Product Details

Validated by

Orthogonal Validation

Species Reactivity

Human

Applications

Immunohistochemistry, Immunohistochemistry-Paraffin

Label

Unconjugated

Antibody Source

Polyclonal Rabbit IgG

Format

BSA Free

Concentration

Concentrations vary lot to lot. See vial label for concentration. If unlisted please contact technical services.

Product Specifications

Immunogen

This antibody was developed against Recombinant Protein corresponding to amino acids: MSTVKEQLIEKLIEDDENSQCKITIVGTGAVG

Clonality

Polyclonal

Host

Rabbit

Isotype

IgG

Description

Novus Biologicals Rabbit Lactate Dehydrogenase C Antibody - BSA Free (NBP1-92065) is a polyclonal antibody validated for use in IHC. All Novus Biologicals antibodies are covered by our 100% guarantee.

Scientific Data Images for Lactate Dehydrogenase C Antibody - BSA Free

Immunohistochemistry-Paraffin: Lactate Dehydrogenase C Antibody [NBP1-92065]

Immunohistochemistry-Paraffin: Lactate Dehydrogenase C Antibody [NBP1-92065]

Immunohistochemistry-Paraffin: Lactate Dehydrogenase C Antibody [NBP1-92065] - Staining in human testis and prostate tissues using anti-LDHC antibody. Corresponding LDHC RNA-seq data are presented for the same tissues.
Immunohistochemistry-Paraffin: Lactate Dehydrogenase C Antibody [NBP1-92065]

Immunohistochemistry-Paraffin: Lactate Dehydrogenase C Antibody [NBP1-92065]

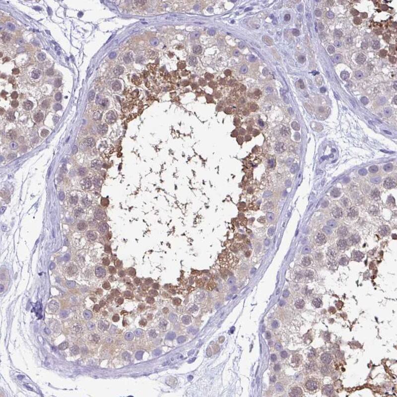
Immunohistochemistry-Paraffin: Lactate Dehydrogenase C Antibody [NBP1-92065] - Staining of human testis shows strong cytoplasmic and nuclear positivity in cells in seminiferus ducts.
Immunohistochemistry-Paraffin: Lactate Dehydrogenase C Antibody [NBP1-92065]

Immunohistochemistry-Paraffin: Lactate Dehydrogenase C Antibody [NBP1-92065]

Immunohistochemistry-Paraffin: Lactate Dehydrogenase C Antibody [NBP1-92065] - Staining of human prostate shows low expression as expected.

Applications for Lactate Dehydrogenase C Antibody - BSA Free

Application
Recommended Usage

Immunohistochemistry

1:2500 - 1:5000

Immunohistochemistry-Paraffin

1:2500 - 1:5000
Application Notes
For IHC-Paraffin, HIER pH 6 retrieval is recommended. Immunocytochemistry/Immunofluorescence Fixation Permeabilization: Use PFA/Triton X-100.

Reviewed Applications

Read 1 review rated 3 using NBP1-92065 in the following applications:

Formulation, Preparation, and Storage

Purification

Immunogen affinity purified

Formulation

PBS (pH 7.2) and 40% Glycerol

Format

BSA Free

Preservative

0.02% Sodium Azide

Concentration

Concentrations vary lot to lot. See vial label for concentration. If unlisted please contact technical services.

Shipping

The product is shipped with polar packs. Upon receipt, store it immediately at the temperature recommended below.

Stability & Storage

Store at 4C short term. Aliquot and store at -20C long term. Avoid freeze-thaw cycles.

Background: Lactate Dehydrogenase C

Lactate dehydrogenase (LDH) is an ubiquitous enzyme commonly found in wide variety of organisms, including plants and microbes. LDH is involved in the interconversion of the pyruvate and NADH to lactate and NAD+. It is also called Hydroxybutyrate Dehydrogenase (HBD), because it can catalyze the oxidation of hydroxybutyrate (1). In mammals, three types of LDH subunits (35 kDa) are encoded by the genes Ldh-A, Ldh-B, and Ldh-C. All LDH subunits can combine to form various terameric isoenzymes (140 kDa) (2). LDHA and LDHB are expressed in most somatic tissues, while expression of LDHC is confined to the germinal epithelium of the testes (3)

Alternate Names

Cancer/testis antigen 32, CT32EC 1.1.1.27, EC 1.1.1, lactate dehydrogenase C, lactate dehydrogenase C4, LDH testis subunit, LDH3MGC111073, LDH-C, LDHX, LDH-X, L-lactate dehydrogenase C chain

Gene Symbol

LDHC

Additional Lactate Dehydrogenase C Products

Product Documents for Lactate Dehydrogenase C Antibody - BSA Free

Certificate of Analysis

To download a Certificate of Analysis, please enter a lot number in the search box below.

Product Specific Notices for Lactate Dehydrogenase C Antibody - BSA Free

This product is for research use only and is not approved for use in humans or in clinical diagnosis. Primary Antibodies are guaranteed for 1 year from date of receipt.

Loading...
Loading...
Loading...
Loading...
Loading...